Surgical management of acute combined injuries of the ipsilateral wrist and elbow joints
Highlight box
Key findings
• Individualized surgical options and early safe limb mobility can improve the clinical outcome of acute combined injuries of the ipsilateral wrist and elbow joints.
What is known and what is new?
• There are no clinical guidelines and no consensus on the standard treatment of combined injuries of the ipsilateral wrist.
• Early surgical intervention and rehabilitation exercise are the main principles for the treatment of the combined injuries of ipsilateral wrist.
What is the implication, and what should change now?
• The secondary complications of soft tissue injury are important factors affecting the recovery of joint function and should be treated in time.
Introduction
The acute combined injuries of ipsilateral wrist and elbow joints mainly caused by high-energy external force are rare in clinical practice, often causing damages to bones, joints, and surrounding supporting tissues. In this process, axial loads, joint rotation, and inversion/eversion force can be important injury factors (1-4), each causing different degrees and types of injuries to the related bones, joint capsules, and ligaments, thus increasing the complexity of diagnosis and treatment (5). The severity of the injury is related to the strength and distribution of the external force as well as the position of the upper limb during the injury (6).
For combined injuries of ipsilateral wrist and elbow joints, there are still no clinical guidelines for the standard treatment options. The conservative treatment, such as external fixation, poses the potential risk of affecting wrist, elbow, and forearm function due to long-term fixation, affecting the ultimate functional recovery (7,8). The key to surgical intervention is to identify the types of injuries and conduct an overall assessment to determine the appropriate surgical methods at the early stage. Early surgical intervention and rehabilitation exercise are the main principles for the treatment of the combined injuries of the wrist and elbow (9,10).
From August 2013 to May 2016, 13 patients with acute combined injuries of the ipsilateral wrist and elbow joints underwent surgical treatment at our hospital. The purpose of this study was to report our treatment experiences and therapeutic outcomes of these cases to improve the understanding of the kind of injuries. We present the following article in accordance with the STROBE reporting checklist (available at https://atm.amegroups.com/article/view/10.21037/atm-22-6598/rc).
Methods
Patients
A total of 13 patients with acute combined injuries of the ipsilateral wrist and elbow joints receiving surgical treatment at our hospital from August 2013 to May 2016 were retrospectively included for analysis. The study was conducted in accordance with the Declaration of Helsinki (as revised in 2013). This study was approved by Institutional Review Board (IRB) of the First Affiliated Hospital of Sun Yat-sen University (No. [2020]490), and written informed consent was waived by the IRB due to the retrospective nature of this study.
Fractures classification
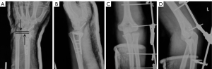
All cases were evaluated by X-ray and computed tomography (CT) examinations on the wrist and elbow joints before operation (Figures 1,2). Fractures classifications of the 13 patients are shown in Table 1. The radial head fractures were categorized based on the Mason classification, including 1 case of type I, 7 cases of type II, and 2 cases of type III. There were 2 cases that were combined with radial neck fractures.
