Experimental study on stromal vascular fraction mediated inhibition of skin pigmentation in guinea pigs
Highlight box
Key findings
• SVFs have a reliable treatment effect on ultraviolet B (UVB)-induced pigmentation in guinea pig skin.
What is known and what is new?
• SVFs can be used to treat aging, refractory wounds, and deep burns.
• SVFs can significantly inhibit pigmentation, effectively shorten the fading time of pigmentation, and play a role in skin whitening.
What is the implication, and what should change now?
• It provides a new breakthrough for the treatment of pigmentation disease. Next, the relationship between SVF dose and efficacy should be further investigated. Further experimental studies are needed to clarify the specific mechanism of action.
Introduction
The regenerative cell cocktail obtained from adipose tissue by the enzymatic method, including stem cells, is called a stromal vascular fraction (SVF) (1). In freshly isolated SVFs, the percentage of adipose-derived stem cells (ADSCs) is approximately 70% to 90%, and the rest of the cells are endothelial cells and peridermal cells (2). SVFs can be used to treat aging, refractory wounds, and deep burns (3-6). Other researchers showed that SVFs and ADSCs also play important roles in promoting wound healing (7,8). Our preliminary experiment shows that SVFs have a significant inhibitory effect on melanogenesis in B16 cells induced by external factors (9). Narrow-band ultraviolet B (NB-UVB) irradiation is widely used worldwide to induce pigmentation in guinea pigs (10). In this study, a 308 nm excimer laser was used to irradiate the skin on the backs of brown-yellow guinea pigs to induce a pigmentation animal model. Melanogenesis is depended on keratinocyte-generated nitric oxide (NO), while the synthesis of NO is regulated by NOS activation [endothelial nitric oxide synthase (eNOS) and neuronal nitric oxide synthase (nNOS)] or synthesis [inducible nitric oxide synthase (iNOS)]. Therefore, the expression of iNOS is used as one of the indicators to evaluate the skin pigmentation in this experiment. After preparing and extracting SVFs, a local injection was performed in the pigmentation area to analyze and evaluate the therapeutic effect of SVFs on the pigmentation of guinea pigs. We present the following article in accordance with the ARRIVE reporting checklist (available at https://atm.amegroups.com/article/view/10.21037/atm-22-5433/rc).
Methods
The experimental animals were provided by the Experimental Animal Center of Southern Medical University, and they were normal healthy male guinea pigs. Collagenase I was purchased from Shanghai Qiaoyuan Biological Pharmaceutical Co., Ltd. iNOS antibodies were purchased from Santa Cruz, and a streptavidin peroxidase (SP) immunohistochemistry kit was purchased from Fuzhou Maixin Biotechnology Co., Ltd. A 308 nm ultraviolet radiation (UV) therapeutic instrument was purchased from Chongqing Dema Photoelectric Technology Co., Ltd. Animal experiments were performed under a project license (No. SUMC2017-177) granted by the Animal Research Committee of Shantou University Medical College, in compliance with Chinese national guidelines for the care and use of animals. A protocol was prepared before the study without registration.
Experimental design
Ten guinea pigs with large back areas, aged 2–3 months, and weighing 329–410 g, were selected. Two areas were selected on the back of each animal, one of which was depilated and irradiated with ultraviolet light. Hair was retained in the other area as a normal control. After the pigmentation model was completed, the pigmented area of the back was divided into 2 parts that were, on average, the same size. One part was injected with normal saline for the control group, and the other part was injected with SVFs for the experimental group. The normal control group, saline injection group, and SVFs group were evaluated using the naked eye and histopathological staining. Melanin synthesis was evaluated using the Fontana-Masson (F-M) method. Immunohistochemical analysis was performed to measure the content of iNOS (Figure 1). The content of iNOS and melanin synthesis were the main indexes of this study, and the secondary indexes were naked-eye observation and hematoxylin-eosin (HE) staining results.
