Mirror movements induced by hemiballism due to putamen infarction: a case report and literature review
Introduction
Abnormal involuntary movements are relatively uncommon complications of strokes mainly involving the basal ganglia and thalamus. Hemichorea–hemiballism is the most common type of secondary involuntary movement disorder following stroke (1). Mirror movements (MMs) are involuntary movements of one limb that synchronously mirror voluntary movements of the contralateral limb (2). Physiological MMs may appear during early childhood, persisting until around 10 years of age, but gradually disappear with myelination. Persistence of MMs into adulthood occurs in several pathological conditions, including hereditary disorders (3), neuropsychiatric abnormalities (4), and a wide range of neurodegenerative diseases, such as Parkinson’s disease (5), amyotrophic lateral sclerosis (6), and corticobasal degeneration (7).
Studies of MMs associated with hemiparesis due to adult-onset stroke (2,8,9) suggest that MMs usually occur in the unaffected hand of stroke patients when they move the paretic hand. In fact, MMs appear predominantly in the distal upper limb muscles, especially the hands (10,11). Here we report what appears to be the first case in which hemiparetic stroke manifested as MM in the unaffected unilateral limb induced by hemiballism of the paretic limb. We present the following case in accordance with the CARE Guideline.
Case presentation
A 54-year-old, right-handed woman presented at our clinic with sudden onset of right hemiparesis and numbness of her right upper extremity and face for the previous 4 days, as well as involuntary movements of her right lower limb for the previous 3 days, which gradually spread to the right upper limb. She was unable to stand or walk because of the severe, coarse, hyperkinetic movements. She denied any significant medical history of hypertension, diabetes, medication, involuntary movement. Family history was negative for movement disorders or mental illness. Her developmental milestones had been normal. On admission, her vital signs were within normal limits and general physical examination was unremarkable. She was alert and had normal mental function.
Neurologic examination showed mild right hemiparesis (V-/V on the Medical Research Council scale 0–V) with subtle hypalgesia on her right face and upper limb. Finger-to-nose and heel-to-shin tests on the right side could not be performed because of severe involuntary movement. Examination for deep sensation and deep tendon reflex were normal, and right Babinski reflex was positive. Involuntary movement on her right limb was continual, of large amplitude, and like flinging her limbs while she maintained her posture, in a manner characteristic of hemiballism. The involuntary movement attenuated remarkably when the patient relaxed, and it disappeared during sleep. Unexpectedly, when she lifted up both limbs, the involuntary identical left-limb movements accompanied right-limb hemiballism. This suggested that right hemiballism induced MMs in her left limb (Figure 1).
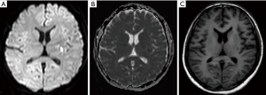
Routine laboratory tests were unremarkable, including liver and renal function, thyroid function, immunologic tests and serum ceruloplasmin level. The exception was a slightly elevated fasting serum glucose level (125 mg/dL). Transthoracic echocardiography was normal, and 24-hour Holter monitoring did not show arrhythmia. Subsequent brain magnetic resonance imaging at 3.0 T revealed acute ischemic stroke involving the left putamen (Figure 2) and periventricular area. However, magnetic resonance angiography did not show any stenosis in the left middle cerebral artery (Figure 3). Diffusion tensor imaging of the brainstem and cervical spine revealed normal cortico-spinal tract decussation in the lower medulla oblongata (Figure 4). The patient was diagnosed with acute onset post-stroke hemiballism that induced MM in her unaffected limb. She was given one week of clonazepam and haloperidol therapy, after which MMs and hemiballism nearly disappeared (Figure 5). The patient was discharged with standard ischemic stroke prevention measures including aspirin and atorvastatin. At follow-up 1 year later, no further episodes of involuntary movement had occurred.
Discussion
Abnormal involuntary movements develop after 1–4% of strokes (1). MMs have been reported as uncommon complications of stroke, and they affect most often the hands, although occasionally also the leg and foot (14). Here we describe what appears to be the first case of MMs manifesting as large-amplitude, flinging movements of one side of the limbs, induced by contralateral hemiballism due to a putamen infarction.
