Unexpected detection of a submillimeter early hepatocellular carcinoma focus by intraoperative near-infrared fluorescence imaging—a case report
Introduction
Subsequent to the identification of sentinel lymph nodes by Kitai et al. (1) using indocyanine green (ICG), intraoperative near-infrared fluorescence (NIRF) imaging technology has emerged as a research focus for precise image-guided surgeries, enhancing our understanding of several domains of surgical oncology over the past decade. Numerous reported clinical cases, including detection of non-small cell lung cancers (2), thymic malignancies, neuroendocrine lung malignancies, pleural mesothelioma, thoracic metastases (3), and oral squamous cell carcinoma (4), have demonstrated that NIRF provides assistance to surgeons in three major ways: primary tumor localization, identification of positive surgical margins, and detection of remote satellite cancerous lesions.
Ultra-small residual tumors play a major role in determining patients’ postoperative prognosis and survival. Once the dysplastic lesion is larger than 2 cm, the chance of cure decreases significantly (5). Subcentimeter tumors have been previously identified in an ovarian cancer animal xenograft model (6) and in phase I clinical trials using second window ICG in thoracic cancer (7). To the best of our knowledge, herein we have reported for the first time the case of an early hepatocellular carcinoma (HCC) focus of about 430 µm that was visualized during real-time image-guided surgery. Regardless of using electromagnetic, ultrasonic, or fluorescence techniques, this submillimeter lesion was detected on the liver of a 55-year-old man diagnosed with a space-occupying neoplasm of the liver. The case is a part of a clinical study assessing the role of NIR imaging in guiding small-lesion detection during surgery. To date, the study has involved 13 patients (age range, 45–70 years) diagnosed with hepatocarcinoma.
HCC is the third leading cause of cancer-related death in the world (8). For patients with early-stage liver cancer, surgery is still the main treatment method. However, the recurrence of liver cancer after resection remains a major concern, with a 5-year recurrence rate greater than 70% (9), leading to poor prognosis. Even patients with small HCC (<3 cm) who undergo surgery have a 5-year survival rate of only 47–53% (10-12). Lack of effective intraoperative diagnosis is one of the key factors leading to residual tumor cells and postoperative recurrence. The NIRF imaging system has been widely used for the removal of sentinel lymph nodes during breast cancer surgery (13) and is currently used in the localization of tumors during liver cancer surgery (14,15). However, to the best of our knowledge, the role of the NIRF imaging system in detecting tiny lesions in normal liver tissue has not been reported elsewhere.
In this study, after using the NIRF imaging system to locate the primary tumor, we further examined the surrounding normal liver tissue and unexpectedly identified a tiny bright spot with a diameter of about 1 mm, which was excised under real-time NIRF imaging system guidance. Postoperative pathology confirmed that the tiny spot corresponded to an early HCC focus with a diameter of about 430 µm. These precancerous cells were not detected during preoperative imaging assessment. This finding confirmed the complementary role of NIRF imaging during liver cancer resection. Furthermore, NIRF could be used to perform intraoperative observation of the entire liver, identify tiny lesions, and reduce the postoperative recurrence rate. We present the following article in accordance with the CARE reporting checklist (available at https://atm.amegroups.com/article/view/10.21037/atm-22-2338/rc).