Inclusion and exclusion criteria
Ten healthy adult guinea pigs were randomly selected. The guinea pigs that completed the model of skin pigmentation entered the next experiment. If the model failed, such as if the guinea pig developed severe burns, an infection, or unstable pigmentation on the skin, or the animals died, those animals were withdrawn from the experiment.
Study methods
A guinea pig pigmentation model was established by irradiating the backs of guinea pigs with a 308 nm ultraviolet therapy apparatus
The treatment head of the ultraviolet instrument with a wavelength of 308 nm was placed in direct contact with the exposed skin on the backs of the guinea pigs. The irradiation energy was 600 mJ/cm2 each time, the stimulation was performed once a week for a total of 3 times, and the total irradiation energy was 1,800 mJ/cm2. Skin redness was observed on the day of irradiation, obvious erythema was observed the next day, skin desquamation was observed 3–5 days later, pigmentation was observed 5–7 days later, and pigmentation reached its peak 3 weeks later, with uniform and stable pigmentation. The research team monitored the animals twice a day. Health was monitored through overall assessments of body weight (twice a week), food and water intake, animal activity, and wheezing and fur status. The score criteria of skin pigmentation are as follows: normal skin color is 0, light brown is 1, medium brown is 2, dark brown is 3.
SVF isolation
The guinea pigs were anesthetized using an intraperitoneal injection of 3% pentobarbital sodium with a dose of 40 mg/kg. The inguinal fat of the guinea pigs was removed with a routine aseptic operation. We washed the subcutaneous fat of the guinea pigs with green streptomycin in phosphate-buffered saline (PBS) 3 times and trimmed the tissue with sterilized scissors. We then added PBS to remove the upper oil fraction at 37 ℃ and added 0.25% type I collagen enzyme on a 250 rpm thermostatic table for 20–30 min to digest the tissue. The SVF of the hybrid cell group was observed by microscope and counted by counter. After SVF extraction, a cell suspension was made with 1 mL of normal saline, which was injected into the pigmentation area. One milliliter of normal saline was injected into the skin in the saline group.
Evaluating melanin synthesis using the F-M method
Guinea pig skin tissue was fixed with a 10% neutral formaldehyde solution and then paraffin-embedded and sectioned. Paraffin sections were dewaxed with water, cleaned with distilled water, treated with a silver ammonia solution in the dark, and incubated in the light at room temperature for 12–18 h. The excess silver particles were washed away. The slices were fixed in a 5% sodium thiosulfate solution for 5 min, washed with water for 5 min, re-dyed with hematoxylin solution for 1 min, differentiated with 1% hydrochloric acid ethanol for 10–15 s, and returned to blue with ammonia for 10 s. Eosin solution was added and incubated for 30–60 s, conventional dehydration was performed, xylene was used to induce transparency, neutral gum sealing was performed, and inverted microscopy was used for observation. The evaluation criteria were divided into 5 grades: grade 1 was melanin particles occasionally seen in basal cells and spinous layer, grade 2 was discontinuous distribution of melanin, mainly concentrated in basal layer, and grade 3 was continuous banded melanin granules, mainly concentrated in basal cells and spinous layer. Grade 4 is a continuous banded distribution of melanin particles concentrated in the basal cells and spinous layer, and more melanin caps can be seen in keratinocytes; grade 5 melanin particles are densely distributed in the epidermis and more melanin caps.
iNOS levels in the guinea pig skin were detected using immunohistochemistry
The procedure was carried out in strict accordance with the kit instructions, and diaminobenzidine (DAB) was used for color rendering. Immunohistochemical staining was performed on all samples using the SP method, and antigen repair was performed in a microwave oven before staining. PBS was used as a negative control. The scoring criteria of iNOS staining were as follows: no staining of cells was 0, dark yellow was 1, light brown was 2, dark brown was 3.
Statistical analysis
SPSS 22.0 (IBM Corp, Armonk, NY, USA) was used for statistical analysis. The data are expressed as the mean ± standard deviation (). A t test was used for pairwise comparisons, and the rank-sum test was used for comparisons of grade data between 2 groups. A value of P<0.05 was considered statistically significant.