Chorea, including hemiballism, is the most common post-stroke hyperkinetic movement disorder. Hemiballism involves mainly the proximal muscles and may result from lesions in the subthalamic nucleus (15), although many cases of hemiballism are associated instead with lesions in other basal ganglia structures or even the cortex (16). The relatively poor correlation between stroke localization and movement phenomenology may reflect defects in functional connectivity rather than the direct effects of a single lesion (1).
The latency between acute stroke and onset of abnormal movement varies with the type of movement disorder and, potentially, with stroke location. Hemiballism typically occurs shortly after acute stroke, and review of 284 cases of post-stroke movement disorders suggests that the putamen is the brain region most often involved in patients presenting with symptoms within a day (17), as we observed in the present case. The abnormal movement typically emerges as motor function improves, and post-stroke related hemiballism spontaneously resolves in more than half of patients. The hemiballism in the right side of our patient became intermittent as her condition improved, and it resolved almost completely after one week of antidopaminergic therapy. Although hemiballism itself can be relatively benign, short-term symptomatic treatment is needed in some cases to reduce the risk of impaired coordination and injury (18).
The involuntary homologous flinging movements of both limbs of our patient’s body when she held her posture is puzzling. Hemiballism after stroke occurs mostly unilaterally, contralateral to the lesion. Very rarely, hemiballism or hemichorea may appear bilaterally only if bilateral vascular lesions of the basal ganglia are observed on brain imaging (19), which was not the case for our patient. MMs in the non-paretic hand are frequently exaggerated when patients attempt excessively to move their paretic hand (20). This leads us to speculate that violent hemiballism in the hemiparetic limb could induce MMs in the unaffected limb in the present case.
Two main hypotheses have been put forward to explain the occurrence of MMs after stroke (10). One idea is that MMs depend on motor output from the voluntarily active primary motor cortex (M1) via functionally active ipsilateral spinal motoneurons. This abnormal projection may involve either branching of crossed corticospinal fibers or a separate ipsilateral corticospinal projection. A second idea is that MMs arise due to overactivation of the non-lesioned hemisphere during intended movement of the paretic hand. This overactivation may be due to dysfunction of the neural circuits that normally impose interhemispheric inhibition of motor planning processes. Since diffusion tensor imaging of our patient did not show any abnormal corticospinal decussation, and since MMs have been associated with dysfunction of the basal ganglia circuit (21), we speculate that acute putamen infarction may derepress interhemispheric inhibition and thereby contribute to MMs.
MMs may reflect restorative processes after a unilateral stroke. MMs occur much more often in the unaffected hand of stroke patients than in the paretic hand (2). MMs in the unaffected hand have been associated with greater motor deficit in the affected hand; conversely, MMs in the paretic hand have been associated with significantly better motor function than patients without MMs in the paretic hand (2). However, our patient showed only light paralysis in the paretic limb, although MMs was observed in the unaffected limb. We also found that MMs in the non-paretic limb of our patient was exaggerated early after stroke, but progressively diminished as hemiballism in the paretic limb recovered, consistent with earlier findings (22). We conclude that the MMs in our patient reflected processes to compensate for contralateral hemiballism, not paralysis. Further studies using neuroimaging and neurophysiological techniques are needed to explain the relationship between MMs in the unaffected hand and motor function in the affected hand.
Conclusions
We report a highly unusual case of putamen infarction presenting as MMs in the unaffected unilateral limb induced by contralateral hemiballism. Hemiballism and MMs can be part of acute stroke presentation and should be recognized early to ensure timely management. Longitudinal assessment of abnormal involuntary movements and MMs might be useful for studying the process of motor recovery following stroke.
Acknowledgments
Funding: This work was supported by the National Natural Science Foundation of China (81671146, 81870937, 81870859).
Footnote
Conflicts of Interest: The authors have no conflicts of interest to declare.
Ethical Statement: The authors are accountable for all aspects of the work in ensuring that questions related to the accuracy or integrity of any part of the work are appropriately investigated and resolved. Written informed consent was obtained from the patient for publication of this manuscript and accompanying images.