Table 1
| Case No. | Age (sex) | Injured side | Mechanism of trauma | Close or open | Nerve injury | Wrist fractures (type) | Elbow fractures (type) | Ligament lesions | Dislocation or instability |
|---|---|---|---|---|---|---|---|---|---|
| 1 | 32 (M) | R/+ | Fall from height | C | DR (A3.1) | CP (I) | LCL | Elbow dislocation | |
| DU | |||||||||
| 2 | 26 (M) | R/+ | Fall from height | C | DR (B2.2) | RH (II) | LCL | Elbow dislocation | |
| SCA (A1) | MCL | ||||||||
| 3 | 33 (M) | R/+ | MVA | O | Median n. | DR (C2.1) | RH (III) | LCL | Elbow dislocation# |
| SU | CP (I) | MCL | DRUJ instability | ||||||
| 4 | 37 (M) | L | Fall from height | C | SCA (B4) | RH (II) | TSPD | ||
| 5 | 45 (M) | L/+ | Fall from height | O | Radial n. | DR (C3.2) | RH (I) | LCL | Elbow dislocation |
| SU | MCL | DRUJ instability | |||||||
| SCA (B2) | |||||||||
| 6 | 27 (F) | R/+ | Fall from height | C | DR (A3.1) | RH (II) | MCL | ||
| 7 | 38 (M) | L | Sports | C | DR (B3.3) | RH (III) | LCL | Elbow dislocation | |
| DU | MCL | ||||||||
| 8 | 42 (M) | R/+ | Fall from height | C | SCA (B2) | RH (II) | |||
| 9 | 35 (M) | R/+ | MVA | C | DR (C2.2) | RH (II) | MCL | Elbow dislocation | |
| DU | |||||||||
| 10 | 48 (F) | L | Cycling | C | DR (C3.1) | RH (II) | LCL | Elbow dislocation DRUJ subluxation |
|
| SU | |||||||||
| 11 | 29 (M) | R/+ | Fall from height | C | Median n. | DR (B3.3) | RH (II) | MCL | DRUJ instability |
| SU | |||||||||
| 12 | 43 (M) | L | Sports | C | DR (A3.1) | CP (I) | LCL | Elbow dislocation | |
| DU | MCL | ||||||||
| 13 | 38 (F) | R/+ | MVA | O | DR (C2.2) | RH (II) | MCL | DRUJ instability |
#, TTIE, terrible triad injury of the elbow. M, male; F, female; R, right; L, left; +, dominant side; MVA, motor vehicle accident; DR, distal radial fracture; DU, ulnar head or distal shaft fracture; SU, ulnar styloid fracture; SCA, scaphoid fracture; TSPD, trans-scaphoid perilunate dislocation; RH, radial head fracture; CP, coronoid process fracture; LCL, lateral collateral ligament; MCL, medial collateral ligament; DRUJ, distal radioulnar joint.
The ulnar coronoid process fractures were classified based on the Regan-Morrey classification. All the 3 cases were type I fractures. Distal radial fractures were categorized according to the Association for Osteosynthesis/Association for the Study of Internal Fixation (AO-ASIF) classification, including 3 cases of A3 type, 1 case of B2 type, 2 cases of B3 type, 3 cases of C2 type, and 2 cases of C3 type fracture. Scaphoid fractures were classified according to the modified Herbert classification, including 1 case of type A1, 2 cases of type B2, and 1 case of type B4. There were 4 cases of ulnar head or distal shaft of ulnar fractures, 2 cases of ulnar styloid fractures, and 1 case of ulnar styloid process fracture.
Surgical methods
Patients underwent emergency surgery after admission. Patients with surgical contraindications were excluded. The patient was placed in a supine position. The elbow injury was treated first, followed by the wrist injury. The fixation and repair sequence of the damaged elbow was the ulnar coronoid process, the radial head, the lateral collateral ligament, and the medial collateral ligament. The fixation and reconstruction sequence of the damaged structure of the wrist is the radius, ulna, scaphoid, and distal radioulnar joint.
According to the preoperative evaluation, the degree of intraoperative fracture and joint ligament injury, the appropriate fixation, and repair reconstruction methods were selected. The ulnar coronoid process fractures were fixed with bone anchors and the anterior joint capsule of the anterior elbow was repaired. The radial head fracture or distal ulnar shaft fracture was fixed with a pure poly-L-lactic acid (PLLA) bioabsorbable screw or a 2.0-mm T-shaped plate. Lateral collateral ligament injury was reconstructed by bone anchor; medial collateral ligament injury was sutured directly or by humeral drilling, or repaired by the bone anchor fixation. Distal radial fractures were treated with closed reduction-percutaneous Kirschner wire fixation and external fixation, or open reduction and fixed by a 3.5-mm volar locking T-shaped plate or fixed by a bone plate and external fixation.
There were 3 patients with bone defects at the radius metaphysis after fracture reduction. The allogeneic bone filling was performed to correct the shortening deformity and restore the position of distal radius bone. Scaphoid fractures were treated with closed percutaneous Herbert screws.
Patients were given postoperative protective braces for no more than 1 week. The elbow extension was limited not exceed 30° within 1 month (Figure 3). If the gravity stability test showed that the joint was still unstable after confirming the reduction of the elbow joint, fracture fixation, and ligament repair, the joint could be fixed with the elbow hinge fixator for no more than 1 week.
Postoperative treatment
The patients were given postoperative detumescence treatment and the peripheral circumflex of the affected limb was observed to prevent the occurrence of compartment syndrome. Antibacterial drugs are routinely applied for 1–3 days and could be extended to 4–7 days in open fractures.