Results
After NB-UVB irradiation 3 times, stable and homogeneous pigmentation formed in the skin of the guinea pigs (Figure 2). After 4 weeks of treatment, SVFs obviously improved pigmentation in the inflamed skin of guinea pigs. The control group did not exhibit significant changes (Figure 3).
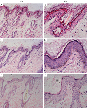
HE staining showed that epidermal melanocytes and melanin granules increased, and the cuticle, granular layer, and spinous layer were thicker compared with those in the control group. Inflammatory cells infiltrated occasionally into the dermis. After treatment, the number of pigment granules was significantly reduced, and a small number of melanin granules were observed in the basal layer and the spine layer (Figure 4). The pigment granules in the blank control group did not change significantly.
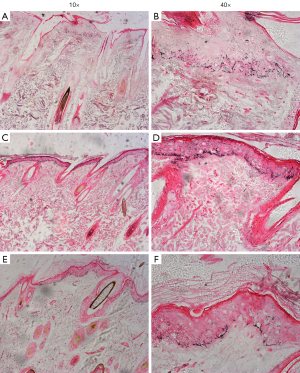
Melanin synthesis was evaluated. F-M staining showed that there were occasional melanin granules in basal cells and the spinous layers of the normal brown skin of the guinea pigs. After ultraviolet irradiation, the number of melanin granules increased significantly, and a large number of melanin granules was continuously distributed in basal cells and the spinous layers. Melanin granules were densely distributed in the entire epidermis. After treatment, melanin was significantly reduced. After 4 weeks of follow-up, there was no significant recurrence of melanin (Figure 5).
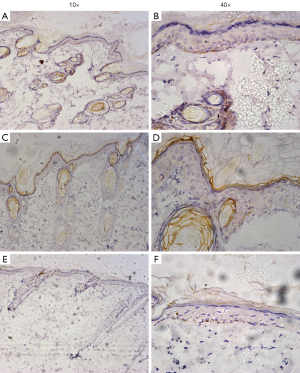
Immunohistochemical staining showed that iNOS was mainly located in the cytoplasm and membrane of epidermal cells. Positive cells were found in all epidermal layers and hair follicles except the stratum corneum. The expression of iNOS in the epidermis in the irradiated group was significantly higher than that in the control group, and the expression of iNOS decreased in the experimental group after treatment (Figure 6).
Uniform and stable pigmentation were found on the back skin of guinea pigs after UVB irradiation (n=10). Photographs taken 4 weeks after treatment showed that SVFs significantly improved the pigmentation of guinea pigs (n=10), while there was no obvious change in the control group (n=10). The pigmentation scores of the 2 groups were statistically significant (P<0.05; Table 1).
Table 1
| Group number | Pigmentation score | Melanin granule content | iNOS content |
|---|---|---|---|
| SVFs group (n=10) | 1.5 | 2.5 | 1.50 |
| Saline group (n=10) | 2.5 | 3.5 | 2.25 |
iNOS, inducible nitric oxide synthase; SVF, stromal vascular fraction.
F-M staining showed a significant increase in the number of melanin particles in the model group after UV irradiation (n=10) and a significant decrease in the number of melanin particles after treatment (n=10). The rank-sum test of melanin particle levels compared with those of the control group showed a significant difference (P<0.05; Table 1).
Immunohistochemical staining showed that the expression of iNOS in the epidermis increased in the UV irradiation group (n=10), and the expression of iNOS decreased in the experimental group after treatment (n=10). The levels of iNOS in the experimental group and the control group were significantly different (P<0.05; Table 1).
Discussion
Tyrosinase is a rate-limiting enzyme that determines the rate of melanin synthesis. This enzyme exists widely in animals and plants. The activity of tyrosinase is proportional to the amount of melanin. Studies on the function of tyrosinase have been carried out in many fields, such as medicine, cosmetics, chemistry, pharmacy, and agriculture (11,12). SVFs have a significant inhibitory effect on melanogenesis in B16 cells induced by external factors, and the effect becomes more obvious with increasing doses (9).
