The comparison of neuronavigation combined with CT three-dimensional angiography vs. CT angiography in the guidance of clipping treatment in distal intracranial aneurysm surgery: a retrospective clinical study
Introduction
Intracranial aneurysm due to intracranial vascular wall damage is the leading cause of intracranial hemorrhage, and is more likely to occur in people aged between 40 and 60 years old (1-3). Most intracranial aneurysms are located around the Wills ring, but a few are located deep in the lateral or longitudinal fissure pool or brain parenchyma, which are also known as distal aneurysms and account for about 1.5–9% of the total number of intracranial aneurysms. Due to their anatomical position, precise intraoperative localization of intracranial aneurysms is challenging, which increases the overall difficulty of surgery. Intraoperative localization is key to successful surgery for distal intracranial aneurysm.
Numerous technologies have been developed by scholars for this purpose, including neuronavigation, computed tomography (CT) three-dimensional angiography, and other technologies. A study has shown that neuronavigation can significantly improve the accuracy of intracranial aneurysm surgery and predict the position and orientation of the aneurysm in its parenchymal and vascular environment, which helps ensure the safety of surgery (4). CT three-dimensional angiography is also beneficial to improve the safety and accuracy of intracranial aneurysm surgery (5). However, there is a lack of research regarding whether neuronavigation or CT three-dimensional angiography is beneficial to improve the accuracy and safety of intracranial distal aneurysm surgery. Moreover, preoperative localization is more important owing to the fact that the distal intracranial aneurysm is not fixed.
Thus, there is a pressing need to develop the technique of positioning the distal intracranial aneurysm positioning both before and during surgery. The objective of this study is to explore the application value of neuronavigation combined with CT three-dimensional angiography in distal intracranial aneurysm surgery. We present the following article in accordance with the STROBE reporting checklist (available at https://atm.amegroups.com/article/view/10.21037/atm-22-1749/rc).
Methods
General Information
In total, 112 patients admitted to our hospital for intracranial distal aneurysm surgery were retrospectively collected and divided into an observation group (n=51) and a control group (n=61) according to the surgical method received by the patients. The observation group received clipping treatment based on neuronavigation combined with CT three-dimensional angiography, and the control group underwent clipping treatment under the guidance of CT angiography. The inclusion criteria were as follows: (I) patients with distal intracranial aneurysm; (II) Hunt-Hess grade (grade II–IV); (III) patients aged 18–65 years; (IV) those needing aneurysm rupture craniotomy; and (V) patients with complete clinical data. The exclusion criteria were as follows: (I) patients with other intracranial diseases; (II) those with serious underlying diseases; (III) patients with recurrence of intracranial aneurysms; and (IV) those with liver, kidney, heart, and lung insufficiency.
The study was conducted in accordance with the Declaration of Helsinki (as revised in 2013). This study was approved by the ethics committee of the Nanjing Drum Tower Hospital, The Affiliated Hospital of Nanjing University Medical School (No. 2021-0174). As this is a retrospective clinical study, the informed consent of patients was not required.
Methods of treatment
Control group
Neurosurgeons formulated surgical protocols and performed intracranial distal aneurysm clipping surgery based on the preoperative CT angiography results and combined with their own clinical experience.
Observation group
Neurosurgeons performed intracranial distal aneurysm clipping surgery based on neuronavigation combined with CT three-dimensional angiography.
Detailed method
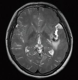
Preoperative CT three-dimensional angiography was performed, and the relevant original images were transferred to the Stealth Station. The three-dimensional images of the patient's skull, cerebral cortex, aneurysm, and other anatomical structures were then reconstructed, and the neurosurgeon designed the surgical plan based on the three-dimensional angiography. At the same time, the position was placed according to the lesion site during the operation. The incisions, bone flap ranges, and surgical paths were designed based on the location of the aneurysm shown by neuronavigation. The aneurysms were clipped intraoperatively under the guidance of neuronavigation. The fluorescence contrast confirmed that the aneurysm was not visible, and the surgery was concluded (Figures 1,2).