All patients took indomethacin (25 mg 3 times a day) at postoperative day (POD) 1 for 3 weeks to relieve pain and prevent heterotopic ossification (11). Patients with intraoperatively-confirmed neurological damage were given neurotrophic drugs.
All patients took indomethacin (25 mg 3 times a day) 1 day after surgery for 3 weeks to relieve pain and prevent heterotopic ossification (11). Patients with neurological damage confirmed during surgery were given neurotrophic drugs.
According to the general situation, the patient began the rehabilitation exercise of the injured limb as early as possible to avoid the occurrence of elbow stiffness. The brace fixed the elbow joint in the flexion position and the wrist joint in the neutral position. For patients with combined scaphoid fractures, the thumb needed to be fixed in the outreach position. The elbow and wrist external fixation bracket were removed at 6 weeks postoperation. After removal of the brace, the patient began the active and passive active exercises of joint flexion and forearm rotation.
Functional assessment
Joint function evaluation during follow-up was based on objective and subjective clinical outcomes and was determined according to the Mayo Modified Wrist Score (MMWS) (12) and Mayo Elbow Performance Score (MEPS) (13). The wrist function scores included pain, mobility, functional status, and grip strength. The scores for elbow function included pain, mobility, stability, and daily living function. The range of motion (ROM) of the affected joints and forearms and the grip strength were compared with the contralateral upper limbs. The subjective functional evaluation of the injured limb was recorded by the disabilities of the arm, shoulder, and hand (DASH) questionnaire.
Fracture position, bone healing, heterotopic ossification, and joint alignment were observed by standard posterior-anterior and lateral radiographs of the wrist and elbow joints. Heterotopic ossification around the joint was assessed and graded according to the criteria by Brooker et al. (14). The severity of post-traumatic arthritis was assessed according to the Knirk-Jupiter (wrist joint) (15) and the Broberg-Morrey (elbow joint) (16) grading criteria.
Statistical analysis
Data were analysed using SPSS version 19.0. Descriptive analysis was performed to compare baseline characteristics. For continuous data, medians and interquartile ranges were calculated. Statistical tests were selected based on the distribution and type of data. A P<0.05 was considered statistically significant.
Results
Patients
There were 10 males and 3 females, and the mean age was 34 years (range: 26–48 years). The demographic and clinical characteristics of the patients are summarized in Table 1. All patients had unilateral upper limb injuries, including 5 cases on the left side, 8 cases on the right side, and 9 cases on the dominant side.
A total of 8 patients had dislocation of the elbow joint at admission, and all were posterior dislocation confirmed by X-ray plain film. The causes of injury were external forces, 7 cases of falling from a height, 4 cases of traffic injuries, and 2 cases of sports injuries. There were 10 cases of closed fracture and 3 cases of open fracture, including 2 cases of Gustilo type 1 fractures (wrist), and 1 case of Gustilo type 2 fracture (elbow). A total of 11 cases were admitted within 24 hours after the injury, and 2 cases were within 72 hours. The mean time from injury to surgery was 3.5 days (range: 6 hours to 5 days).
Follow-up outcome
All 13 patients were followed up for a mean follow up duration of 17 months (range:14 to 22 months). All the incisions were healed at the first stage. There was no infection, allograft rejection, forearm ischemic contracture, or acute carpal tunnel syndrome. The plain X-ray showed good fracture reduction and joint alignment, no fixation failure or re-displacement, and bone healing in all cases. The mean healing time of elbow fractures was 16 weeks (range: 10 to 22 weeks), and the mean healing time of wrist fractures was 14 weeks (range: 7 to 20 weeks). There were no complications, such as avascular necrosis or nonunion, fracture malunion, and joint instability. Elbow joints were stable during follow-up without recurrence of dislocation. There were 2 patients with mild heterotopic ossification (Brooker grade 1) at 6 months postoperatively, and 3 patients had elbow degenerative changes (Broberg-Morrey grade 1), which had no effect on elbow joint activity and were treated with local warm compress and physiotherapy. There was no secondary instability and dislocation in the distal radioulnar joint. A total of 5 patients had wrist traumatic arthritis (grade 1, Knirk and Jupiter arthritis scoring system) without treatment. The scaphoid fractures had no bone nonunion or ischemic necrosis.
