Comparison of cephalometric measurements of the Twin Block and A6 appliances in the treatment of Class II malocclusion: a retrospective comparative cohort study
Introduction
As people’s living standards improve, they pay more attention to facial appearance and oral health. In China, especially in the south, facial appearance problems caused by Class II malocclusion have become the main reason for malocclusion correction. Epidemiological research shows that Class II malocclusion comes second only after Class Ⅰ malocclusion (1-5). Class II malocclusion can be divided into skeletal and dental malocclusion. Dental Class II malocclusion can be improved simply by correcting the teeth, whereas a skeletal malocclusion is usually associated with overdevelopment of the maxilla or underdevelopment of the mandible, or both. It is currently clinically considered that skeletal Class II malocclusion is mainly caused by mandibular retrognathia (6). To date, the main treatment methods for mandibular advancement were the Twin Block (TB) functional appliance, Frankel II appliance, Activator-Headgear, Herbst, Bionator, muscle function trainer, and others Through the functional advancement of the mandible, they promote the development of the mandible, thereby coordinating the position of the maxilla and mandible and creating a good skeletal basis for secondary dental correction. These functional appliances not only have large volume and poor aesthetics, but also affect pronunciation, cannot solve sagittal and transverse problems at the same time, so two-stage correction is needed. TB is one of them, which has been widely used all over the world (7-11).
Invisible orthodontic technology is booming and is expected to become the future development direction of orthodontics. The previous orthodontic treatment technology was immature, mainly to treat malocclusion caused by dental problems. In recent years, with the development of invisible orthodontic technology and the progress of materials science, invisible orthodontic companies at home and abroad have launched invisible functional appliances successively to solve the maladjustment of the maxilla and mandible, such as the MA and A6 series. These appliances not only move the mandible forward, but are cosmetically advantageous due to their invisibility. In addition to mandibular advancement, they can also align the teeth, expand the dental arch, improve an open bite and lower the anterior teeth. What is worth mentioning is that it can control the height of the posterior teeth while depressing the anterior teeth, so as to prevent the lower 1/3 height of the anterior mandibular from increasing. However, because the A6 functional appliance is removable, it was unknown whether it can still achieve the desired mandibular advancement effect when it is removed for eating or teeth brushing. Currently, there is scant research comparing the effects of invisible orthodontics and traditional functional appliances for mandibular advancement (12-14), and even less research on comparing the A6 and traditional functional appliances. To this end, we designed a retrospective comparative cohort study of the A6 and TB, in which adolescent patients with mandibular retrognathia were selected for a comparison of the effects of the TB and A6 appliances. We present the following article in accordance with the STROBE reporting checklist (available at https://atm.amegroups.com/article/view/10.21037/atm-22-3762/rc).
Methods
Participants
Participants were selected from the Orthodontics Department of the Third Affiliated Hospital of Sun Yat-sen University. A retrospective comparative cohort study was conducted on 46 patients (23 males, 23 females; mean age, 13.69±4.25 years) who underwent and completed orthodontic treatment between July 2016 to August 2021 (Table 1). Participants were divided into TB or A6 groups according to according to the appliance used in the treatment.
Table 1
| Treatment | n | Male | Female | Age (years) | Duration of treatment (months) |
|---|---|---|---|---|---|
| TB | 23 | 12 | 11 | 15.25±4.93 | 9.40±4.23 |
| A6 | 23 | 11 | 12 | 12.07±2.63 | 10.23±3.27 |
M ± SD, mean ± standard deviation; TB, Twin Block.
The inclusion criteria of participants are as follows:
- Skeletal Class II Division 1 malocclusion;
- At least an end-to-end molar relationship;
- Overjet between 5 and 10 mm;
- SNB <78°, and ANB >5°;
- Can wear appliance for at least 17 h/day;
- No previous history of orthodontic treatment;
- Complete medical record.
The exclusion criteria were:
- Crowded teeth (≥4 mm);
- Anterior open bite;
- Craniomaxillofacial abnormalities;
- Tooth extraction treatment or congenital tooth loss (excluding the third molar);
- History of orthodontic treatment.
