Paeoniflorin improves myocardial injury via p38 MAPK/NF-KB p65 inhibition in lipopolysaccharide-induced mouse
Introduction
Severe sepsis is a major of morbidity and mortality in patients with cardiac insufficiency (1,2). Patients with sepsis may experience multiple organ failure and early myocardial dysfunction due to dysregulated immune and inflammatory response (3). It has been reported that approximately 45% of patients with sepsis will experience myocardial dysfunction or even deterioration of cardiac function, resulting in a poor prognosis (4). Septic myocardial dysfunction has complex manifestations, including reduced ejection fraction and myocardial contractility (5). Additionally, acute cardiac insufficiency is an indicator of poor prognosis in patients with sepsis (6,7).
Cardiac insufficiency is a frequent complication of endotoxin sepsis, which was also observed in mouse models of lipopolysaccharide (LPS)-induced sepsis (8,9). LPS is a specific component of the cell wall of Gram-negative bacteria, located in the outermost layer of the cell wall and exposed to the cell surface of non-capsular bacteria (10). Studies have shown that cardiac complications induced LPS by are associated with cardiac apoptosis (11), as well as with the overexpression of pro-inflammatory cytokines (12). In addition, furthermore, the pro-inflammatory cytokinin activation induced by LPS is triggered by the nuclear factor-κB (NF-κB), which can stimulate the overexpression of multiple pro-inflammatory cytokines, thereby affecting myocardial function (13). Conversely, NF-κB inactivation alleviates LPS-induced cardiac insufficiency (14,15). However, the underlying mechanism of endotoxemia cardiac dysfunction is not fully understood.
Pae is a monoterpene glucoside extracted from Paeonia lactiflora roots with multiple pharmacological activities such as antioxidative, anti-inflammatory, and immunomodulation (16-18). Pae is often used in the treatment of rheumatoid arthritis and systemic lupus erythematosus (19). Pae also protects against vascular endothelial damage (17). Unfortunately, the pathological mechanism of Pae on cardiac dysfunction is unknown. In this study, we evaluated the protective effects of Pae against acute cardiac dysfunction in mouse model induced by LPS, and explored the underlying protective mechanism. We present the following article in accordance with the ARRIVE reporting checklist (available at https://dx.doi.org/10.21037/atm-21-4049).
Methods
Main materials
Pae (C23H28O11, molecular weight: 480.46) was obtained from Sigma-Aldrich (St. Louis, USA). Resolvin E1 (RvE1, C20H30O5, molecular weight: 350.4492) was obtained from Cayman Chemical (Ann Arbor, USA). LPS freeze-dried powder was purchased from Sigma-Aldrich (St. Louis, USA).
Animal model
Male BALB/c mice (Six-week-old, weight: 22–25 g) were purchased from the Laboratory Animal Center of Sichuan University (Cheng, China) and kept in a suitable environment (24±2 °C, humidity 60%) with a light/dark cycle for 12-hour, and received free food and water. Subsequently, the mice were randomly divided into 4 groups (n=8), including the sham group: equal volumes of sterile saline, the LPS group: 10 mg/kg LPS, RvE1 group (20): LPS + RvE1 (25 µg/kg), and the Pae groups (21): LPS + Pae (20 mg/kg). Each group of mice were intraperitoneally injected with the same volume of sterile saline daily for 3 days. As previously described, LPS was intraperitoneally injected approximately 1 hour after the final administration of sterile normal saline (12). Post LPS injection 3 hours, the RvE1 or Pae group were performed with 25 µg/kg RvE1 or 20 mg/kg Pae. The sham was only administered sterile saline. All steps were performed at 6 hours after LPS injection. Mice were sacrificed at the indicated time point after LPS/sterile saline treatment (6 h), the mice were sacrificed and samples of their heart tissue and blood were stored at −80 °C. The animal experiments in this study were approved by the ethical committee of Harbin Medical University, and were conducted according to the published Guide for the Care and Use of Laboratory Animals (NIH). A protocol was prepared before the study without registration.
