The removal of floating right heart thrombi and pulmonary embolus using AngioJet device and venoarterial extracorporeal membrane oxygenation: a case report
Introduction
Floating right heart thrombi (FRHTS), known as thrombi in transit, are usually located in the atrium or ventricle, represent a serious form of thromboembolism (1,2), and typically occur in patients with pulmonary embolism (PE). Several studies have shown that patients with right heart thrombi (RiHT) have higher mortality than those without RiHT, and the mortality rate is 19–45% (3-5). The current treatments for patients with RiHT include anticoagulation, systemic thrombolysis, catheter directed interventions, and surgical embolectomy; however, there is no recommendation on the optimal therapeutic approach (6). Here, we report a case with right atrial thrombus and pulmonary embolus who refused to accept the thrombolysis or surgical embolectomy. Transthoracic echocardiography (TTE) confirmed the ineffectiveness of extracorporeal membrane oxygenation (ECMO) support combined with anticoagulation therapy. The patient finally accepted percutaneous thrombectomy. However, during the operation, intraoperative TTE confirmed that there was no mass in the right heart, and further pulmonary arteriography showed there was a large round filling defect near the main pulmonary artery on the left main branch, and an exfoliated right atrial thrombus was considered. The case was successfully treated by using AngioJet device (Boston Scientific, Marlborough, MA, USA) and venoarterial ECMO (VA-ECMO).
Here, we report the feasibility and efficacy of AngioJet device and VA-ECMO in the treatment of the RiHT and PE, especially for cases who are reluctant to accept thrombolysis or surgical embolectomy. As far as we know, most published reports on RiHT are individual cases or uncontrolled retrospective case series. And in these cases, ECMO is usually used as a support strategy during the anticoagulation, thrombolytics or surgical embolectomy. And there is no report of cases with RiHT floating into the main pulmonary branch during the intervention with AngioJet combined with ECMO. We present the following case in according with the CARE reporting checklist (available at https://atm.amegroups.com/article/view/10.21037/atm-22-1542/rc).
Case presentation
A 65-year-old man was admitted to the Taizhou Hospital of Zhejiang Province on 6 September, 2021 with chest tightness and chest pain for 1 day, and fainting 8.5 hours before presentation. The patient had a history of radical resection of colon cancer 1 month prior. He had developed chest tightness 1 day ago, accompanied by stabbing pain in the chest area when inhaling, the symptoms continued without attenuation and treatment. He had experienced an episode of syncope 8.5 hours ago, and woke up after a few seconds. With the suspicion of PE, he was referred to the local hospital where he underwent pulmonary computed tomography angiography (CTA) scan. The result confirmed a massive PE, 5,000 u low molecular weight heparin was subsequently administrated, and the patient was transferred to our hospital (Figure 1).
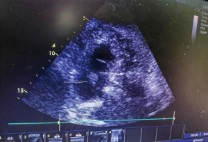
On arrival in the emergency department of our hospital, the patient had a blood pressure of 71/46 mmHg, pulse of 135 beats/min, respiratory rate of 34 breaths/min, and a warm, swollen right lower extremity. Other physical findings were unremarkable. The patient was diagnosed with massive PE with hypotension and was immediately maintained with epinephrine. TTE showed an enlarged right atrium and right ventricle, with a floating right atrial mass of 2.7 cm × 2.6 cm, prolapsing through the tricuspid valve during diastole (Figure 2). Laboratory studies showed white blood cell counts of 14,600/µL, hemoglobin of 10.9 g/dL, hematocrit of 32.1%, platelet count of 94,000/µL, cardiac troponin I level of 5.03 ng/mL, brain natriuretic peptide level of 44 pg/mL, and D-dimer level of more than 20.00 mg/L.
The PE response team (PERT), which involved a cardiologist, radiologist, cardio-thoracic surgeon, vascular surgeon, and radiologist, determined to use VA-ECMO to maintain the circulation and surgical embolectomy of the right atrial mass and pulmonary embolus. Considering the recent history of radical colon cancer resection and the related mortality of the surgical embolectomy, the patient refused to accept the surgical embolectomy. Thus, he received VA-ECMO to restore the circulation and unload the right ventricle and intravenous administration of heparin (Figure 1).