Ethical statement
The study was conducted in accordance with the Declaration of Helsinki (as revised in 2013). The study was approved by ethics committee of the Third Affiliated Hospital of Sun Yat-sen University [No. (2021)02-402-01] and individual consent for this retrospective analysis was waived. The diagnosis and treatment of participants were performed under standard procedures. All participants were fully informed of orthodontic procedures, the benefits, potential risks, and outcomes of the treatment before orthodontic treatment.
Follow-up
All follow-up visits during treatment were conducted every 8 weeks to assess occlusal relationship and profile of the patient. X-ray films were taken before and after treatment to evaluate the treatment effect. Cephalometric analysis was performed on the X-ray films before and after treatment to evaluate the treatment effect. The cephalometric variables are described in Table 2.
Table 2
| Variable | Definition |
|---|---|
| SNA | Angle formed by sella (S), nasion (N) and subspinale (A), indicating the position of the jaw on the sagittal plane, towards the anterior base of the skull |
| SNB | Angle formed by sella (S), nasion (N) and supramental (B), indicating the position of the jaw on the sagittal plane, towards the anterior base of the skull |
| ANB | Angle formed by subspinale (A), nasion (N) and supramental (B). The ANB angle highlights the gap between the mandibular bone base and the maxillary bone base on the sagittal plane |
| GoGn-SN | Angle formed by S-N plane and mandibular plane, measuring the mandibular base tipping relative to the cranium |
| Co-A | Distance from condylion (Co) to subspinale (A); measurement of the effective length of midface |
| Co-Gn | The linear distance between condylion (Co) and gnathion (Gn), measuring the effective mandibular length |
| Go-Me | The distance between gonion (Go) and mental (Me), measuring length of corpus mandibulae |
| Go-Gn | The linear distance between gonion (Go) and gnathion (Gn), measuring length of corpus mandibulae |
| N-Me | Distance from nasion (N) to mental (Me), measuring overall anterior face height |
| ANS-Me | The distance between the anterior nasal spine (ANS) and mental (Me), measuring lower anterior face height |
| S-Go | The distance between sella (S) and gonion (Go), reflecting lower posterior face height |
| ANS-Me/N-Me (%) | Ratio of lower anterior face height to overall anterior face height |
| S-Go/N-Me (%) | Ratio of lower posterior face height to overall anterior face height |
| N-S-Ar | The angle composed of nasion (N), sella (S) and anticulare (Ar), also known as saddle angle, reflecting the position of condyle |
| S-Ar-Go | The angle formed by sella (S), anticulare (Ar) and gonion (Go), also known as articular angle, reflecting the growth trend of the mandible |
| Ar-Go-Me | The angle formed by anticulare (Ar), gonion (Go) and mental (Me), also known as gonial angle, reflecting the growth trend of the mandible |
| Sum | Sum of saddle angle (N-S-Ar), articular angle (S-Ar-Go) and gonial angle (Ar-Go-Me), reflecting the clockwise or counterclockwise growth direction of the mandible |
| NA-Pog | The linear distance from the pogonion (Pog) to the connecting line between the nasion(N) and subspinale (A), reflecting the protrusion of the chin relative to the maxilla |
| Pog-NB | The linear distance from the pogonion (Pog) to the connecting line between nasion (N) and supramental (B), reflecting the protrusion of the chin relative to the mandible |
| U1-SN | The angle formed by the long axis of the upper incisor (U1) and the plane formed by sella (S) and nasion (N), reflecting the lip inclination of the upper anterior teeth relative to the anterior cranial base plane |
| U1-PP | The angle between the long axis of the upper central incisor (U1) and palatal plane (PP), reflecting the labial inclination of upper anterior teeth relative to the palatal plane |
| U1-NA (degree) | The angle formed by the long axis of the upper central incisor (U1) and the connecting line between nasion(N) and subspinale (A), reflecting the protrusion of upper central incisor |
| U1-PP (mm) | The linear distance from the upper central incisor (U1) to the palatal plane (PP), reflecting alveolar bone height of upper anterior teeth |