References
- Mehanna R, Jankovic J. Movement disorders in cerebrovascular disease. Lancet Neurol 2013;12:597-608. [Crossref] [PubMed]
- Nelles G, Cramer SC, Schaechter JD, et al. Quantitative assessment of mirror movements after stroke. Stroke 1998;29:1182-7. [Crossref] [PubMed]
- Lazarus JA, Todor JI. Age differences in the magnitude of associated movement. Dev Med Child Neurol 1987;29:726-33. [Crossref] [PubMed]
- Schott GD, Wyke MA. Congenital mirror movements. J Neurol Neurosurg Psychiatry 1981;44:586-99. [Crossref] [PubMed]
- Ottaviani D, Tiple D, Suppa A, et al. Mirror movements in patients with Parkinson's disease. Mov Disord 2008;23:253-8. [Crossref] [PubMed]
- Wittstock M, Wolters A, Benecke R. Transcallosal inhibition in amyotrophic lateral sclerosis. Clin Neurophysiol 2007;118:301-7. [Crossref] [PubMed]
- Fisher CM. Alien hand phenomena: a review with the addition of six personal cases. Can J Neurol Sci 2000;27:192-203. [Crossref] [PubMed]
- Weiller C, Ramsay SC, Wise RJ, et al. Individual patterns of functional reorganization in the human cerebral cortex after capsular infarction. Ann Neurol 1993;33:181-9. [Crossref] [PubMed]
- Netz J, Lammers T, Hömberg V. Reorganization of motor output in the non-affected hemisphere after stroke. Brain 1997;120:1579-86. [Crossref] [PubMed]
- Cincotta M, Ziemann U. Neurophysiology of unimanual motor control and mirror movements. Clin Neurophysiol 2008;119:744-62. [Crossref] [PubMed]
- Cox BC, Cincotta M, Espay AJ. Mirror movements in movement disorders: a review. Tremor Other Hyperkinet Mov (N Y) 2012. [Crossref] [PubMed]
- Jiang S, Zhong D, Yan Y, et al. Continual flinging movements of large amplitude in the patient’s right limb while she maintained a posture. Asvide 2020;7:026. Available online: http://www.asvide.com/watch/33043
- Jiang S, Zhong D, Yan Y, et al. The near disappearance of mirror movements and hemiballism in the patient after one week of antidopaminergic treatment. Asvide 2020;7:027. Available online: http://www.asvide.com/watch/33044
- Tubbs RS, Smyth MD, Dure LS, et al. Exclusive lower extremity mirror movements and diastematomyelia. Pediatr Neurosurg 2004;40:132-5. [Crossref] [PubMed]
- Martin JP, Alcock NS. Hemichorea associated with a lesion of the corpus Luysii. Brain 1934;57:504-16. [Crossref]
- Vidaković A, Dragasević N, Kostić VS. Hemiballism: report of 25 cases. J Neurol Neurosurg Psychiatry 1994;57:945-9. [Crossref] [PubMed]
- Suri R, Rodriguez-Porcel F, Donohue K, et al. Post-stroke Movement Disorders: The Clinical, Neuroanatomic, and Demographic Portrait of 284 Published Cases. J Stroke Cerebrovasc Dis 2018;27:2388-97. [Crossref] [PubMed]
- Postuma RB, Lang AE. Hemiballism: revisiting a classic disorder. Lancet Neurol 2003;2:661-8. [Crossref] [PubMed]
- Tabaton M, Mancardi G, Loeb C. Generalized chorea due to bilateral small, deep cerebral infarcts. Neurology 1985;35:588-9. [Crossref] [PubMed]
- Kim Y, Kim WS, Shim JK, et al. Difference of motor overflow depending on the impaired or unimpaired hand in stroke patients. Hum Mov Sci 2015;39:154-62. [Crossref] [PubMed]
- Wu T, Hou Y, Hallett M, et al. Lateralization of brain activity pattern during unilateral movement in Parkinson's disease. Hum Brain Mapp 2015;36:1878-91. [Crossref] [PubMed]
- Ejaz N, Xu J, Branscheidt M, et al. Evidence for a subcortical origin of mirror movements after stroke: a longitudinal study. Brain 2018;141:837-47. [Crossref] [PubMed]