After 6 days of the support of ECMO and anticoagulation, the ECMO could not be weaned off, and TTE showed the persistent right atrial mass and severe pulmonary hypertension (Figure 1). In consideration of the ineffectiveness of ECMO support combined with anticoagulation, a discussion was held by the PERT; open-heart surgery was recommended, but the patient and his family members continued to refuse the open-heart surgery. On account of a previous report of successfully using of percutaneous thrombectomy to treat the right atrial mass, the patient and his family expressed willingness to receive the treatment of percutaneous thrombectomy (7). The patient was then referred to the digital subtraction angiography (DSA) room. During the angiography, no right atrial filling defect was found, and the intraoperative transthoracic echocardiogram confirmed the disappearance of the right atrial mass. Further pulmonary arteriography revealed embolisms in the main pulmonary arteries on both sides. There was a large round filling defect near the main pulmonary artery on the left main branch, and the exfoliated right atrial thrombus was considered (Figure 3). As the patient had a history of hypotension and elevated cardiac troponin I, a massive PE was diagnosed.
The AngioJet device was used to spray thrombolytics directly into the pulmonary arteries and entrain thrombi into the body of the catheter. However, sinus bradycardia and hypotension occurred when treating the main branches of the right pulmonary artery; so the AngioJet was withdrawn. After the heart rhythm and blood pressure were recovered, a 5-F pigtail catheter was rotated back and forth through the thrombus of the main branches of the right pulmonary artery except the right upper pulmonary artery branch (7).
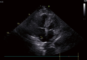
At 2 days after treatment, transthoracic echocardiogram demonstrated that the pulmonary artery pressure had decreased to 60 mmHg and there was no right atrial mass, thus the ECMO was weaned off (Figure 4). Considering the risk of the right lower extremity deep venous thrombosis leading to the PE again, a vena cava filter was implanted. The patient was discharged from the hospital in good condition, receiving warfarin anticoagulation therapy for 5 days following the vena cava filter (Figure 1). After another 25 days, the vena cava filter was removed and the patient continued to receive the warfarin with the dose of 3.0 mg per day to maintain the international normalized ratio (INR) between 2.0 and 3.0. And the course of treatment should be at least of 6 months (Figures 1,4,5).
All procedures performed in this study were in accordance with the ethical standards of the institutional and/or national research committee(s) and with the Helsinki Declaration (as revised in 2013). Written informed consent was obtained from the patient for publication of this case report and accompanying images. A copy of the written consent is available for review by the editorial office of this journal.
Discussion
To our knowledge, this is the first report to show the feasibility and efficacy of AngioJet and ECMO for the treatment of a patient with a RiHT floating to the pulmonary artery combined with massive PE. Our findings provide a new treatment option for patients in similar situation or refusing to accept the treatment of thrombolysis or surgical embolectomy.
FRHTS are known as thrombi in transit, usually located in the atrium or ventricle (8). They usually occur in patients with suspected PE. Some autopsy studies have found that the incidence ranges from 3% to 12% in patients with pulmonary embolus; but the true incidence may be underestimated on account of the shortcomings of the standard dissection technique in autopsy and the lower sensitivity of TTE when compared with the trans-esophageal echocardiography (1,2,9). Several studies have shown that patients with RiHT have higher mortality than those without RiHT. The mortality rate is of RiHT 19–45% (3-5), and those patients usually have right heart failure and a history of shock (8).
TTE is commonly the first diagnostic tool used for detecting RiHT. The European Working Group on Echocardiography described a morphological classification of the RiHT in 1989. Type A thrombi are the most common type, with serpiginous worm-like shapes and high mobility, and thought to arise from thrombi within the lower extremity veins. Type B thrombi are non-mobile, and with ovoid shape, and thought to form in situ in patients with underlying cardiac abnormalities. Type C thrombi share some characteristics with types A and B, and have a similar appearance to myxomas but are highly mobile (10).
The current treatments for patients with RiHT include anticoagulation, systemic thrombolysis, catheter directed interventions, and surgical embolectomy. There is currently no recommendation on the optimal therapeutic approach. The treatment options are widely dependent on individual patient characteristics and local expertise (6). Patients with FRHTS have high mortality and need rapid treatment. A pooled analysis found that anticoagulation therapy was insufficient, while thrombolysis and surgical embolectomy showed better results (11). In the PEITHO randomized multicenter clinical trial, anticoagulation combined with systemically administered tenecteplase showed a lower rate of the death or hemodynamic deterioration in patients with intermediate-risk PE than those treated solely with anticoagulation. There was a significant rate of extra-cranial and intracranial bleeding in the anticoagulation combined with tenecteplase group (12). In the MOPETT trial, the effectiveness and safety of the half dose thrombolytic was compared with full dose thrombolytic therapy. It was found that half dose thrombolytic had similar efficacy in the terms of pulmonary pressure reductions, and no increased bleeding When continuing with parenteral anticoagulation. When using local thrombolytic delivery such as a mechanical intervention, they may provide synergistic benefits (13).