Haematoxylin-eosin (HE) staining
The removed mice heart tissue was fixed in 10% formalin buffer and then was used in paraffin-embedded. After completion of dewaxing and hydration, the 4-µm sections were routinely stained with HE solution. The changes in myocardial tissue structure were examined using a confocal microscope (Leica, Wetzlar, Germany).
Determination of cardiac injure bio-markers
The myocardial injury was assessed by measuring the levels of myocardial-specific markers (CK-MB, cTnT and LDH). Myocardial perfusion injury is accompanied by changes in certain biomarker content. Thus, changes in serum biomarker level can reflect the degree of myocardial tissue damage. We examined the content of cTnI, CK-MB and LDH using a kit purchased from the Nanjing Construction Bioengineering Institute (Nanjing, China), according to the manufacturer’s instructions.
Enzyme-linked immunosorbent assay (ELISA)
Heart tissue and blood samples were collected at 2 h after LPS or saline injection. All blood samples were centrifuged at 2,000 g for 20 min after 2 h coagulation at room temperature, and the collected serum samples were stored at −40 °C for future use. Heart tissue was thoroughly homogenized in ice saline, centrifuged at 3,600 g for 10 min, and the supernatant was obtained and stored at −40 °C for future use. The concentrations of tumor necrosis factor-α (TNF-α), interleukin (IL)-1β, IL-10, malondialdehyde (MDA), glutathione (GSH), reactive oxygen species (ROS), and superoxide dismutase SOD were determined by an enzyme-linked immunosorbent assay (ELISA) kit according to the manufacturer’s instructions.
Measurement of CaCl2-induced mitochondrial permeability transition pore (mPTP) opening
The mPTP opening was evaluated as previous method (22); 200 µg isolated mitochondria protein were re-suspended in 170 µL buffer, and then precultured in a 96-well plate at 37 °C for 1 min. At the beginning of the experiment, 10 nM CaCl2 pulses was applied to above samples. The initial absorbance at 540 nm (A540) was recorded with a microplate reader (Thermo Fisher, MA, USA).
Assessment of mitochondrial membrane potential (MMP).
MMP was detected using a 5,5',6,6'-Tetrachloro-1,1',3,3'-tetraethyl-imidacarbocyanine (JC-1) Mitochondrial Membrane Potential Detection Kit (Beyotime, Shanghai, China) according to the manufacturer’s protocol. When MMP was higher, JC-1 monomer aggregated and produced red fluorescence. When MMP was low, JC-1 monomer could not aggregate and produce green fluorescence. Fluorescence was detected and photographed under a fluorescence microscope (Leica, Wetzlar, Germany).
TUNEL staining
Myocardial tissue sections were dewaxed and hydrated, and then treated with treated with 20 µg/mL protease K (Thermo Fisher, MA, USA) for 15 min. These sections was TUNEL stained using FragEL DNA Fragmentation Detection Kit, Fluorescent-TdT Enzyme (Merck, Billerica, USA). Five visual ranges were randomly selected under an optical microscope (Leica, Wetzlar, Germany), and the number of positive cells was observed and recorded.
Western blotting (WB) assay
Total proteins were extracted from the mouse heart tissues using a RIPA lysis buffer (Beyotime, Shanghai, China). Protein concentrations were measured using a BCA protein assay kit (23227, Abcam, Cambridge, UK). Proteins were separated on 12% sodium dodecyl sulfate- polyacrylamide gel electrophoresis (SDS-PAGE) and transferred to polyvinylidene fluoride (PVDF) membranes. The membranes were sealed with 5% skimmed milk at 4 °C for 1 hour, and incubated overnight with the below primary antibodies: Cytochrome C antibody (ab133504), anti-Caspase-3 antibody (ab184784), anti-Bcl-2 antibody (ab59348), anti-Bax antibody (ab32503), anti-p38 antibody (ab170099), anti-p38 (phospho T180 + Y182) antibody (ab195049), anti-P65 antibody (ab16502), and anti-p-P65 (phospho S536) antibody (ab86299). The next day, the membranes were incubated with the matched secondary antibodies. The target bands were visualized with a ECL reagent (Bio-Rad, CA, USA). All antibodies were purchased from Abcam.
