Methyltransferase SETD2 mediates hepatoprotection of berberine against steatosis
Introduction
Nonalcoholic fatty liver (NAFL) represents simple hepatic steatosis and is defined as triglyceride infiltration in more than 5% of hepatocytes (1). Hepatic steatosis has emerged as a predominant determinant for the progression of fibrosis in chronic hepatitis C patients (2). Patients with NAFL over 14.3 years progress 1 stage of fibrosis (3). Particularly, hepatic triglyceride accumulation contributes to systemic disorders, including insulin resistance in the liver, muscle, and adipose tissue (4). Although lifestyle countermeasures such as weight loss, diet, and physical performance have been recommended as the first-line strategy for NAFL treatment (5), the noncompliance of patients urges the development of new therapies for NAFL.
Traditional Chinese medicine (TCM), which mainly comprises natural medicines and related extracts, has shown therapeutic advantage for NAFL. For instance, TCM improved hepatic steatosis and injury in both patients and animal models, as demonstrated by the reduction of alanine aminotransferase, aspartate aminotransferase (6), and serum triglycerides (7). Berberine (BBR), a kind of isoquinoline alkaloid (8) extracted from medicinal plants in the Berberidaceae family such as Rhizoma Coptidis and Phellodendron amurense Ruprin (9), has received increasing attention for attenuating NAFL. In patients with NAFL, BBR plus lifestyle intervention resulted in a significant reduction in the fat content of the liver and body weight, with better improvement in serum lipid profiles (10). In a rat model of NAFL, BBR treatment for 16 weeks decreased hepatic fat content by 14% (11). Current viewpoints regarding the mechanism of action of BBR-mediated protection against NAFL involve the inhibition of apoptosis, autophagy of hepatocytes, AMP-activated protein kinase (AMPK) activation, insulin receptor, low-density lipoprotein upregulation, downregulation of low-density lipoprotein receptor, and reduction of DNA hypermethylation and histone deacetylation (12,13).
The epigenetic regulation of NAFL has received particular attention (14). DNA methylation, histone acetylation, and long noncoding RNAs represent the most common epigenetic modifications. Among them, histone methylation could potentially contribute to the protection of BBR against NAFL. Knockout of histone methyltransferase SET domain-containing protein 2 (SETD2) increased the storage of hepatic triglycerides in mice under high-fat conditions (15). In the setting of diabetes, BBR administration ameliorated hepatic steatosis and induced an increase in the mRNA expression of SETD2 (16). These findings suggest the potential contribution of SETD2-dependent epigenetic modifications in hepatic steatosis and BBR-mediated hepatoprotection.
In the current study, we aimed to determine the role of SETD2 in the effects of BBR on hepatic lipid metabolism using a cell model of hepatic steatosis. Our results confirmed the downregulation of SETD2 in both mouse and cell models of NAFL, and indicated that the upregulation of SETD2 under BBR treatment was compensatory, in that its inactivation abolished the hepatoprotective effects of BBR. These findings not only for the first time illustrates a key role of histone methylation in the regulatory mechanism of BBR against hepatic steatosis, but also provides a new therapeutic target for NAFL. We present the following article in accordance with the ARRIVE reporting checklist (available at https://atm.amegroups.com/article/view/10.21037/atm-22-1753/rc).
Methods
Reagents and antibodies
BBR (CAS: 633-65-8) was purchased from Sangon Biotech. Rabbit anti-SETD2 antibody (80290s), rabbit anti-H3 lysine 36 trimethylation antibody (8173S), and rabbit GAPDH (#AC006) were provided by Cell Signaling Technology (MA, USA).
Animal model of NAFL
Six-week-old male C57BL/6 mice (Shanghai SLAC Laboratory Animal Company) were divided into groups using a random number table. Mice (n=3) were fed by a high-fat, high-sucrose (HFHS) diet containing 40% carbohydrate, 40% fat, and 20% protein for 5 weeks, while BBR (5 mg/kg/day, n=3, or 10 mg/kg/day, n=3) or vehicle [phosphate buffered saline (PBS), n=3] was administered through intraperitoneal (i.p.) injection once per day. All animals were housed at a steady room temperature under a 12:12 hour light/dark cycle and were permitted free access to a certified chow diet and water.
The process for animal experiments was approved and conducted in the experimental animal center of Longhua Hospital, Shanghai University of Traditional Chinese Medicine (No. LHERAW-19004). All surgeries were rigidly performed in accordance with globally recognized and institutional guidelines for the care and use of animals.