One patient with radial nerve injury and 2 patients with median nerve injury were followed up. At 4 months, the nerve function recovered completely, without finger numbness, muscle atrophy, or impaired finger activity.
Functional assessment
At the final follow-up, the mean ROM of the elbow was 6° (range: 0° to 20°) of extension and 136° (range: 118° to 145°) of flexion. The mean ROM of the wrist was 72° (range: 42° to 85°) of extension and 65° (range: 35° to 80°) of flexion. The mean radial deviation was 24° (range: 15° to 30°), whereas the mean ulnar deviation was 32° (range: 22° to 40°). The ROM of forearm pronation was 73° (range: 62° to 86°), and that of forearm supination was 68° (range: 58° to 90°).
The average grip strength of the injured dominant hand reached 86% of the contralateral upper limb, and the average grip strength of the injured non-dominant hand was 74% of the contralateral upper limb. The elbow and wrist joints were well-positioned.
According to the MEPS scoring system, 8 cases were excellent, 3 cases were good, and 2 cases were good. The combined excellent and good rate was 84.6%. According to the MMWS scoring system, 5 cases were excellent, 5 cases were good, and 3 cases were good. The combined excellent and good rate was 76.9%. There were no significant restrictions on elbow and wrist movements (Figure 4). The DASH score was excellent, with an average of 18.5 points.
Discussion
For the management of the acute combined injuries of the ipsilateral wrist and elbow joints, comprehensive and systematic examinations prior to treatment are very important. It is not only necessary to select requisite clinical imaging detection methods to accurately determine the specific types of fractures and dislocations’ but also to reasonably evaluate the severity and scope of soft tissue injuries. When treating all elbow fractures or dislocations, the X-ray film of the elbow and wrist joints should be routinely examined. When the wrist receives a great violent external force, the cancellous bone structure at the distal end of the radius bone makes it prone to comminuted fractures and severe displacement, and may also combine with carpal fracture or dislocation. Among them, the incidence of combined scaphoid fractures is relatively high (17). There were 4 cases of scaphoid fractures in this study, accounting for 36.4% (3/11) of the distal radius fractures. Meanwhile, CT scan and 3-dimensional (3D) reconstruction are more reliable than conventional X-ray photograph and accurately reflect abnormalities in fractures or dislocations.
In the case of open injury, fractures, and joint dislocation, the associated soft tissue must be carefully examined, including local skin soft tissue integrity, limb swelling and wound contamination, vascular injury, and neurological function. In this study, there were 3 cases of open injury: 1 case at the anterior lateral elbow, caused by the dislocated sacral head piercing the skin; 2 cases at the ulnar side of the wrist were caused by fragments of the distal radius fracture. The wound contamination was mild, but the surrounding support tissue was seriously damaged. Acute neuropathy is more common in severe injuries related to high-energy external forces, including fracture comminution, obvious displacement, and associated open wounds, which can be manifested in different forms of sensory and activity disorders. The recovery of neurological function after surgery is an important factor affecting the prognosis. Therefore, surgical exploration, neurotrophic or physical therapy should be selected to improve neurological function according to the objective judgment of the neuropathic pattern in patients. In this study, there was 1 case of radial nerve injury in the elbow and 2 cases of median nerve injury in the wrist, which were caused by fracture compression or traction injury. After the operation, the neurotrophic and symptomatic treatment was given, and the nerve function was completely restored.
The scaphoid fracture is an intra-articular fracture and is difficult to be fixed by external fixation (18), which may cause delayed fracture healing or non-healing, and even ischemic necrosis. When combining with the ipsilateral distal radius fracture or the wrist stabilizing structure, the stability required for the scaphoid fracture is high, and internal fixation is the primary treatment option. In this study, 4 cases of scaphoid fractures were fixed by percutaneous Herbert cannulated screws under the guidance of X-ray fluoroscopy, which can provide relatively stable internal fixation, reduce the damage of surrounding tissue and blood supply interference, and facilitate fracture healing and early-stage functional exercise.