Statistical analysis
Data were analyzed using SPSS 25.0 software (IBM, Armonk, USA). The data in each group were expressed as mean ± standard deviation (SD). Significance differences between the two groups were assessed using the Student’s t-test, and those between three or more groups were analyzed by one-way ANOVA. A P value of <0.05 was considered to indicate a statistically significant difference.
Results
Pae mitigated LPS-induced cardiac injury in mice
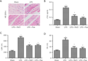
To explore whether Pae could prevent LPS-induced cardiac dysfunction, the myocardial sections were treated with HE staining. As shown in Figure 1A, there were no significant differences in cardiac morphology in the sham group. Nevertheless, myocardial fiber rupture, cellular edema, and inflammatory cell infiltration were occurred in the LPS group. Notably, treatment with Pae or RvE1 obviously attenuated myocardial tissue injury compared with LPS. In addition, we examined the release of relevant bio-markers (cTnI, CK-MB and LDH) in serum. Figure 1B-1D showed the level of cTnI, CK-MB and LDH were increased in LPS group. As expected, Pae or RvE1 reversed the change of cTnI, CK-MB and LDH, compared with LPS group.
Pae inhibited LPS-induced inflammatory response
To assess the role of Pae in myocardial inflammation, the expression of inflammatory cytokines (TNF-α, IL-1β, and IL-6) was analyzed in myocardial tissues and peripheral blood. As shown in Figure 2A, LPS significantly upregulated the levels of TNF-α, IL-1β, and IL-6, compared with sham group. In contrast, the levels of above inflammatory cytokines were significantly downregulated in the Pae or RvE1 groups, compared with the LPS group. The changes in the content of these inflammatory factors in the serum were consistent with the changes in the tissue (Figure 2B).
Pae blocked LPS-induced oxidative injury of heart tissue
Furthermore, the indicators of oxidative stress (SOD, GSH, ROS and MDA) were also examined to assess oxidative injury of heart tissues. The data showed that the levels of MDA (Figure 3A), GSH (Figure 3B) and ROS (Figure 3C) were increased, while SOD (Figure 3D) was decreased after LPS treatment compared with sham group, but MDA, GSH and ROS were mitigated and SOD was elevated with Pae or RvE1 treatment compared with the LPS group (Figures 3A-3D).
Pae inhibited mPTP opening and ameliorated mitochondrial injury
Mitochondrial permeability is an important mechanism that mediates cell death. As shown in Figure 3E, LPS stimulated an increase of mPTP opening compared with sham group. Compared with LPS group, Pae or RvE1 inhibited the MPTP opening. To assess the effect of Pae on mitochondrial function, we measured the change of MMP in the different experimental groups using JC-1 staining. Compared to the sham group, the fluorescence intensity of JC-1 in LPS group decreased, which may be due to the reduction of JC-1 aggregates. After Pae or RvE1 treatment, the fluorescence intensity of JC-1 increased (Figure 3F).
Pae blocked LPS-induced myocardial apoptosis
Next, the apoptotic rate of myocardial cells was examined by TUNEL staining. As shown in Figure 4A, we found a significant increase in apoptosis-positive cells after LPS induction. In contrast, treatment with Pae or RvE1 reduced the apoptotic rate in myocardial tissue. In addition, the protein levels of the apoptosis-associated markers (cytochrome C, Caspase-3, Bax and Bcl-2) were examined using WB assay. As shown in Figure 4B, the levels of cytochrome C, Caspase-3 and Bcl-2/Bax were significantly reduced in the LPS + Pae or LPS + RvE1 group as compared to the LPS group.