Histological analysis
Livers from the mice were fixed in 4% paraformaldehyde and embedded in paraffin wax. Paraffin sections (5-µm thickness) were fixed on glass slides for immunohistochemistry. For evaluating hepatic steatosis, the liver was microdissected with scissors, put in a screw-cap tube, and frozen immediately in liquid nitrogen. The sections (8-µm thickness) cut in a cryostat at −20 ℃ were stained with Oil Red O following the manufacturer’s instructions.
Cell culture and treatment
Human HepG2 cells (American Type Cell Culture) were cultured in DMEM/L medium (Sigma, USA) containing 10% fetal bovine serum (FBS) (Sigma, USA) and 1% penicillin/streptomycin (Gibco, USA) at 37 ℃ with 5% CO2. To establish the model of steatosis, serum-free DMEM was used to incubate the HepG2 cells for 12 hours, then the medium was exchanged to DMEM containing 100 µM palmitate, without or with BBR (10 or 20 µM), for an additional 24 hours. The influence of BBR on cell viability was determined with the Cell Counting Kit-8 (CCK8) assay.
Luciferase reporter assay
The reporter constructs consisted of the SETD2 promoter sequence. The segments of interest in the SETD2 promoter region were amplified utilizing polymerase chain reaction (PCR) and cloned in sense orientation into the Xho I and Hind III sites of the pGL4.17 vector (Promega). To detect the BBR induction of different constructs, HepG2 cells were incubated with 20 µM BBR or vehicle in DMEM medium without FBS 6 hours after transfection. Cells were then harvested 24 hours later, and the luciferase activity was detected as relative luminescence units (RLUs) using the Luciferase Assay System (Promega, Madison, WI, USA).
Flow cytometry
The Annexin V-FITC/PI Apoptosis Detection Kit (BioLegend, CA, USA) was used to stain cells according to the manufacturer’s instructions, and a CytExpert flow cytometer (Beckman Coulter, USA) was used to count the percentage of apoptotic cells.
Cell transfection
HepG2 cells were seeded in 6-well plates and transfected either with scrambled siRNA or SETD2 siRNA (25 ng) for 36 hours using 6 L of Lipofectamine 3000 Reagent (Invitrogen, USA). The sequence of siRNAs against SETD2 was as follows: si-SETD2, 5'-CCGACCCCTGAGCAAAGATT-3'.
Oil Red O staining
Human HepG2 cells were fixed with 10% paraformaldehyde for 30 minutes, and then stained with Oil Red O dye solution (Sigma-Aldrich, USA) for another 30 minutes. After washing with 60% isopropanol for 10 minutes, a microplate reader was used to quantify the steatosis of HepG2 cells by measuring absorbance at 510 nm wavelength.
Triglycerides measurement
Triglycerides were extracted with chloroform/methanol (2:1 v/v) and dried in the chemical hood. Then, 1% Triton X-100-ethol was added to dissolve the triglycerides, and then the Triglyceride Reagent Kit (Nanjing Jiancheng Bioengineering Institute) was used to measure triglyceride concentration.
Quantitative real-time PCR
The TRIzol method was utilized to isolate total RNA from cells according to the manufacturer’s specifications (Sigma, USA). Next, the Reverse Transcription Reagent Kit with genomic DNAeraser (Takala, Tokyo, Japan) transformed the total RNA into complementary DNA (cDNA). Quantitative real-time PCR was performed with an Applied Biosystems 7500 system (Applied Biosystems, USA) utilizing SYBR Green Premix Ex Taq (Takara, Tokyo, Japan).
Western blotting
Proteins were extracted from the cell pellet by RIPA buffer comprised of protease and phosphatase inhibitors. The concentration of the extracted proteins was measured using the BCA Protein Quantitative Analysis Kit (Thermo, MA, USA, China). A total of 20 µg lysates were loaded onto sodium dodecyl sulfate-polyacrylamide gel electrophoresis (SDS-PAGE) gels and transferred to nitrocellulose (NC) membranes (Sigma, USA). The membranes were blocked with 5% skim milk for 2 hours, and subsequently incubated with primary antibodies overnight. After incubation with horseradish peroxidase (HRP)-conjugated secondary antibodies for 3 hours, protein bands were detected with Immobilon Western Chemiluminescent HRP Substrate (Beyotime Biotechnology, China). Densitometric quantification was carried out using ImageJ software version 1.46r (ImageJ, USA).
Statistical analysis
Total data were expressed as mean ± standard error of the mean (SEM). Unpaired two-tailed t-test or one-way analysis of variance (ANOVA) was performed to analyze the significance between 2 groups or among numerous groups. P<0.05 was considered to be statistically significant.
