Erratum to Prostaglandin F2α protects against pericyte apoptosis by inhibiting the PI3K/Akt/GSK3β/β-catenin signaling pathway
Erratum to: Ann Transl Med 2021;9:1021.
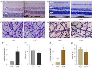
This article (1) titled “Prostaglandin F2α protects against pericyte apoptosis by inhibiting the PI3K/Akt/GSK3β/β-catenin signaling pathway” (doi: 10.21037/atm-21-2717), unfortunately contains an error in Figure 1. In Figure 1, the HE staining of STZ group should be corrected as it was mistakenly uploaded. This change does not affect the current result and conclusion of this article.
The corrected Figure 1 is presented below:
The authors apologize for the oversight.
Click here to view the updated version of the article.
Open Access Statement: This is an Open Access article distributed in accordance with the Creative Commons Attribution-NonCommercial-NoDerivs 4.0 International License (CC BY-NC-ND 4.0), which permits the non-commercial replication and distribution of the article with the strict proviso that no changes or edits are made and the original work is properly cited (including links to both the formal publication through the relevant DOI and the license). See: https://creativecommons.org/licenses/by-nc-nd/4.0/.
References
- Cheng Y, Peng L, Deng X, et al. Prostaglandin F2α protects against pericyte apoptosis by inhibiting the PI3K/Akt/GSK3β/β-catenin signaling pathway. Ann Transl Med 2021;9:1021. [Crossref] [PubMed]