Observation data
Both groups of patients were observed for the following: (I) accuracy of localization and approach design; (II) duration of surgery and intraoperative bleeding volume; (III) Glasgow Outcome Scale (GOS) (6), National Institute of Health Stroke Scale (NIHSS) (7), and length of hospital stay; (IV) complications including intracranial hemorrhage, intracranial infection, lung infection, and lower extremity deep vein thrombosis; and (V) age, sex, location, tumor size, and Hunt-Hess grading.
Definitions
Accuracy of localization
The accuracy of the surgical incision localization was analyzed according to the length of the bone window from the edge of the adjacent lesions. A length of <1 cm was considered to indicate accurate localization.
Accuracy of approach design
The accuracy of approach design was assessed according to the degree of consistency between the actual surgical approach during surgery and the preoperative simulated approach.
GOS score
A score of 5 indicated recovery to a good and normal life, despite mild defects; a score of 4 denoted mild disability but can live independently and work under supervision; a score of 3 indicated severe disability, disabled, needing care in daily life; A score of 2 represented plant survival with only minimal response (for example, with the sleep/wake cycle, the eyes can be opened); and a score of 1 denoted death.
NIHSS
This score ranged from 0 to 42 points, with higher scores representing more serious nerve damage.
Statistical analysis
Data analysis for this study was performed using SPSS26.0 (IBM, USA). The measurement data included in this study were all in line with the normal distribution, and were expressed by the mean ± standard deviation. Differences between the two groups were analyzed by the independent sample t-test. The counting data was expressed as n (%), and differences between the two groups were analyzed using chi-square tests. The data was entered independently by two doctors, inconsistent data was verified by a third doctor.
Results
Comparison of general data between the two groups
There were no significant differences in terms of age, sex, aneurysm site, tumor height, tumor width, tumor length, Hunt-Hess grade, etc. between the two groups (P>0.05, Table 1).
Table 1
| Variables | Observation group (n=51) | Control group (n=61) | t/x2 value | P value |
|---|---|---|---|---|
| Age (years) | 48.74±7.43 | 48.03±8.52 | 0.465 | 0.643 |
| Gender | 0.097 | 0.756 | ||
| Male | 32 (62.75) | 40 (65.57) | ||
| Female | 19 (37.25) | 21 (34.43) | ||
| Location | 1.049 | 0.306 | ||
| Left | 38 (74.51) | 40 (65.57) | ||
| Right | 13 (25.49) | 21 (34.43) | ||
| Tumor height (mm) | 2.73±0.43 | 2.80±0.44 | 0.847 | 0.399 |
| Tumor width (mm) | 2.65±0.52 | 2.71±0.52 | 0.608 | 0.544 |
| Tumor length (mm) | 2.60±0.58 | 2.54±0.62 | 0.525 | 0.601 |
| Hunt-Hess grade | 0.323 | 0.851 | ||
| II | 13 (25.49) | 18 (29.51) | ||
| III | 19 (37.25) | 20 (32.79) | ||
| IV | 19 (37.25) | 23 (37.70) |
Comparison of the positioning and approach design accuracy between the two groups
As shown in Table 2, compared with the control group, the localization accuracy of patients in the observation group was significantly increased (94.12% vs. 78.69%, P=0.020), and the accuracy of approach design was markedly improved (90.20% vs. 72.13%, P=0.017).
Table 2
| Variables | Observation group (n=51) | Control group (n=61) | χ2 value | P value |
|---|---|---|---|---|
| Location | 5.400 | 0.020 | ||
| Accurate | 48 (94.12) | 48 (78.69) | ||
| Inaccurate | 3 (5.88) | 13 (21.31) | ||
| Approach design | 5.743 | 0.017 | ||
| Accurate | 46 (90.20) | 44 (72.13) | ||
| Inaccurate | 5 (9.80) | 17 (27.87) | ||
Comparison of intraoperative bleeding volume and operation time between the two groups
As shown in Table 3, there were no significant differences in intraoperative bleeding volume and operation time between the two groups (P>0.05).