The repair of the bony stabilizing structure of the elbow should take precedence over the repair of soft tissues, such as the joint capsule and ligament. After the fracture, the reconstruction of the coronal process plays an important role in the joint stability of patients with severe elbow injury (19-21). The coronoid process type I fracture is an intra-articular coronoid process fracture caused by axial shear force (22), and it has been shown that reduction and fixation of coronoid process fracture can considerably improve surgical outcomes (23,24). Therefore, fixation and reconstruction are necessary for coronoid process fracture regardless of its size. In this study, the fragments of the coronoid process fractures were small (the Regan type I fracture). According to the preoperative evaluation and the intraoperative exploration, the bone anchors were used for suture fixation. After the operation, the stability of the elbow joint can be maintained without joint dislocation.
The radial head plays important roles in maintaining the valgus stability of the elbow and cooperating with the coronoid process to prevent the posterolateral rotatory instability of the elbow joint (25,26). Therefore, the radial head fractures should be reduced as much as possible to restore the continuity of the articular surface and maintain stability. Effective internal fixation methods include Kirschner wire, micro-screws or Herbert screws, steel plates, and their therapeutic efficacies have been supported by the corresponding clinical research (26). However, the treatment of complex radial head fractures in case of elbow joint instability is still controversial. Van Glabbeek et al. (27) and Harrington et al. (28) have suggested that prosthetic radial head replacement can effectively maintain the stability of the elbow joint. By contrast, a retrospective controlled study by Leigh et al. (29) found that radial head reconstruction has comparable clinical outcomes with prosthetic replacement treatment. In this study, considering that the patients were young and the wrist had combined injury, open reduction and reconstruction were performed for all cases of radial head fractures combined with dislocation. As the elbow joint is non-weight-bearing, we choose the internal fixation method with bioabsorbable screws, which can meet the requirements of early functional motion. For 2 cases of comminuted radial head fracture (Mason-III type), the radial head was not excised to prevent the posterior radius from proximal shift, causing or aggravating wrist dysfunction. No postoperative delocalized fractures, bone nonunion, or necrosis was found in the X-ray examination.
Biomechanics (30) and clinical findings (31) show that the repair of the collateral ligament can significantly improve the instability of the elbow joint. However, in different injury modes, the collateral ligament is damaged to a varying degree (17), therefore the necessity of routine repair needs to be further investigated. According to the X-ray of the ulnar rotation state at the time of injury, the collateral ligament injury in this study was given individualized treatment under the premise of meeting the functional stress requirements of the elbow joint. The lateral collateral ligament injury was all fixed by bone anchor and reconstructed. The stability of the elbow joint was determined intraoperatively. In the case of instability, the medial collateral ligament could be repaired simultaneously or the hinged external fixator could be applied. In this study, all patients had no radial or ulnar shaft fractures, and there was no separation or dislocation of proximal radioulnar joint. Thus, the distal radius, ulnar head or styloid process fractures are the main cause of 5 cases of inferior radioulnar joint injury. The wrist fractures were reduced and fixed, and the abnormal position of radial bone in the inferior radioulnar joint was corrected. After the intraoperative rotation test, patients with the risk of radioulnar ligament injury were given short-term protective fixation. There was no persistent instability of the inferior radioulnar joint during follow-up. The X-ray plain film showed no dislocation of the radial head and proximal radial displacement.
In the process of identifying the injury and preselecting interventions, we should pay more attention to the systematic imaging examination and avoid missed diagnosis and misdiagnosis. For the treatment of such injuries, the protocol of operative indications can be appropriately expanded. The main principle is to stabilize the joint and maintain the biomechanical congruence in sequence of distal wrist to proximal elbow. the effective, efficient, and early exercise should be applied post-operation. Meanwhile, it is required to closely observe the degree of swelling of the injured limb and deal with it in time in order to reduce potential complications.
Conclusions
For the management of acute combined injuries of the ipsilateral wrist and elbow joints, after comprehensive and accurate evaluation, a reasonable surgical strategy can be determined, including accurate reduction and stable fixation of the fractures, combined with adequate repair of surrounding soft tissue. The relative stability of the wrist and elbow joints should be restored in time and effectively maintained. Postoperative joint braking time should be shortened as much as possible, and active functional exercise can significantly improve the prognosis. However, attention should be paid to the accompanying nerve damage and secondary traumatic arthritis.