After UVB irradiation, melanocytes and keratinocytes activate tyrosinase by releasing oxidative stress products or expressing various ligands, promoting melanin synthesis and melanosome transport and affecting pigment synthesis (13,14). UVB irradiation is the main stimulus leading to skin pigmentation. SVFs can achieve skin whitening by inhibiting pigmentation.
The reserves of SVFs in human adipose tissue are very large and easy to obtain, and there is no immune rejection of autologous applications. Moreover, freshly isolated SVFs from adipose tissue contain a sufficient amount of autologous ADSCs with biological activity (15). More importantly, the procedure can be completed in one session without an in vitro culture, is highly safe, and is easy to perform in clinical practice.
Melanin synthesis is not only influenced by tyrosinase but is also finely regulated by various other cytokines, including nitric oxide. Roméro-Graillet et al. (16) found that UVB could promote keratinocyte production of NO, thus regulating melanocytes. Nitric oxide exists for a very short time and is not easy to measure. Nitric oxide synthase is a key enzyme in the synthesis of nitric oxide. Many studies suggest that (17-19). UVB irradiation can incrementally regulate the expression of iNOS, and the increased expression of iNOS can result in the generation of a large amount of nitric oxide. The expression of iNOS decreased after the injection of SVF.
Conclusions
Currently, tyrosinase inhibitors are the main effective ingredients in most cosmetics or whitening agents. Searching for tyrosinase inhibitors with lower toxicity and better whitening effects than that of current treatments is a developing trend in the treatment of pigmentation. By inhibiting tyrosinase activity, SVFs had a good effect on UV-induced pigmentation in guinea pig skin, and the therapeutic effect was reliable. This study may provide a breakthrough for the clinical treatment of pigmentation disorders. Further experimental studies are needed to clarify the specific mechanism of action.
Acknowledgments
Funding: None.
Footnote
Reporting Checklist: The authors have completed the ARRIVE reporting checklist. Available at https://atm.amegroups.com/article/view/10.21037/atm-22-5433/rc
Data Sharing Statement: Available at https://atm.amegroups.com/article/view/10.21037/atm-22-5433/dss
Conflicts of Interest: All authors have completed the ICMJE uniform disclosure form (available at https://atm.amegroups.com/article/view/10.21037/atm-22-5433/coif). The authors have no conflicts of interest to declare.
Ethical Statement: The authors are accountable for all aspects of the work in ensuring that questions related to the accuracy or integrity of any part of the work are appropriately investigated and resolved. Animal experiments were performed under a project license (No. SUMC2017-177) granted by the Animal Research Committee of Shantou University Medical College, in compliance with Chinese national guidelines for the care and use of animals.
Open Access Statement: This is an Open Access article distributed in accordance with the Creative Commons Attribution-NonCommercial-NoDerivs 4.0 International License (CC BY-NC-ND 4.0), which permits the non-commercial replication and distribution of the article with the strict proviso that no changes or edits are made and the original work is properly cited (including links to both the formal publication through the relevant DOI and the license). See: https://creativecommons.org/licenses/by-nc-nd/4.0/.