Although VA-ECMO could guarantee blood oxygenation, end-organ perfusion for unstable patients or cardiac arrest victims, and provide an important time window for the further treatments, it has several drawbacks including bleeding, vessel injury, hemolysis, cerebrovascular events, and septic complications (14-16). Without high quality randomized evidence, there has been no definite consensus on the use of VA-ECMO for patients with high-risk PE (17). It is not clear which group of patients would benefit the most from VA-ECMO, and in which situations it is not a suitable treatment option. The European Society of Cardiology (ESC) guidelines recommended the use of VA-ECMO in patients presenting with shock or cardiac arrest in combination with surgical embolectomy or catheter-directed reperfusion treatment with a low grade (II b-C) (18).
In this case, the patient was found to have hypotension and sinus tachycardia, so the PERT used the VA-ECMO as a bridge to the further treatment. As TTE revealed a persistent right atrial mass and VA-ECMO could not be weaned off, percutaneous intervention was recommended to the patient. However, during the intervention, intraoperative transthoracic echocardiogram confirmed the disappearance of the right atrial mass and further pulmonary arteriography found a large round filling defect near the main pulmonary artery on the left main branch, and the exfoliated right atrial thrombus was considered. Thus, the AngioJet device was used to spray urokinase directly into the pulmonary arteries and entrain the thrombus into the body of the catheter. However, sinus bradycardia and hypotension occurred when treating the main branches of the right pulmonary artery. Thanks to the VA-ECMO, heart rhythm and blood pressure were recovered after withdrawal of the AngioJet. A 5-F pigtail catheter was rotated back and forth through the thrombus of the main branches of the right pulmonary artery except the right upper pulmonary artery branch. At 2 days after the treatment, TTE showed the pulmonary artery pressure decreased to 60 mmHg and the ECMO was weaned off.
This study has several limitations. First, there has been no recommendation on the optimal therapeutic approach, the treatment options are widely dependent on local expertise and patient preference. Therefore, the selected intervention might not have been the best therapeutic option. Second, the best time for the intervention may have been delayed, as the intervention was performed 6 days later, after the trans-thoracic echocardiogram confirmed the anticoagulation was ineffective. Third, there was not a valid comparator of a high-risk PE patient not treated with ECMO. However, this study found that anticoagulation is insufficient for patients diagnosed with RiHT combined with PE, which is similar with the previous study (15). Use of VA-ECMO could maintain the circulation for patient with high-risk PE, and could be used as bridge to further treatments such as anticoagulation, thrombolysis, and surgical embolectomy. It could only reduce the risk of sinus bradycardia and hypotension when using percutaneous thrombectomy devices.
Conclusions
Patients with PE combined with RiHT have higher mortality than those without RiHT, and require early intervention to reduce their risk of death. Anticoagulation therapy is insufficient; percutaneous intervention or surgical embolectomy may provide better results. For patients presenting with hypotension and tachycardia, VA-ECMO could be used to maintain the circulation, and the AngioJet device could be used as an alternative treatment for patients who are reluctant to receive thrombolysis or surgical embolectomy. As there is no recommendation on the optimal therapeutic approach, large-scale randomized controlled studies are still needed to determine the best treatment approach.
Acknowledgments
We thank the patient and our collaborators who participated in the study.
Funding: This study was sponsored by Taizhou Hospital of Zhejiang Province, Zhejiang University. The study was financially supported by the Taizhou Municipal Bureau of Science and Technology (Nos. 1701KY01 and 1901KY09) and the Zhejiang Province Public Welfare Application Technology Research Plan (No. LGF20H020007).
Footnote
Reporting Checklist: The authors have completed the CARE reporting checklist. Available at https://atm.amegroups.com/article/view/10.21037/atm-22-1542/rc
Conflicts of Interest: All authors have completed the ICMJE uniform disclosure form (available at https://atm.amegroups.com/article/view/10.21037/atm-22-1542/coif). All authors report that this study was sponsored by Taizhou Hospital of Zhejiang Province, Zhejiang University, and the study was financially supported by the Taizhou Municipal Bureau of Science, Technology (Nos. 1701KY01 and 1901KY09) and the Zhejiang Province Public Welfare Application Technology Research Plan (No. LGF20H020007). AngioJet device (Boston Scientific, Marlborough, MA, USA) is involved in the management of the case, but the authors have no intersection of interest with the device company. The authors have no other conflicts of interest to declare.
Ethical Statement: The authors are accountable for all aspects of the work in ensuring that questions related to the accuracy or integrity of any part of the work are appropriately investigated and resolved. All procedures performed in this study were in accordance with the ethical standards of the institutional and/or national research committee(s) and with the Helsinki Declaration (as revised in 2013). Written informed consent was obtained from the patient for publication of this case report and accompanying images. A copy of the written consent is available for review by the editorial office of this journal.