Acknowledgments
We are grateful to Yunjiang Liu and Weiguang Yu (both are from Department of Upper Extremity Orthopedics, the First Affiliated Hospital, Sun Yat-sen University, Guangzhou, China) for their assistance.
Funding: None.
Footnote
Reporting Checklist: The authors have completed the STROBE reporting checklist. Available at https://atm.amegroups.com/article/view/10.21037/atm-22-6598/rc
Data Sharing Statement: Available at https://atm.amegroups.com/article/view/10.21037/atm-22-6598/dss
Conflicts of Interest: All authors have completed the ICMJE uniform disclosure form (available at https://atm.amegroups.com/article/view/10.21037/atm-22-6598/coif). The authors have no conflicts of interest to declare.
Ethical Statement: The authors are accountable for all aspects of the work in ensuring that questions related to the accuracy or integrity of any part of the work are appropriately investigated and resolved. The study was conducted in accordance with the Declaration of Helsinki (as revised in 2013). This study was approved by Institutional Review Board (IRB) of the First Affiliated Hospital of Sun Yat-sen University (No. [2020]490), and written informed consent was waived by the IRB due to the retrospective nature of this study.
Open Access Statement: This is an Open Access article distributed in accordance with the Creative Commons Attribution-NonCommercial-NoDerivs 4.0 International License (CC BY-NC-ND 4.0), which permits the non-commercial replication and distribution of the article with the strict proviso that no changes or edits are made and the original work is properly cited (including links to both the formal publication through the relevant DOI and the license). See: https://creativecommons.org/licenses/by-nc-nd/4.0/.
References
- Sotereanos DG, Darlis NA, Wright TW, et al. Unstable fracture-dislocations of the elbow. Instr Course Lect 2007;56:369-76. [PubMed]
- Fitzpatrick MJ, Diltz M, McGarry MH, et al. A new fracture model for "terrible triad" injuries of the elbow: influence of forearm rotation on injury patterns. J Orthop Trauma 2012;26:591-6. [Crossref] [PubMed]
- Kim KJ, Ashton-Miller JA. Biomechanics of fall arrest using the upper extremity: age differences. Clin Biomech (Bristol, Avon) 2003;18:311-8. [Crossref] [PubMed]
- DeGoede KM, Ashton-Miller JA. Biomechanical simulations of forward fall arrests: effects of upper extremity arrest strategy, gender and aging-related declines in muscle strength. J Biomech 2003;36:413-20. [Crossref] [PubMed]
- Alizai H, Engebretsen L, Jarraya M, et al. Wrist injuries detected on magnetic resonance imaging in athletes participating in the Rio de Janeiro 2016 Summer Olympic Games. Quant Imaging Med Surg 2021;11:3244-51. [Crossref] [PubMed]
- Meglic U, Szakacs N, Menozzi M, et al. Role of the interosseous membrane in post-traumatic forearm instability: instructional review. Int Orthop 2021;45:2619-33. [Crossref] [PubMed]
- Anzarut A, Johnson JA, Rowe BH, et al. Radiologic and patient-reported functional outcomes in an elderly cohort with conservatively treated distal radius fractures. J Hand Surg Am 2004;29:1121-7. [Crossref] [PubMed]
- Galbiatti JA, Cardoso FL, Ferro JAS, et al. Terrible triad of the elbow: evaluation of surgical treatment. Rev Bras Ortop 2018;53:460-6. [Crossref] [PubMed]
- Sanchez-Sotelo J, Morrey BF, O'Driscoll SW. Ligamentous repair and reconstruction for posterolateral rotatory instability of the elbow. J Bone Joint Surg Br 2005;87:54-61. [Crossref] [PubMed]
- Gordon MJ, Budoff JE, Yeh ML, et al. Comminuted olecranon fractures: a comparison of plating methods. J Shoulder Elbow Surg 2006;15:94-9. [Crossref] [PubMed]
- Burd TA, Lowry KJ, Anglen JO. Indomethacin compared with localized irradiation for the prevention of heterotopic ossification following surgical treatment of acetabular fractures. J Bone Joint Surg Am 2001;83:1783-8. [Crossref] [PubMed]