References
- Copcu HE, Oztan S. Not Stromal Vascular Fraction (SVF) or Nanofat, but Total Stromal-Cells (TOST): A New Definition. Systemic Review of Mechanical Stromal-Cell Extraction Techniques. Tissue Eng Regen Med 2021;18:25-36. [Crossref] [PubMed]
- Chang Q, Li J, Dong Z, et al. Quantitative volumetric analysis of progressive hemifacial atrophy corrected using stromal vascular fraction-supplemented autologous fat grafts. Dermatol Surg 2013;39:1465-73. [PubMed]
- Atiyeh B, Ghieh F, Oneisi A. Nanofat Cell-Mediated Anti-Aging Therapy: Evidence-Based Analysis of Efficacy and an Update of Stem Cell Facelift. Aesthetic Plast Surg 2021;45:2939-47. [Crossref] [PubMed]
- Laidding SR, Josh F, Battung S, et al. Combination of platelet rich plasma and stromal vascular fraction on the level of vascular endothelial growth factor in rat subjects experiencing deep dermal burn injury. Ann Med Surg (Lond) 2021;64:102254. [Crossref] [PubMed]
- Tanios E, Ahmed TM, Shafik EA, et al. Efficacy of adipose-derived stromal vascular fraction cells in the management of chronic ulcers: a randomized clinical trial. Regen Med 2021;16:975-88. [Crossref] [PubMed]
- Cervelli V, Gentile P, De Angelis B, et al. Application of enhanced stromal vascular fraction and fat grafting mixed with PRP in post-traumatic lower extremity ulcers. Stem Cell Res 2011;6:103-11. [Crossref] [PubMed]
- Ebrahimian TG, Pouzoulet F, Squiban C, et al. Cell therapy based on adipose tissue-derived stromal cells promotes physiological and pathological wound healing. Arterioscler Thromb Vasc Biol 2009;29:503-10. [Crossref] [PubMed]
- Blanton MW, Hadad I, Johnstone BH, et al. Adipose stromal cells and platelet-rich plasma therapies synergistically increase revascularization during wound healing. Plast Reconstr Surg 2009;123:56S-64S. [Crossref] [PubMed]
- Peng LH, Li Q. Effect of the Stromal Vascular Fraction on Changes in Melanin Formation in B16 Cells Treated by IBMX. Aesthetic Plast Surg 2019;43:1381-6. [Crossref] [PubMed]
- Li D, Shi Y, Li M, et al. Tranexamic acid can treat ultraviolet radiation-induced pigmentation in guinea pigs. Eur J Dermatol 2010;20:289-92. [Crossref] [PubMed]
- Denning MF. Specifying protein kinase C functions in melanoma. Pigment Cell Melanoma Res 2012;25:466-76. [Crossref] [PubMed]
- Bae-Harboe YS, Park HY. Tyrosinase: a central regulatory protein for cutaneous pigmentation. J Invest Dermatol 2012;132:2678-80. [Crossref] [PubMed]
- Cui R, Widlund HR, Feige E, et al. Central role of p53 in the suntan response and pathologic hyperpigmentation. Cell 2007;128:853-64. [Crossref] [PubMed]
- Gordon PR, Mansur CP, Gilchrest BA. Regulation of human melanocyte growth, dendricity, and melanization by keratinocyte derived factors. J Invest Dermatol 1989;92:565-72. [Crossref] [PubMed]
- Guo J, Nguyen A, Banyard DA, et al. Stromal vascular fraction: A regenerative reality? Part 2: Mechanisms of regenerative action. J Plast Reconstr Aesthet Surg 2016;69:180-8. [Crossref] [PubMed]
- Roméro-Graillet C, Aberdam E, Biagoli N, et al. Ultraviolet B radiation acts through the nitric oxide and cGMP signal transduction pathway to stimulate melanogenesis in human melanocytes. J Biol Chem 1996;271:28052-6. [Crossref] [PubMed]
- Chang HR, Tsao DA, Wang SR, et al. Expression of nitric oxide synthases in keratinocytes after UVB irradiation. Arch Dermatol Res 2003;295:293-6. [Crossref] [PubMed]
- Weller R, Schwentker A, Billiar TR, et al. Autologous nitric oxide protects mouse and human keratinocytes from ultraviolet B radiation-induced apoptosis. Am J Physiol Cell Physiol 2003;284:C1140-8. [Crossref] [PubMed]
- Seo SJ, Choi HG, Chung HJ, et al. Time course of expression of mRNA of inducible nitric oxide synthase and generation of nitric oxide by ultraviolet B in keratinocyte cell lines. Br J Dermatol 2002;147:655-62. [Crossref] [PubMed]
(English Language Editor: C. Mullens)