Table 3
| Variables | Observation group (n=51) | Control group (n=61) | t value | P value |
|---|---|---|---|---|
| Intraoperative bleeding volume (mL) | 25.48±10.85 | 27.85±11.76 | 1.100 | 0.274 |
| Operation time (min) | 132.49±19.48 | 128.83±20.65 | 0.958 | 0.340 |
Comparison of the prognosis of patients in both groups
Compared with the control group, the length of hospital stay in the observation group was significantly reduced (8.12±2.12 vs. 8.99±1.87 d, P=0.023). There was no statistical difference in NIHSS scores between the two groups prior to treatment and at 3 days after treatment (P>0.05). Also, compared with the control group, the NIHSS scores were significantly reduced in the observation group at 28 days after surgery (4.10±2.48 vs. 6.30±3.20, P=0.000) (Figure 3). Moreover, compared with the control group, the duration of the hospital stay in the Observation group was shortened (8.12±2.12 vs. 8.99±1.87 d, P=0.023). There were no difference in GOS between the two groups (Table 4).
Table 4
| Variables | Observation group (n=51) | Control group (n=61) | t/χ2 value | P value |
|---|---|---|---|---|
| GOS score | 0.705 | 0.401 | ||
| 1–3 points | 1 (1.96) | 3 (4.92) | ||
| 4–5 points | 50 (98.04) | 58 (95.08) | ||
| Duration of hospital stay (days) | 8.12±2.12 | 8.99±1.87 | 2.307 | 0.023 |
GOS, Glasgow Outcome Scale.
Comparison of the postoperative complications between the two groups
There were no statistically significant postoperative complications between the two groups (P>0.05, Table 5).
Table 5
| Variables | Observation group (n=51) | Control group (n=61) | χ2 value | P value |
|---|---|---|---|---|
| Intracranial hemorrhage | 1 (1.96) | 2 (3.28) | 0.025 | 0.877 |
| Intracranial infection | 0 (0.00) | 1 (1.64) | 0.008 | 0.928 |
| Lung infection | 1 (1.96) | 3 (4.92) | 0.705 | 0.401 |
| Deep vein thrombosis | 2 (3.92) | 1 (1.64) | 0.555 | 0.456 |
Discussion
For patients requiring surgery for ruptured distal intracranial aneurysms, preoperative localization and the design of surgical pathways remain challenging. This is primarily caused by the lack of fixed anatomical position of the distal intracranial aneurysms, which are mostly found in the deep part of the lateral or longitudinal fissure pool or on the deep surface of the brain parenchyma (8). In this study, the application value of neuronavigation combined with CT three-dimensional angiography in intracranial distal aneurysm surgery was explored, and it was found that this method can significantly enhance the accuracy of localization and approach design in intracranial distal aneurysm surgery and improve the neurological function of patients.
Distal intracranial aneurysms are located at the distal end of the intracranial arteries, and owing to the fact that arterial vessels are small, distal intracranial aneurysms are generally small (often less than 5 mm). Accurate localization and approach design of small distal aneurysms is key to successful surgery, reducing intraoperative damage to nerve function and facilitating postoperative recovery. At present, neuronavigation has been widely used for the localization of intracranial tumors, and has achieved a better prognosis, greatly promoting the recovery of postoperative nerve function (9-12). A study of patients with intracranial aneurysms showed that neuronavigation increased the safety for surgery and the precise localization of aneurysms (13). Similar effects have been achieved in patients with distal intracranial aneurysms, where neuronavigation combined with intraoperative ultrasound can precisely localize distal aneurysms of the middle cerebral artery and improve patient prognosis (14).