| U6-PP (mm) | The linear distance from the upper first molar (U6) to the palatal plane (PP), reflecting alveolar bone height of maxillary posterior teeth |
| IMPA | Angle between the long axis of the lower central incisor (L1) and the mandibular plane (MP), reflecting the labial inclination of mandibular anterior teeth |
| L1-NB (degree) | The angle formed by the long axis of the lower central incisor (L1) and the connecting line between nasion (N) and supramental (B) |
| L1-MP (mm) | The linear distance from the lower central incisor (L1) to the mandibular plane (MP), reflecting alveolar bone height of mandibular anterior teeth |
| L6-MP (mm) | The linear distance between the lower first molar (L6) and the mandibular plane (MP), reflecting alveolar bone height of mandibular posterior teeth |
| U1-L1 | The intersection angle of the long axis of the upper and lower central incisors |
| Overjet | Horizontal distance between the upper anterior teeth and the lower anterior teeth |
| Overbite | Vertical distance of upper anterior teeth over lower anterior teeth |
| UL-E-Line | The distance from the convex point of the upper lip (UL) to the E-line, reflecting the protrusion of the upper lip |
| LL-E-Line | The distance from the convex point of the lower lip (LL) to the E-line, reflecting the protrusion of the lower lip |
| Z-angle | The posterior inferior corner formed by the contour line of Chin lip soft tissue surface and Frankfort Horizontal plane, reflecting the protrusion or contraction of the mandible |
| H -angle | The intersection angle of the line between the pogonion of soft tissue (Pos) and the upper lip (UL), also known as H line, and the line between nasion (N) and supramental (B), representing the positional relationship between the soft tissue chin and lip |
| Nasolabial angle | The anterior intersection angle of the line between the subnasal (Sn) and the columella (Cm) and the line between the subnasal (Sn) and the processus of the upper lip (UL), representing the positional relationship between the upper lip and the bottom of the nose |
Statistical analysis
All lateral cephalometric radiographs are taken by an experienced operator (Sirona Dental Systems GmbH D-64625 Bensheim, Germany), and the same operator used the cephalometric analysis software developed by Shanghai Angelalign to perform fixed-point analysis of the lateral cephalometric radiographs taken pretreatment (T0) and post-treatment (T1). The normal distribution of the data was determined by the Kolmogorov-Smirnov test, and the values of the two experimental groups before and after treatment were statistically evaluated using a parametric and non-parametric test respectively. Paired t-tests and Wilcoxon signed-rank tests were used for intragroup comparison, with two independent sample t-tests and Wilcoxon signed-rank tests used for intergroup comparison. The data were presented in the form of mean ± standard (M ± SD) and analyzed using SPSS software (version 22.0; IBM, Armonk, New York), α=0.05, P<0.05.
Results
Population characteristics
A total of 46 patients were included in this study. The average duration of orthodontic treatment was 9.82±3.82 months. Among them, 23 participants were treated with TB appliance, while others were treated with A6 appliance. Demographic data of the participants are described in Table 1.
Clinical efficacy of orthodontic treatment
After the treatment, the ANB angle of the two groups was significantly reduced, and both the length of corpus mandibulae and the ramus height of the mandible increased. The maxillary anterior teeth were significantly adducted, and the mandibular anterior teeth were labially inclined. Both appliances showed excellent performance in terms of profile improvement.
In the TB group, the skeletal changes after treatment showed that SNB angle increased (P<0.05), and at the same time the vertical growth of the mandible (S-Ar-Go) increased (P=0.031). The A6 group showed improved soft tissue protrusion (Pog-NB) (P<0.05), and both appliances had significant effects on increasing the effective maxillary length (Co-A) and mandibulae length (Co-Gn, Go-Me) (P<0.05). After treatment, the ANB angle decreased, and the facial height (ANS-Me, N-Me, S-Go) increased in the two groups (P<0.05) (Table 3).