Results
BBR treatment alleviates hepatic steatosis
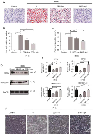
To demonstrate the protective effect of BBR on hepatic steatosis, mice were fed with a HFHS diet (n=3) for 5 weeks, and in the meantime, low (5 mg/kg/day, n=3) and high doses (10 mg/kg/day, n=3) of BBR or vehicle (PBS, n=3) were administered through i.p. injection once a day (Figure 1A-1F). In mice given a HFHS diet, the content of lipid droplets was obviously lower in livers with low- and high-dose BBR treatment, as shown by the photomicrographs of Oil Red O staining (Figure 1A) and the measurement of triglycerides (Figure 1B). When high-dose BBR was used, circulating triglycerides significantly decreased (Figure 1C). These findings suggest a dose-dependent effect of BBR on hepatic steatosis and systemic lipid metabolism.
To further confirm whether BBR directly counteracts steatosis of hepatocytes by metabolic challenge, the human HepG2 hepatocyte cell line was exposed to palmitate (100 µM) with or without BBR. Firstly, we assessed the potential impact of BBR on hepatocyte viability. At the range of 1 to 20 µM, BBR did not significantly affect the viability of HepG2 cells, but BBR at 30 µM demonstrated a toxic effect (Figure 2A). This scenario was supported by the apoptosis assay (Figure 2B). Thus, we used 10 or 20 µM BBR to analyze its function against hepatic lipogenesis. Treatment of steatotic HepG2 cells with BBR at 10 or 20 µM obviously reduced the accumulation of lipid droplets induced by palmitate, as demonstrated by quantitative analysis of Oil Red O staining (Figure 3A) and intracellular triglyceride content (Figure 3B). Collectively, these results demonstrate that BBR confers resistance to hepatocyte steatosis.
BBR treatment transcriptionally activates SETD2 in steatotic hepatocytes
We further investigated whether BBR influences SETD2 activity and the potential underlying mechanism. In both HFHS-fed mouse livers (Figure 1D-1F) and HepG2 cells, the protein and mRNA levels of SETD2 and the downstream target trimethylation of lysine 36 on histone 3 (H3K36me3) were significantly downregulated compared to those in the corresponding controls (Figure 4A,4B). BBR treatment increased the expression of SETD2 and H3K36me3 at the transcriptional level under basal conditions (Figure 4A,4C). In HepG2 cells exposed to high palmitate, BBR administration also elevated the protein and mRNA expression of SETD2 and H3K36me3 (Figure 4D,4E). These results demonstrate the impact of the transcriptional regulation of BBR on SETD2 expression and activity.
SETD2 mediates the hepatoprotection of BBR against steatosis
Finally, we examined whether SETD2 mediates the hepatoprotection of BBR. We found that knockdown of SETD2 significantly increased the storage of lipid droplets in HepG2 cells exposed to palmitate, as detected by Oil Red O staining and triglyceride content (Figure 5A,5B). Moreover, in the presence of SETD2 knockdown, BBR treatment could not effectively reduce the generation of lipid droplets induced by palmitate challenge in HepG2 cells (Figure 5A,5B). Thus, SETD2 acts as a critical mediator for BBR to combat hepatic steatosis.
Discussion
The epigenetic mechanism of BBR in improving hepatic steatosis remains unknown. Our results revealed that BBR activated SETD2 and attenuated the generation of lipid droplets in hepatocytes. Importantly, SETD2 inactivation abolished the hepatoprotective effects of BBR, highlighting SETD2 as a crucial mediator. The modulation of BBR on SETD2 activity was demonstrated at the transcriptional level, underscoring the pleiotropic actions of BBR.
The anti-steatosis effect of BBR in hepatocytes has been documented in humans, mice, rats, hamsters, and fish (10,17-20), and in in vitro studies with normal human liver cells, primary mouse hepatocytes, and grass carp hepatocytes (21-23). In this study, we confirmed the hepatoprotective effects of BBR in a human liver cell line, namely HepG2 cells.
STED2 can inhibit the storage of hepatic triglyceride in NAFL. A previous study has suggested the potential importance of STED2 in the development of NAFL in a different model of metabolic disorders (16), despite the lack of direct causality. In the current study, our data showed the downregulation of SETD2 in both mouse livers and HepG2 cells after metabolic challenge. Importantly, we identified that knockdown of SETD2 promotes the accumulation of lipid droplets in HepG2 cells. It is consistent with a recent report that a higher content of hepatic triglycerides and liver cancer were observed in liver-specific SETD2 knockout mice (15). The potential mechanism of above phenomenon are the decreased expression of cholesterol efflux genes and c-Jun/activator protein 1 activation (15).