However, the application of neuronavigation relies on a cranial Magnetic resonance imaging (MRI), which makes it difficult to pinpoint the exact location of small aneurysms. CT three-dimensional angiography makes up for the limitations of neuronavigation. Preoperative CT three-dimensional angiography reconstruction can reconstruct three-dimensional images of anatomical structures, such as the patient’s skull, cerebral cortex, and aneurysm. Neurosurgeons can design surgical protocols based on these three-dimensional images, which is conducive to improving the accuracy of positioning and optimizing the approach design. Furthermore, we can also continuously position the location in real time during the operation, which is favourable for the surgeon being able to protect the patient's nerve function intraoperatively. At present, CT three-dimensional angiography has also been widely used in patients with intracranial aneurysms, and has improved the positioning accuracy and enhanced the nerve function of patients (15-18). The above reports support the results of our study, which showed that neuronavigation combined with CT three-dimensional angiography can significantly improve the neurological function and shorten the hospital stay time in intracranial distal aneurysm surgery.
In summary, neuronavigation combined with CT three-dimensional angiography can improve the accuracy of localization and approach design in intracranial distal aneurysm surgery and enhance the nerve function of patients, and is therefore worth promoting.
Limitations
The main limitation of our study was that it was a retrospective clinical study with a low level of evidence. However, this study focused on the urgent problems that need to be resolved in clinics; namely, the precise localization and approach design for distal intracranial aneurysms. So far, we have not found that the use of neuronavigation combined with CT three-dimensional angiography in patients with distal intracranial aneurysms was reported, suggesting that we should explore the application of this technique in distal intracranial aneurysms. Therefore, large sample size, multi-centre, randomized controlled studies are urgently needed.
Acknowledgments
Funding: None.
Footnote
Reporting Checklist: The authors have completed the STROBE reporting checklist. Available at https://atm.amegroups.com/article/view/10.21037/atm-22-1749/rc
Data Sharing Statement: Available at https://atm.amegroups.com/article/view/10.21037/atm-22-1749/dss
Conflicts of Interest: All authors have completed the ICMJE uniform disclosure form (available at https://atm.amegroups.com/article/view/10.21037/atm-22-1749/coif). The authors have no conflicts of interest to declare.
Ethical Statement: The authors are accountable for all aspects of the work in ensuring that questions related to the accuracy or integrity of any part of the work are appropriately investigated and resolved. The study was conducted in accordance with the Declaration of Helsinki (as revised in 2013). This study was approved by the ethics committee of the Nanjing Drum Tower Hospital, The Affiliated Hospital of Nanjing University Medical School (No. 2021-0174). As this is a retrospective clinical study, the informed consent of patients was not required.
Open Access Statement: This is an Open Access article distributed in accordance with the Creative Commons Attribution-NonCommercial-NoDerivs 4.0 International License (CC BY-NC-ND 4.0), which permits the non-commercial replication and distribution of the article with the strict proviso that no changes or edits are made and the original work is properly cited (including links to both the formal publication through the relevant DOI and the license). See: https://creativecommons.org/licenses/by-nc-nd/4.0/.
References
- Świątnicki W, Szymański J, Szymańska A, et al. Predictors of Intraoperative Aneurysm Rupture, Aneurysm Remnant, and Brain Ischemia following Microsurgical Clipping of Intracranial Aneurysms: Single-Center, Retrospective Cohort Study. J Neurol Surg A Cent Eur Neurosurg 2021;82:410-6. [Crossref] [PubMed]