Pae impaired the activity of p38 MAPK and NF-κB in LPS-induced mice
To understand the protective effects of Pae, the phosphorylation levels of p38 and p65 were examined by WB assay. The results from Figure 5A showed that LPS significantly increased the protein levels of p38 and p65 (Figure 5A), compared with the sham group. In contrast, Pae or RvE1 markedly inhibited the phosphorylation of p38 and p65 (Figure 5A). In addition, we added p38 inhibitor SB203580, and mice were randomly separated into groups: sham group, LPS group, LPS + SB203580 (10 mg/kg) group, and LPS + Pae (20 mg/kg) group, LPS + SB203580 + Pae group. HE staining showed SB203580 or Pae treatment obviously attenuated myocardial tissue injury compared with LPS group (Figure 5B), and SB203580 or Pae treatment reduced the apoptosis rate of myocardial tissues (Figure 5C,5D). Co-treatment with SB203580 and Pae made this change more obvious (Figure 5B-5D). The levels of TNF-α, IL-1β and MDA were significantly increased and SOD were dramatically decreased compared with sham, Pae remarkably decreased the levels of TNF-α, IL-1β and MDA while increased SOD compared with LPS. Moreover, SB203580 treatment significantly attenuated the effect of LPS. Co-treatment with SB203580 and Pae further reduced TNF-α, IL-1β and MDA, and elevated SOD compared with LPS + SB203580 (Figure 5E-5H).
Discussion
Septicemia is an organ dysfunction syndrome that can be attributed to an organism’s abnormal immune and inflammatory response to infection (23). It usually presents with acute organ dysfunction after acute or systemic injury, such as cardiac insufficiency and death. Therefore, there is an urgent need to find more effective treatment for heart dysfunction in sepsis. In this study, we found that LPS aggravated cardiac dysfunction. Pae improved LPS-induced cardiac function and impeded apoptosis. Pae significantly reduced the release of inflammatory cytokines, and inhibited mPTP opening and mitochondrial injury. Our data indicated a protective effect of Pae against cardiac function in septic mice.
Inflammation plays a key role in heart dysfunction induced by sepsis. LPS has been found to activate the inflammatory response in monocytes and macrophages, causing many pathophysiologies (24), including the release of a range of proinflammatory factors (e. g., IL-1β, TNF-α, IL-6, and MCP-1). IL-1β is a potent proinflammatory mediator in many immune responses, and LPS significantly increased the levels of TNF-α, MCP-1, and HMGB1 in serum and cardiac muscle, further enhancing the inflammatory response of the heart by inducing IL-1β secretion (25). In our study, LPS significantly enhanced the levels of IL-6, TNF-α, and IL-1β in myocardial tissue and peripheral blood, consistent with previous reports. Subsequently, we examined the effect of Pae on TNF-α, IL-1β, and IL-6 in myocardial tissue and peripheral blood. The results confirmed that TNF-α, IL-1β, and IL-6 were significantly reduced in Pae-treated mice. Taken together, these results suggested that Pae regulated inflammatory response to attenuate cardiac dysfunction in LPS-induced mice.
Myocardial apoptosis leads to more severe myocardial injury and heart failure (26). Apoptosis is a biological process of active cell death, and the members of Bcl-2 family mediate apoptosis by controlling the mitochondrial membrane permeability (27). In this study, we found that Pae treatment could protect cardiomyocytes from apoptosis in vivo by TUNEL staining, was accompanied by a significantly reduced in cytochrome C, cleaved Caspase-3 and Bax/Bcl-2. It has been proved that septic heart disease can cause mitochondrial dysfunction (28). In the early stage of cardiac damage, Ca2+ influx and excessive production of ROS trigger the opening of mPTP (28,29), which decreased the MMP. Importantly, the loss of MMP will stimulates the additional mPTP opening, resulting in further dissipation of MMP (30). In addition, mPTP opening induces cell death by releasing cytochrome C into the cytoplasm and activating caspase (31,32). In our study, we observed that Pae attenuated mPTP opening and MMP depolarization and inhibited ROS enrichment. These results further confirmed the cardiac protective effect of Pae in LPS-induced mice.