Our evidence also suggests a potential mechanism underlying the regulation of BBR on SETD2 activity. First, the transcriptional upregulation of SETD2 by BBR was identified in intact hepatocytes. Second, promoter activity analysis confirmed this finding. Interestingly, the SETD2 downstream target H3K36me3 was also transcriptionally regulated by BBR, underscoring the dual control of BBR on SETD2 and its target.
In this study, we focused on the role of SETD2 in BBR-mediated hepatoprotection. In regards to the regulatory molecular network of SETD2 in the steatosis of hepatocytes, it seems plausible that lipogenesis-related genes are potential targets of the SETD2 signaling pathway, as previously reported (15). Moreover, to confirm the role of SETD2 in the anti-NAFL mechanism of BBR, using hepatocyte-specific SETD2 knockout mice is still required.
It is worthy to investigate in the future that whether histone demethylases, Jumonji domain containing (JMJD)-1C and plant homeodomain finger protein 2 (PHF2), participate in the anti-NAFL mechanism of BBR. Knockout of JMJD1C in mice lowered lipid accumulation in liver, whereas its overexpression contributed to hepatic lipogenesis (24). Increased expression of PHF2 also caused steatosis of liver in mice (25).
In conclusion, our findings suggest a critical role of SETD2 in the anti-NAFL effect of BBR. Pharmacological activation of SETD2 could be a novel anti-NAFL therapy.
Acknowledgments
Funding: This work was supported by the Traditional Chinese Medicine Discipline Program of Shanghai University of Traditional Chinese Medicine (grant No. Y1534).
Footnote
Reporting Checklist: The authors have completed the ARRIVE reporting checklist. Available at https://atm.amegroups.com/article/view/10.21037/atm-22-1753/rc
Data Sharing Statement: Available at https://atm.amegroups.com/article/view/10.21037/atm-22-1753/dss
Conflicts of Interest: All authors have completed the ICMJE uniform disclosure form (available at https://atm.amegroups.com/article/view/10.21037/atm-22-1753/coif). The authors have no conflicts of interest to declare.
Ethical Statement:
Open Access Statement: This is an Open Access article distributed in accordance with the Creative Commons Attribution-NonCommercial-NoDerivs 4.0 International License (CC BY-NC-ND 4.0), which permits the non-commercial replication and distribution of the article with the strict proviso that no changes or edits are made and the original work is properly cited (including links to both the formal publication through the relevant DOI and the license). See: https://creativecommons.org/licenses/by-nc-nd/4.0/.
References
- Hardy T, Oakley F, Anstee QM, et al. Nonalcoholic Fatty Liver Disease: Pathogenesis and Disease Spectrum. Annu Rev Pathol 2016;11:451-96. [Crossref] [PubMed]
- Fartoux L, Chazouillères O, Wendum D, et al. Impact of steatosis on progression of fibrosis in patients with mild hepatitis C. Hepatology 2005;41:82-7. [Crossref] [PubMed]
- Singh S, Allen AM, Wang Z, et al. Fibrosis progression in nonalcoholic fatty liver vs nonalcoholic steatohepatitis: a systematic review and meta-analysis of paired-biopsy studies. Clin Gastroenterol Hepatol 2015;13:643-54.e1-9; quiz e39-40.
- Korenblat KM, Fabbrini E, Mohammed BS, et al. Liver, muscle, and adipose tissue insulin action is directly related to intrahepatic triglyceride content in obese subjects. Gastroenterology 2008;134:1369-75. [Crossref] [PubMed]
- Chalasani N, Younossi Z, Lavine JE, et al. The diagnosis and management of nonalcoholic fatty liver disease: Practice guidance from the American Association for the Study of Liver Diseases. Hepatology 2018;67:328-57. [Crossref] [PubMed]
- Shi KQ, Fan YC, Liu WY, et al. Traditional Chinese medicines benefit to nonalcoholic fatty liver disease: a systematic review and meta-analysis. Mol Biol Rep 2012;39:9715-22. [Crossref] [PubMed]
- Parafati M, Lascala A, Morittu VM, et al. Bergamot polyphenol fraction prevents nonalcoholic fatty liver disease via stimulation of lipophagy in cafeteria diet-induced rat model of metabolic syndrome. J Nutr Biochem 2015;26:938-48. [Crossref] [PubMed]
- Tillhon M, Guamán Ortiz LM, Lombardi P, et al. Berberine: new perspectives for old remedies. Biochem Pharmacol 2012;84:1260-7. [Crossref] [PubMed]
- Birdsall TC, Kelly GS. Berberine: Therapeutic potential of an alkaloid found in several medicinal plants. Altern Med Rev 1997;2:94-103.