Case presentation
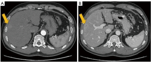
The 55-year-old man, was feeling pain and discomfort in the liver area for several months and had no obvious related medical history. The patient was infected by chronic hepatitis B virus for decades and has not received regular antiviral therapy. Through pre-hospital ultrasound and CT scans, he was preoperatively diagnosed with a space-occupying liver lesion. Before the operation, we carried out the regular antiviral treatment and liver protection drug treatment for the patient for nearly a week. Pre-surgery laboratory test results showed that at 77.9 ng/mL, the concentration of tumor marker alpha-fetoprotein (AFP) was higher than normal limits (Table 1). Liver function indexes were in normal range, whereas ICG retention at 15 minutes (ICG-R15) was 18.9%, which was beyond 15%, indicating that liver metabolism was impaired. Therefore, our assessment was that this patient could only undergo hepatic lobectomy with preoperative tumor localization by computed tomography (CT) (Figure 1). We used an ICG-NIRF imaging system endowed with a qualitative detection limit of 0.488 nM and a quantitative detection limit of 3.91 nM (Figure 2) to observe the tumor and attempt to identify any other tiny tumors in the residual liver. The patient, who had not previously undergone a surgery of this type, was first injected with ICG (0.577 mg/kg ICG) intravenously. However, due to the patient’s impaired metabolism, the surgery was rescheduled for 4 days after the ICG injection in order to obtain an optimal tumor-to-background ratio. The fluorescence signal that emitted from the liver surface could be detected through the NIRF system and could also be clearly recognized when the specimen was analyzed in vitro (Figure 3). After the clear lesion was removed, we observed no residual lesions during the operation. It may due to the shape of the liver cirrhosis nodules affected our judgment. We subsequently tested the residual liver surface with the NIRF system and observed a high signal point of about 1 mm in the right anterior lobe of the liver, which showed no differences from normal liver through naked-eye observation and palpation. In our previous case, no result showed the NIRF system can detect lesions smaller than 1cm, and due to the limitations of fluorescence technology, it is impossible to determine whether it was an inflammatory tissue, but the high intensity of fluorescence raised our suspicions. After excision, the specimen also sustainably expressed high fluorescence (Figure 4). Finally the histopathological examination revealed that this tiny fluorescent spot belong to a single focus of an early HCC (Figure 5). On the histopathological images, steatosis and Mallory-Denk bodies were identified. Meanwhile, multinucleation and nuclear atypia were also detected, displaying nuclear overlapping, size enlargement, and nuclear membrane distortion. The surgery lasted 235 minutes and intraoperative bleeding was 200 mL. The patient had good compliance and no discomfort was reported following the surgery. The follow-up of the patient was done through periodic CT scans and AFP-level testing to further assess the HCC prognosis. The patient’s liver function and AFP were close to normal before discharge. So far, no tumor recurrence has been found in the follow-up.
Table 1
| Laboratory tests | Results |
|---|---|
| ALT | 42.1 U/L |
| AST | 27.9 U/L |
| GGT | 27.2 U/L |
| AKP | 81.7 U/L |
| TBL | 16.6 μmol/L |
| DBL | 6.2 μmol/L |
| ALB | 42.2 g/L |
| AFP | 77.9 ng/mL |
| CEA | 2.42 ng/mL |
| CA125 | 10.20 ng/mL |
| CA19-9 | 24.14 ng/mL |
| CA72-4 | 0.9 ng/mL |
| CA242 | 2.93 ng/mL |
| ICGR15 | 18.9 |
ALT, alanine aminotransferase; AST, aspartate aminotransferase; GGT, gamma-glutamyl transpeptidase; AKP, alkaline phosphatase; TBL, total bilirubin; DBL, direct bilirubin; ALB, albumin; AFP, alpha-fetoprotein; CEA, carcinoembryonic antigen; CA125, carbohydrate antigen 125; CA19-9, carbohydrate antigen 19-9; CA72-4, carbohydrate antigen 72-4; CA242, carbohydrate antigen 242; ICGR15, indocyanine green retention rate at 15 minutes.
All procedures performed in this study were in accordance with the ethical standards of the institutional and/or national research committee(s) and with the Declaration of Helsinki (as revised in 2013). Written informed consent was obtained from the patient for publication of this case report and accompanying images. A copy of the written consent is available for review by the editorial office of this journal.