Table 3
| Variables | TB group | A6 group | |||||
|---|---|---|---|---|---|---|---|
| T0 | T1 | P value | T0 | T1 | P value | ||
| SNA | 80.60±3.24 | 80.91±3.20 | 0.094 | 82.98±4.07 | 82.39±3.29 | 0.148 | |
| SNB | 75.60±3.39 | 77.17±3.36 | 0.000* | 77.67±3.55 | 78.20±3.25 | 0.088 | |
| ANB | 5.00±2.05 | 3.73±2.38 | 0.000* | 5.11±2.03 | 4.19±2.36 | 0.027* | |
| GoGn-SN | 32.51±4.15 | 32.33±4.38 | 0.518 | 30.07±5.52 | 31.11±5.66 | 0.081 | |
| Co-A | 77.59±2.62 | 78.82±3.24 | 0.017* | 77.53±4.34 | 79.04±3.76 | 0.018* | |
| Co-Gn | 102.07±5.26 | 107.04±5.70 | 0.000* | 98.66±5.97 | 103.53±6.28 | 0.000* | |
| Go-Me | 67.88±3.75 | 69.73±3.69 | 0.003* | 65.28±5.83 | 67.15±5.42 | 0.005* | |
| Go-Gn | 80.70±4.83 | 84.15±4.24 | 0.059 | 74.95±10.06 | 76.67±8.56 | 0.014* | |
| N-Me | 110.95±6.63 | 115.22±5.85 | 0.000* | 104.56±6.65 | 109.86±6.79 | 0.000* | |
| ANS-Me | 62.31±4.32 | 64.96±4.08 | 0.000* | 57.44±4.27 | 60.56±4.70 | 0.000* | |
| S-Go | 74.69±5.59 | 78.16±5.60 | 0.000* | 71.67±7.81 | 75.15±8.14 | 0.000* | |
| ANS-Me/N-Me (%) | 53.53±1.84 | 54.46±1.80 | 0.000* | 52.40±1.53 | 53.10±1.72 | 0.001* | |
| S-Go/N-Me (%) | 65.77±3.22 | 66.23±3.32 | 0.006* | 64.00±4.81 | 66.75±4.40 | 0.831 | |
| N-S-Ar | 125.72±5.00 | 125.28±5.07 | 0.278 | 127.65±4.89 | 124.53±4.44 | 0.744 | |
| S-Ar-Go | 153.93±8.87 | 152.25±9.80 | 0.031* | 148.96±7.51 | 148.76±5.61 | 0.746 | |
| Ar-Go-Me | 113.87±6.56 | 115.76±7.16 | 0.001* | 111.60±8.01 | 118.92±8.21 | 0.020* | |
| Sum | 393.52±4.60 | 393.29±4.90 | 0.422 | 391.21±6.20 | 392.20±6.35 | 0.084 | |
| NA-Pog | 9.25±5.08 | 7.16±5.44 | 0.000* | 9.05±5.51 | 7.59±6.05 | 0.011* | |
| Pog-NB | 1.57±1.15 | 1.47±0.98 | 0.368 | 1.66±1.03 | 1.44±0.87 | 0.013* | |
α=0.05 two-tailed test, *P<0.05. M ± SD, mean ± standard deviation; TB, Twin Block; T0, pretreatment; T1, post-treatment.
The changes in the alveolar bone pre- and post-treatment are shown in Table 4. After treatment with the A6 or TB, the overjet of the anterior teeth was significantly reduced (P<0.05), the maxillary anterior teeth were significantly adducted, and the mandibular anterior teeth were slightly inclined. The alveolar heights of the maxillary anterior teeth and maxillary posterior teeth were significantly increased.