A large number of studies indicate that mitogen-activated protein kinase (MAPK) signaling plays an important role in body inflammation, and that sustained activation of p38 MAPK is positively correlated with cardiac injury (33). LPS stimulation activates a variety of inflammatory pathways, such as NF-κB and MAPKs pathways (34). NF-κB, a primary transcription factor that is the first responder to noxious cell stimulation, plays an important role in regulating inflammatory and immune responses (35). Normally, the NF-κB repressive protein (IκB) is expressed in the cytoplasm. However, in the presence of NF-κB activators (e.g., LPS), IκB is phosphorylated and degraded (36). Previous studies have found that LPS induced myocardial inflammation (36) and apoptosis (37) by activating NF-κB signaling pathways. Our study showed that Pae could reverse the increase of p38 and p65 phosphorylation induced by LPS. Furthermore, upon addition of the p38 inhibitor SB203580, the results indicated that Pae reduced the inflammatory response and inhibited cardiomyocyte apoptosis through p38 MAPK/NF-κB p65 pathway. Taken together, the mechanism by which Pae attenuates LPS-induced myocardial injury may be through p38 MAPK/NF-κB p65-mediated inflammatory response and myocardial apoptosis.
Conclusions
This study indicated that Pae protected against endotoxic cardiac injury and provided an alternative new drug for the treatment of cardiovascular-related diseases. We found that Pae could attenuate myocardial injury in vivo by inhibiting the phosphorylation activity of p38 MAPK and p65, but the underlying molecular mechanisms still require further investigation.
Acknowledgments
Funding: None.
Footnote
Reporting Checklist: The authors have completed the ARRIVE reporting checklist. Available at https://dx.doi.org/10.21037/atm-21-4049
Data Sharing Statement: Available at https://dx.doi.org/10.21037/atm-21-4049
Conflicts of Interest: All authors have completed the ICMJE uniform disclosure form (available at https://dx.doi.org/10.21037/atm-21-4049). The authors have no conflicts of interest to declare.
Ethical Statement: The authors are accountable for all aspects of the work in ensuring that questions related to the accuracy or integrity of any part of the work are appropriately investigated and resolved. The animal experiments in this study were approved by the ethical committee of Harbin Medical University (No. 20190123-6), and were conducted according to the published Guide for the Care and Use of Laboratory Animals (NIH).
Open Access Statement: This is an Open Access article distributed in accordance with the Creative Commons Attribution-NonCommercial-NoDerivs 4.0 International License (CC BY-NC-ND 4.0), which permits the non-commercial replication and distribution of the article with the strict proviso that no changes or edits are made and the original work is properly cited (including links to both the formal publication through the relevant DOI and the license). See: https://creativecommons.org/licenses/by-nc-nd/4.0/.