Discussion
Complete resection of a tumor depends on its precise location and the identification of small lesions by preoperative imaging. Subjective judgment of the surgeon used to be the main method during surgery to ensure a negative margin and the removal of small lesions. Unfortunately, about 40% patients have residual tumor cells during surgery (16). It has been shown that imaging tests before surgery, such as CT and MRI, were not suitable for the detection of micrometastases and nodules (<5 mm) (17) due to the infiltration of cancer tissues, lack of differentiation, nerve involvement, and complex veins. The tube system and others are based on the surgeon’s inspection and palpation, leading to a significant tumor residual rate (exceeding 50%) (18). Through the enhanced permeability and retention (EPR) effect of tumor tissue, fluorescent dyes can accumulate in tumor tissue, and the NIRF imaging system could provide high tumor-to-background signal ratio using large amounts of ICG, thereby helping surgeons to effectively localize tumors (19,20). However, despite recent advances in imaging modalities, about 3–17% of HCCs can only be detected by microscopic examination (21,22). Since it has been reported that tiny lesions lack effective blood vessels and EPR effect, the principle of fluorescence imaging of small lesions needs further investigation.
In this study, we discovered that the NIRF imaging system could detect a tiny early HCC focus, which may have been related to the ultra-high sensitivity of the detection instrument, the dose of the injected fluorescent dye, and the injection time. Even though the sampling size was small and the mechanism requires further research, this technology could effectively improve tumor clearance rate and reduce tumor recurrence, and thus should be implemented as a routine intraoperative detection method. The use of ICG in several NIR-guided oncological surgeries has shown promising results. Nevertheless, further comprehensive research and clinical experiments are required in order to understand the overall effects of ICG.
Conclusions
Our results strongly suggested that the ICG-NIRF imaging system should be used as a routine intraoperative detection method for liver cancer surgery in order to remove any residual tumor cells and tissue, hence minimizing further risk of remnant tumor regrowth.
Acknowledgments
Funding: This work was supported by grants from the State Commission of Science & Technology of China (Grant 2016YFC0104100), the Jiangsu Province Science & Technology Department (Grant BE2018698, BE 2018618, SBE2016750057), the Fundamental Research Funds for the Central University (Grant 021314380081), and the National Natural Science Foundation of China (Grant 81901843). YW acknowledges the “Jiangsu Specially-Appointed Professor” award. The funding body did not contribute directly in the collection, interpretation of clinical information, or preparation and writing of the manuscript.
Footnote
Reporting Checklist: The authors have completed the CARE reporting checklist. Available at https://atm.amegroups.com/article/view/10.21037/atm-22-2338/rc
Conflicts of Interest: All authors have completed the ICMJE uniform disclosure form (available at https://atm.amegroups.com/article/view/10.21037/atm-22-2338/coif). HC reports that he is the owner of Nanjing Nuoyuan Medical Devices Co., Ltd., which produced the ICG-NIRF imaging system. The other authors have no conflicts of interest to declare.
Ethical Statement: The authors are accountable for all aspects of the work in ensuring that questions related to the accuracy or integrity of any part of the work are appropriately investigated and resolved. All procedures performed in this study were in accordance with the ethical standards of the institutional and/or national research committee(s) and with the Declaration of Helsinki (as revised in 2013). Written informed consent was obtained from the patient for publication of this case report and accompanying images. A copy of the written consent is available for review by the editorial office of this journal.
Open Access Statement: This is an Open Access article distributed in accordance with the Creative Commons Attribution-NonCommercial-NoDerivs 4.0 International License (CC BY-NC-ND 4.0), which permits the non-commercial replication and distribution of the article with the strict proviso that no changes or edits are made and the original work is properly cited (including links to both the formal publication through the relevant DOI and the license). See: https://creativecommons.org/licenses/by-nc-nd/4.0/.
References
- Kitai T, Inomoto T, Miwa M, et al. Fluorescence navigation with indocyanine green for detecting sentinel lymph nodes in breast cancer. Breast Cancer 2005;12:211-5. [Crossref] [PubMed]
- Newton AD, Kennedy GT, Predina JD, et al. Intraoperative molecular imaging to identify lung adenocarcinomas. J Thorac Dis 2016;8:S697-704. [Crossref] [PubMed]
- Newton AD, Predina JD, Corbett CJ, et al. Optimization of Second Window Indocyanine Green for Intraoperative Near-Infrared Imaging of Thoracic Malignancy. J Am Coll Surg 2019;228:188-97. [Crossref] [PubMed]
- Pan J, Deng H, Hu S, et al. Real-time surveillance of surgical margins via ICG-based near-infrared fluorescence imaging in patients with OSCC. World J Surg Oncol 2020;18:96. [Crossref] [PubMed]
- Sherman M. Hepatocellular carcinoma: epidemiology, surveillance, and diagnosis. Semin Liver Dis 2010;30:3-16. [Crossref] [PubMed]
- Tanyi JL, Cory L, DeJesus E, et al. Intraoperative molecular imaging can identify sub-centimeter peritoneal implants during ovarian cancer cytoreductive surgery. European Journal of Gynaecological Oncology 2017;38:589-95.