- Cooney WP, Bussey R, Dobyns JH, et al. Difficult wrist fractures. Perilunate fracture-dislocations of the wrist. Clin Orthop Relat Res 1987;136-47. [PubMed]
- Ring D, Jupiter JB, Zilberfarb J. Posterior dislocation of the elbow with fractures of the radial head and coronoid. J Bone Joint Surg Am 2002;84:547-51. [Crossref] [PubMed]
- Brooker AF, Bowerman JW, Robinson RA, et al. Ectopic ossification following total hip replacement. Incidence and a method of classification. J Bone Joint Surg Am 1973;55:1629-32. [Crossref] [PubMed]
- Knirk JL, Jupiter JB. Intra-articular fractures of the distal end of the radius in young adults. J Bone Joint Surg Am 1986;68:647-59. [Crossref] [PubMed]
- Broberg MA, Morrey BF. Results of delayed excision of the radial head after fracture. J Bone Joint Surg Am 1986;68:669-74. [Crossref] [PubMed]
- Hove LM. Simultaneous scaphoid and distal radial fractures. J Hand Surg Br 1994;19:384-8. [Crossref] [PubMed]
- Dias JJ, Ring D, Grewal R, et al. Acute scaphoid fractures: making decisions for treating a troublesome bone. J Hand Surg Eur Vol 2022;47:73-9. [Crossref] [PubMed]
- Hull JR, Owen JR, Fern SE, et al. Role of the coronoid process in varus osteoarticular stability of the elbow. J Shoulder Elbow Surg 2005;14:441-6. [Crossref] [PubMed]
- Chantelot C, Wavreille G, Dos Remedios C, et al. Intra-articular compressive stress of the elbow joint in extension: an experimental study using Fuji films. Surg Radiol Anat 2008;30:103-11. [Crossref] [PubMed]
- Jeon IH, Sanchez-Sotelo J, Zhao K, et al. The contribution of the coronoid and radial head to the stability of the elbow. J Bone Joint Surg Br 2012;94:86-92. [Crossref] [PubMed]
- Cage DJ, Abrams RA, Callahan JJ, et al. Soft tissue attachments of the ulnar coronoid process. An anatomic study with radiographic correlation. Clin Orthop Relat Res 1995;154-8. [PubMed]
- Pugh DM, Wild LM, Schemitsch EH, et al. Standard surgical protocol to treat elbow dislocations with radial head and coronoid fractures. J Bone Joint Surg Am 2004;86:1122-30. [Crossref] [PubMed]
- Wang D, Li J, Xu G, et al. Classification of coronoid process fractures: A pending question. Front Surg 2022;9:890744. [Crossref] [PubMed]
- Klug A, Gramlich Y, Wincheringer D, et al. Epidemiology and Treatment of Radial Head Fractures: A Database Analysis of Over 70,000 Inpatient Cases. J Hand Surg Am 2021;46:27-35. [Crossref] [PubMed]
- Zwingmann J, Welzel M, Dovi-Akue D, et al. Clinical results after different operative treatment methods of radial head and neck fractures: a systematic review and meta-analysis of clinical outcome. Injury 2013;44:1540-50. [Crossref] [PubMed]
- Van Glabbeek F, Van Riet R, Verstreken J. Current concepts in the treatment of radial head fractures in the adult. A clinical and biomechanical approach. Acta Orthop Belg 2001;67:430-41. [PubMed]
- Harrington IJ, Sekyi-Otu A, Barrington TW, et al. The functional outcome with metallic radial head implants in the treatment of unstable elbow fractures: a long-term review. J Trauma 2001;50:46-52. [Crossref] [PubMed]
- Leigh WB, Ball CM. Radial head reconstruction versus replacement in the treatment of terrible triad injuries of the elbow. J Shoulder Elbow Surg 2012;21:1336-41. [Crossref] [PubMed]
- Itami Y, Mihata T, McGarry MH, et al. Biomechanical assessment of docking ulnar collateral ligament reconstruction after failed ulnar collateral ligament repair with suture augmentation. J Shoulder Elbow Surg 2021;30:1477-86. [Crossref] [PubMed]
- Jeong WK, Oh JK, Hwang JH, et al. Results of terrible triads in the elbow: the advantage of primary restoration of medial structure. J Orthop Sci 2010;15:612-9. [Crossref] [PubMed]
(English Language Editor: J. Jones)