- Zhou J, Guo Q, Chen Y, et al. Irregular Pulsation of Intracranial Aneurysm Detected by Four-Dimensional CT Angiography and Associated With Small Aneurysm Rupture: A Single-Center Prospective Analysis. Front Neurol 2022;13:809286. [Crossref] [PubMed]
- You SH, Cho Y, Kim B, et al. Synthetic Time of Flight Magnetic Resonance Angiography Generation Model Based on Cycle-Consistent Generative Adversarial Network Using PETRA-MRA in the Patients With Treated Intracranial Aneurysm. J Magn Reson Imaging 2022; [Epub ahead of print]. [Crossref] [PubMed]
- Marinho P, Thines L, Verscheure L, et al. Recent advances in cerebrovascular simulation and neuronavigation for the optimization of intracranial aneurysm clipping. Comput Aided Surg 2012;17:47-55. [Crossref] [PubMed]
- D'Argento F, Pedicelli A, Ciardi C, et al. Intra- and inter-observer variability in intracranial aneurysm segmentation: comparison between CT angiography (semi-automated segmentation software stroke VCAR) and digital subtraction angiography (3D rotational angiography). Radiol Med 2021;126:484-93. [Crossref] [PubMed]
- Wilson L, Boase K, Nelson LD, et al. A Manual for the Glasgow Outcome Scale-Extended Interview. J Neurotrauma 2021;38:2435-46. [Crossref] [PubMed]
- Abe K, Hasegawa F, Nakajima R, et al. Severity by National Institute of Health Stroke Scale Score and Clinical Features of Stroke Patients with Patent Foramen Ovale Stroke and Atrial Fibrillation. J Clin Med 2021;10. [Crossref] [PubMed]
- Cavalcanti DD, Delavari N, Riina HA, et al. Stent-Assisted Coiling of a Sidewall Aneurysm of the Distal Middle Cerebral Artery: 2-Dimensional Operative Video. Oper Neurosurg (Hagerstown) 2020;20:E37-8. [Crossref] [PubMed]
- Asano K, Katayama K, Kakuta K, et al. Assessment of the Accuracy and Errors of Head-Up Display by an Optical Neuronavigation System in Brain Tumor Surgery. Oper Neurosurg (Hagerstown) 2017;13:23-35. [Crossref] [PubMed]
- Forster MT, Heindl N, Hattingen E, et al. Brain surface reformatted imaging (BSRI) for intraoperative neuronavigation in brain tumor surgery. Acta Neurochir (Wien) 2015;157:265-74; discussion 274. [Crossref] [PubMed]
- Konakondla S, Albers JA, Li X, et al. Maximizing Sacral Chordoma Resection by Precise 3-Dimensional Tumor Modeling in the Operating Room Using Intraoperative Computed Tomography Registration with Preoperative Magnetic Resonance Imaging Fusion and Intraoperative Neuronavigation: A Case Series. World Neurosurg 2019;125:e1125-31. [Crossref] [PubMed]
- Li Z, Wang M, Zhang L, et al. Neuronavigation-Guided Corticospinal Tract Mapping in Brainstem Tumor Surgery: Better Preservation of Motor Function. World Neurosurg 2018;116:e291-7. [Crossref] [PubMed]
- Stidd DA, Wewel J, Ghods AJ, et al. Frameless neuronavigation based only on 3D digital subtraction angiography using surface-based facial registration. J Neurosurg 2014;121:745-50. [Crossref] [PubMed]
- Onen MR, Yuvruk E, Naderi S, et al. The role of neuronavigation and intraoperative ultrasonography in distal middle cerebral artery aneurysm. Neurosciences (Riyadh) 2018;23:265-7. [Crossref] [PubMed]
- van Rooij SBT, Bechan RS, van Rooij WJ, et al. Current Hospital Demographics of Subarachnoid Hemorrhage Based on CT Angiography and 3D Rotational Angiography in a Neurosurgical Center. AJNR Am J Neuroradiol 2019;40:1013-7. [Crossref] [PubMed]
- Koutouzi G, Nasihatkton B, Danielak-Nowak M, et al. Performance of a feature-based algorithm for 3D-3D registration of CT angiography to cone-beam CT for endovascular repair of complex abdominal aortic aneurysms. BMC Med Imaging 2018;18:42. [Crossref] [PubMed]
- Zhou LQ, Lou MW, Chen GC, et al. Value of 640-slice 3D CT angiography plus 3D printing for improving surgeries for intracranial aneurysms. Nan Fang Yi Ke Da Xue Xue Bao 2017;37:1222-7. [PubMed]
- Wei X, Jiang J, Cao W, et al. Artificial intelligence assistance improves the accuracy and efficiency of intracranial aneurysm detection with CT angiography. Eur J Radiol 2022;149:110169. [Crossref] [PubMed]
(English Language Editor: A. Kassem)