References
- Zanotti-Cavazzoni SL, Hollenberg SM. Cardiac dysfunction in severe sepsis and septic shock. Curr Opin Crit Care 2009;15:392-7. [Crossref] [PubMed]
- Romero-Bermejo FJ, Ruiz-Bailen M, Gil-Cebrian J, et al. Sepsis-induced cardiomyopathy. Curr Cardiol Rev 2011;7:163-83. [Crossref] [PubMed]
- Turner KL, Moore LJ, Todd SR, et al. Identification of cardiac dysfunction in sepsis with B-type natriuretic peptide. J Am Coll Surg 2011;213:139-46; discussion 146-7. [Crossref] [PubMed]
- Charpentier J, Luyt CE, Fulla Y, et al. Brain natriuretic peptide: A marker of myocardial dysfunction and prognosis during severe sepsis. Crit Care Med 2004;32:660-5. [Crossref] [PubMed]
- Landesberg G, Levin PD, Gilon D, et al. Myocardial Dysfunction in Severe Sepsis and Septic Shock: No Correlation With Inflammatory Cytokines in Real-life Clinical Setting. Chest 2015;148:93-102. [Crossref] [PubMed]
- Zeng M, Zhang B, Li B, et al. Adenosine Attenuates LPS-Induced Cardiac Dysfunction by Inhibition of Mitochondrial Function via the ER Pathway. Evid Based Complement Alternat Med 2019;2019:1832025 [Crossref] [PubMed]
- Sanfilippo F, Corredor C, Fletcher N, et al. Left ventricular systolic function evaluated by strain echocardiography and relationship with mortality in patients with severe sepsis or septic shock: a systematic review and meta-analysis. Crit Care 2018;22:183. [Crossref] [PubMed]
- Lewis AJ, Seymour CW, Rosengart MR. Current Murine Models of Sepsis. Surg Infect (Larchmt) 2016;17:385-93. [Crossref] [PubMed]
- Rudiger A, Singer M. Mechanisms of sepsis-induced cardiac dysfunction. Crit Care Med 2007;35:1599-608. [Crossref] [PubMed]
- Annane D, Bellissant E, Cavaillon JM. Septic shock. Lancet 2005;365:63-78. [Crossref] [PubMed]
- Chao CN, Lo JF, Khan FB, et al. Tid1-S attenuates LPS-induced cardiac hypertrophy and apoptosis through ER-a mediated modulation of p-PI3K/p-Akt signaling cascade. J Cell Biochem 2019;120:16703-10. [Crossref] [PubMed]
- Zhai J, Guo Y. Paeoniflorin attenuates cardiac dysfunction in endotoxemic mice via the inhibition of nuclear factor-κB. Biomed Pharmacother 2016;80:200-6. [Crossref] [PubMed]
- Tocmo R, Parkin K. S-Alk(en)ylmercaptocysteine suppresses LPS-induced pro-inflammatory responses in murine macrophages through inhibition of NF-κB pathway and modulation of thiol redox status. Free Radic Biol Med 2018;129:548-58. [Crossref] [PubMed]
- Huang GJ, Deng JS, Chen CC, et al. Methanol extract of Antrodia camphorata protects against lipopolysaccharide-induced acute lung injury by suppressing NF-κB and MAPK pathways in mice. J Agric Food Chem 2014;62:5321-9. [Crossref] [PubMed]
- Wang X, Zingarelli B, O'Connor M, et al. Overexpression of Hsp20 prevents endotoxin-induced myocardial dysfunction and apoptosis via inhibition of NF-kappaB activation. J Mol Cell Cardiol 2009;47:382-90. [Crossref] [PubMed]
- Wen J, Xu B, Sun Y, et al. Paeoniflorin protects against intestinal ischemia/reperfusion by activating LKB1/AMPK and promoting autophagy. Pharmacol Res 2019;146:104308 [Crossref] [PubMed]
- Wang JS, Huang Y, Zhang S, et al. A Protective Role of Paeoniflorin in Fluctuant Hyperglycemia-Induced Vascular Endothelial Injuries through Antioxidative and Anti-Inflammatory Effects and Reduction of PKCβ1. Oxid Med Cell Longev 2019;2019:5647219 [Crossref] [PubMed]
- Kong M, Liu HH, Wu J, et al. Effects of sulfur-fumigation on the pharmacokinetics, metabolites and analgesic activity of Radix Paeoniae Alba. J Ethnopharmacol 2018;212:95-105. [Crossref] [PubMed]