Open Access Statement: This is an Open Access article distributed in accordance with the Creative Commons Attribution-NonCommercial-NoDerivs 4.0 International License (CC BY-NC-ND 4.0), which permits the non-commercial replication and distribution of the article with the strict proviso that no changes or edits are made and the original work is properly cited (including links to both the formal publication through the relevant DOI and the license). See: https://creativecommons.org/licenses/by-nc-nd/4.0/.
References
- Chakko S, Richards F 3rd. Right-sided cardiac thrombi and pulmonary embolism. Am J Cardiol 1987;59:195-6. [Crossref] [PubMed]
- Diebold J, Löhrs U. Venous thrombosis and pulmonary embolism. A study of 5039 autopsies. Pathol Res Pract 1991;187:260-6. [Crossref] [PubMed]
- Rose PS, Punjabi NM, Pearse DB. Treatment of right heart thromboemboli. Chest 2002;121:806-14. [Crossref] [PubMed]
- Athappan G, Sengodan P, Chacko P, et al. Comparative efficacy of different modalities for treatment of right heart thrombi in transit: a pooled analysis. Vasc Med 2015;20:131-8. [Crossref] [PubMed]
- Barrios D, Rosa-Salazar V, Jiménez D, et al. Right heart thrombi in pulmonary embolism. Eur Respir J 2016;48:1377-85. [Crossref] [PubMed]
- Islam M, Nesheim D, Acquah S, et al. Right Heart Thrombi: Patient Outcomes by Treatment Modality and Predictors of Mortality: A Pooled Analysis. J Intensive Care Med 2019;34:930-7. [Crossref] [PubMed]
- Barjaktarevic I, Friedman O, Ishak C, et al. Catheter-directed clot fragmentation using the Cleaner™ device in a patient presenting with massive pulmonary embolism. J Radiol Case Rep 2014;8:30-6. [Crossref] [PubMed]
- Chartier L, Béra J, Delomez M, et al. Free-floating thrombi in the right heart: diagnosis, management, and prognostic indexes in 38 consecutive patients. Circulation 1999;99:2779-83. [Crossref] [PubMed]
- Lindblad B, Sternby NH, Bergqvist D. Incidence of venous thromboembolism verified by necropsy over 30 years. BMJ 1991;302:709-11. [Crossref] [PubMed]
- The European Cooperative Study on the clinical significance of right heart thrombi. European Working Group on Echocardiography. Eur Heart J 1989;10:1046-59. [Crossref] [PubMed]
- Burgos LM, Costabel JP, Galizia Brito V, et al. Floating right heart thrombi: A pooled analysis of cases reported over the past 10 years. Am J Emerg Med 2018;36:911-5. [Crossref] [PubMed]
- Meyer G, Vicaut E, Danays T, et al. Fibrinolysis for patients with intermediate-risk pulmonary embolism. N Engl J Med 2014;370:1402-11. [Crossref] [PubMed]
- Sharifi M, Bay C, Skrocki L, et al. Moderate pulmonary embolism treated with thrombolysis (from the "MOPETT" Trial). Am J Cardiol 2013;111:273-7. [Crossref] [PubMed]
- Sy E, Sklar MC, Lequier L, et al. Anticoagulation practices and the prevalence of major bleeding, thromboembolic events, and mortality in venoarterial extracorporeal membrane oxygenation: A systematic review and meta-analysis. J Crit Care 2017;39:87-96. [Crossref] [PubMed]
- Fux T, Holm M, Corbascio M, et al. VA-ECMO Support in Nonsurgical Patients With Refractory Cardiogenic Shock: Pre-Implant Outcome Predictors. Artif Organs 2019;43:132-41. [Crossref] [PubMed]
- Bréchot N, Hajage D, Kimmoun A, et al. Venoarterial extracorporeal membrane oxygenation to rescue sepsis-induced cardiogenic shock: a retrospective, multicentre, international cohort study. Lancet 2020;396:545-52. [Crossref] [PubMed]
- Karami M, Mandigers L, Miranda DDR, et al. Survival of patients with acute pulmonary embolism treated with venoarterial extracorporeal membrane oxygenation: A systematic review and meta-analysis. J Crit Care 2021;64:245-54. [Crossref] [PubMed]
- Konstantinides SV, Meyer G, Becattini C, et al. 2019 ESC Guidelines for the diagnosis and management of acute pulmonary embolism developed in collaboration with the European Respiratory Society (ERS). Eur Heart J 2020;41:543-603. [Crossref] [PubMed]
(English Language Editor: J. Jones)