- Newton AD, Predina JD, Nie S, et al. Intraoperative fluorescence imaging in thoracic surgery. J Surg Oncol 2018;118:344-55. [Crossref] [PubMed]
- Jemal A, Bray F, Center MM, et al. Global cancer statistics. CA Cancer J Clin 2011;61:69-90. [Crossref] [PubMed]
- Llovet JM, Schwartz M, Mazzaferro V. Resection and liver transplantation for hepatocellular carcinoma. Semin Liver Dis 2005;25:181-200. [Crossref] [PubMed]
- Fong ZV, Tanabe KK. The clinical management of hepatocellular carcinoma in the United States, Europe, and Asia: a comprehensive and evidence-based comparison and review. Cancer 2014;120:2824-38. [Crossref] [PubMed]
- Altekruse SF, McGlynn KA, Dickie LA, et al. Hepatocellular carcinoma confirmation, treatment, and survival in surveillance, epidemiology, and end results registries, 1992-2008. Hepatology 2012;55:476-82. [Crossref] [PubMed]
- Liu CY, Chen KF, Chen PJ. Treatment of Liver Cancer. Cold Spring Harb Perspect Med 2015;5:a021535. [Crossref] [PubMed]
- Wishart GC, Loh SW, Jones L, et al. A feasibility study (ICG-10) of indocyanine green (ICG) fluorescence mapping for sentinel lymph node detection in early breast cancer. Eur J Surg Oncol 2012;38:651-6. [Crossref] [PubMed]
- Rossi G, Tarasconi A, Baiocchi G, et al. Fluorescence guided surgery in liver tumors: applications and advantages. Acta Biomed 2018;89:135-40. [PubMed]
- Ishizawa T, Saiura A, Kokudo N. Clinical application of indocyanine green-fluorescence imaging during hepatectomy. Hepatobiliary Surg Nutr 2016;5:322-8. [Crossref] [PubMed]
- Aliperti LA, Predina JD, Vachani A, et al. Local and systemic recurrence is the Achilles heel of cancer surgery. Ann Surg Oncol 2011;18:603-7. [Crossref] [PubMed]
- van der Vorst JR, Hutteman M, Mieog JS, et al. Near-infrared fluorescence imaging of liver metastases in rats using indocyanine green. J Surg Res 2012;174:266-71. [Crossref] [PubMed]
- Burke K, Brown E. The Use of Second Harmonic Generation to Image the Extracellular Matrix During Tumor Progression. Intravital 2015;3:e984509. [Crossref] [PubMed]
- Zhang W, Hu Z, Tian J, et al. A narrative review of near-infrared fluorescence imaging in hepatectomy for hepatocellular carcinoma. Ann Transl Med 2021;9:171. [Crossref] [PubMed]
- Li Y, You Q, Wang Z, et al. A study on setting standards for near-infrared fluorescence-image guided surgery (NIRFGS) time lapse monitoring based on preoperative liver function assessment. Ann Transl Med 2022;10:96. [Crossref] [PubMed]
- Zhou J, Yang F, Jiang G, et al. Applications of indocyanine green based near-infrared fluorescence imaging in thoracic surgery. J Thorac Dis 2016;8:S738-43. [Crossref] [PubMed]
- Ishizawa T, Fukushima N, Shibahara J, et al. Real-time identification of liver cancers by using indocyanine green fluorescent imaging. Cancer 2009;115:2491-504. [Crossref] [PubMed]
(English Language Editor: A. Muijlwijk)