- Yan HM, Xia MF, Wang Y, et al. Efficacy of Berberine in Patients with Non-Alcoholic Fatty Liver Disease. PLoS One 2015;10:e0134172. [Crossref] [PubMed]
- Chang X, Yan H, Fei J, et al. Berberine reduces methylation of the MTTP promoter and alleviates fatty liver induced by a high-fat diet in rats. J Lipid Res 2010;51:2504-15. [Crossref] [PubMed]
- Zhou M, Deng Y, Liu M, et al. The pharmacological activity of berberine, a review for liver protection. Eur J Pharmacol 2021;890:173655. [Crossref] [PubMed]
- Shan MY, Dai Y, Ren XD, et al. Berberine mitigates nonalcoholic hepatic steatosis by downregulating SIRT1-FoxO1-SREBP2 pathway for cholesterol synthesis. J Integr Med 2021;19:545-54. [Crossref] [PubMed]
- Sodum N, Kumar G, Bojja SL, et al. Epigenetics in NAFLD/NASH: Targets and therapy. Pharmacol Res 2021;167:105484. [Crossref] [PubMed]
- Li XJ, Li QL, Ju LG, et al. Deficiency of Histone Methyltransferase SET Domain-Containing 2 in Liver Leads to Abnormal Lipid Metabolism and HCC. Hepatology 2021;73:1797-815. [Crossref] [PubMed]
- Wu YS, Chen YT, Bao YT, et al. Identification and Verification of Potential Therapeutic Target Genes in Berberine-Treated Zucker Diabetic Fatty Rats through Bioinformatics Analysis. PLoS One 2016;11:e0166378. [Crossref] [PubMed]
- Zhu X, Bian H, Wang L, et al. Berberine attenuates nonalcoholic hepatic steatosis through the AMPK-SREBP-1c-SCD1 pathway. Free Radic Biol Med 2019;141:192-204. [Crossref] [PubMed]
- Zhang YP, Deng YJ, Tang KR, et al. Berberine Ameliorates High-Fat Diet-Induced Non-Alcoholic Fatty Liver Disease in Rats via Activation of SIRT3/AMPK/ACC Pathway. Curr Med Sci 2019;39:37-43. [Crossref] [PubMed]
- Brusq JM, Ancellin N, Grondin P, et al. Inhibition of lipid synthesis through activation of AMP kinase: an additional mechanism for the hypolipidemic effects of berberine. J Lipid Res 2006;47:1281-8. [Crossref] [PubMed]
- Zhou W, Rahimnejad S, Lu K, et al. Effects of berberine on growth, liver histology, and expression of lipid-related genes in blunt snout bream (Megalobrama amblycephala) fed high-fat diets. Fish Physiol Biochem 2019;45:83-91. [Crossref] [PubMed]
- Li Z, Jiang JD, Kong WJ. Berberine up-regulates hepatic low-density lipoprotein receptor through Ras-independent but AMP-activated protein kinase-dependent Raf-1 activation. Biol Pharm Bull 2014;37:1766-75. [Crossref] [PubMed]
- Zhou F, Bai M, Zhang Y, et al. Berberine-induced activation of AMPK increases hepatic FGF21 expression via NUR77. Biochem Biophys Res Commun 2018;495:1936-41. [Crossref] [PubMed]
- Yang SS, Yu CB, Luo Z, et al. Berberine attenuates sodium palmitate-induced lipid accumulation, oxidative stress and apoptosis in grass carp(Ctenopharyngodon idella)hepatocyte in vitro. Fish Shellfish Immunol 2019;88:518-27. [Crossref] [PubMed]
- Viscarra JA, Wang Y, Nguyen HP, et al. Histone demethylase JMJD1C is phosphorylated by mTOR to activate de novo lipogenesis. Nat Commun 2020;11:796. [Crossref] [PubMed]
- Bricambert J, Alves-Guerra MC, Esteves P, et al. The histone demethylase Phf2 acts as a molecular checkpoint to prevent NAFLD progression during obesity. Nat Commun 2018;9:2092. [Crossref] [PubMed]
(English Language Editor: C. Betlazar-Maseh)