- Yu G, Wang Z, Zeng S, et al. Paeoniflorin Inhibits Hepatocyte Growth Factor- (HGF-) Induced Migration and Invasion and Actin Rearrangement via Suppression of c-Met-Mediated RhoA/ROCK Signaling in Glioblastoma. Biomed Res Int 2019;2019:9053295 [Crossref] [PubMed]
- Zhang J, Wang M, Ye J, et al. The Anti-inflammatory Mediator Resolvin E1 Protects Mice Against Lipopolysaccharide-Induced Heart Injury. Front Pharmacol 2020;11:203. [Crossref] [PubMed]
- Cao W, Zhang W, Liu J, et al. Paeoniflorin improves survival in LPS-challenged mice through the suppression of TNF-α and IL-1β release and augmentation of IL-10 production. Int Immunopharmacol 2011;11:172-8. [Crossref] [PubMed]
- Rahman S, Li J, Bopassa JC, et al. Phosphorylation of GSK-3β mediates intralipid-induced cardioprotection against ischemia/reperfusion injury. Anesthesiology 2011;115:242-53. [Crossref] [PubMed]
- Fernandes CJ Jr, de Assuncao MS. Myocardial dysfunction in sepsis: a large, unsolved puzzle. Crit Care Res Pract 2012;2012:896430 [Crossref] [PubMed]
- Li J, Zhai Y, Ao L, et al. Interleukin-37 suppresses the inflammatory response to protect cardiac function in old endotoxemic mice. Cytokine 2017;95:55-63. [Crossref] [PubMed]
- Li N, Zhou H, Wu H, et al. STING-IRF3 contributes to lipopolysaccharide-induced cardiac dysfunction, inflammation, apoptosis and pyroptosis by activating NLRP3. Redox Biol 2019;24:101215 [Crossref] [PubMed]
- Yaoita H, Ogawa K, Maehara K, et al. Apoptosis in relevant clinical situations: contribution of apoptosis in myocardial infarction. Cardiovasc Res 2000;45:630-41. [Crossref] [PubMed]
- Wang X. The expanding role of mitochondria in apoptosis. Genes Dev 2001;15:2922-33. [PubMed]
- Baines CP. The mitochondrial permeability transition pore and ischemia-reperfusion injury. Basic Res Cardiol 2009;104:181-8. [Crossref] [PubMed]
- Sanada S, Komuro I, Kitakaze M. Pathophysiology of myocardial reperfusion injury: preconditioning, postconditioning, and translational aspects of protective measures. Am J Physiol Heart Circ Physiol 2011;301:H1723-41. [Crossref] [PubMed]
- Halestrap AP, Clarke SJ, Javadov SA. Mitochondrial permeability transition pore opening during myocardial reperfusion--a target for cardioprotection. Cardiovasc Res 2004;61:372-85. [Crossref] [PubMed]
- Liu D, Yi B, Liao Z, et al. 14-3-3γ protein attenuates lipopolysaccharide-induced cardiomyocytes injury through the Bcl-2 family/mitochondria pathway. Int Immunopharmacol 2014;21:509-15. [Crossref] [PubMed]
- Karch J, Molkentin JD. Identifying the components of the elusive mitochondrial permeability transition pore. Proc Natl Acad Sci U S A 2014;111:10396-7. [Crossref] [PubMed]
- Liu M, Chen J, Huang Y, et al. Triptolide alleviates isoprenaline-induced cardiac remodeling in rats via TGF-β1/Smad3 and p38 MAPK signaling pathway. Pharmazie 2015;70:244-50. [PubMed]
- Guo S, Jiang K, Wu H, et al. Magnoflorine Ameliorates Lipopolysaccharide-Induced Acute Lung Injury via Suppressing NF-κB and MAPK Activation. Front Pharmacol 2018;9:982. [Crossref] [PubMed]
- Li J, Yin Q, Wu H. Structural basis of signal transduction in the TNF receptor superfamily. Adv Immunol 2013;119:135-53. [Crossref] [PubMed]
- Kawai T, Akira S. Signaling to NF-kappaB by Toll-like receptors. Trends Mol Med 2007;13:460-9. [Crossref] [PubMed]
- Tien YC, Lin JY, Lai CH, et al. Carthamus tinctorius L. prevents LPS-induced TNFalpha signaling activation and cell apoptosis through JNK1/2-NFkappaB pathway inhibition in H9c2 cardiomyoblast cells. J Ethnopharmacol 2010;130:505-13. [Crossref] [PubMed]