Table 4
| Variables | TB group | A6 group | |||||
|---|---|---|---|---|---|---|---|
| T0 | T1 | P value | T0 | T1 | P value | ||
| U1-SN | 108.14±8.46 | 104.91±8.95 | 0.011* | 111.41±7.04 | 105.34±6.92 | 0.000* | |
| U1-PP | 118.27±6.87 | 114.81±6.98 | 0.012* | 120.90±6.55 | 115.12±6.50 | 0.000* | |
| U1-NA (°) | 27.54±8.08 | 24.41±9.07 | 0.027* | 28.43±6.69 | 22.96±6.93 | 0.000* | |
| U1-PP (mm) | 27.13±1.87 | 28.23±1.98 | 0.000* | 25.06±2.29 | 26.00±2.32 | 0.003* | |
| U6-PP (mm) | 21.03±1.87 | 21.92±1.61 | 0.001* | 19.29±1.76 | 19.91±2.08 | 0.013* | |
| IMPA | 98.35±5.97 | 100.22±5.80 | 0.177 | 99.96±5.80 | 102.88±6.74 | 0.002* | |
| L1-NB (°) | 27.47±5.48 | 31.18±6.22 | 0.014* | 28.84±5.58 | 33.28±6.24 | 0.000* | |
| L1-MP (mm) | 39.92±2.75 | 39.16±2.45 | 0.039* | 37.07±3.57 | 36.76±3.96 | 0.453 | |
| L6-MP (mm) | 29.41±2.02 | 30.56±2.26 | 0.000* | 27.35±3.02 | 28.69±3.43 | 0.000* | |
| U1-L1 | 119.98±9.48 | 121.51±8.04 | 0.520 | 117.42±7.74 | 119.58±9.02 | 0.029* | |
| Overjet | 7.94±2.55 | 4.44±1.95 | 0.000* | 7.77±2.33 | 3.50±2.52 | 0.000* | |
| Overbite | 5.82±1.62 | 2.55±2.04 | 0.000* | 5.50±0.99 | 2.08±1.91 | 0.000* | |
α=0.05 two-tailed test, *P<0.05. M ± SD, mean ± standard deviation; TB, Twin Block; T0, pretreatment; T1, post-treatment.
The soft tissue post-treatment in the TB and A6 groups showed significant improvement in profile. After the treatment, the Ul-E-line was significantly reduced (P<0.05), indicating that the two appliances had a significant effect on improving the protrusion of the upper lip, the (Z-angle) was significantly increased (P<0.05), and there was a prominent improvement in the protrusion of the chin in both groups (Table 5).
Table 5
| Variables | TB group | A6 group | |||||
|---|---|---|---|---|---|---|---|
| T0 | T1 | P value | T0 | T1 | P value | ||
| UL-E-Line (mm) | 3.11±2.41 | 1.49±1.94 | 0.000* | 2.75±2.07 | 1.31±1.95 | 0.002* | |
| LL-E-Line (mm) | 2.85±2.56 | 3.10±2.99 | 0.721 | 2.39±2.85 | 2.77±2.71 | 0.360 | |
| Z-angle | 67.92±5.67 | 71.62±5.13 | 0.000* | 67.76±5.03 | 71.25±5.34 | 0.000* | |
| H-angle | 17.84±5.21 | 14.21±4.34 | 0.000* | 17.78±4.21 | 15.74±4.03 | 0.030* | |
| Nasolabial angle | 103.69±11.17 | 107.02±12.18 | 0.022* | 104.39±9.43 | 107.75±10.74 | 0.056 | |
α=0.05 two-tailed test, *P<0.05. M ± SD, mean ± standard deviation; T0, pretreatment; T1, post-treatment.
Table 6 shows that the A6 had a more prominent treatment effect than TB in the process of moving Point A backward, adducting the maxillary anterior teeth. In contrast, TB performed better in moving Point B forward.
Table 6
| Variables | TB | A6 | P value |
|---|---|---|---|
| SNA | 0.30±0.85 | −0.59±1.88 | 0.002* |
| SNB | 1.57±1.22 | 0.53±1.43 | 0.009* |
| ANB | −1.27±1.14 | −0.92±1.86 | 0.421 |
| GoGn-SN | −0.19±1.38 | 1.04±2.72 | 0.093 |
| Co-A | 1.23±2.35 | 1.51±2.83 | 0.818 |
| Co-Gn | 4.98±3.87 | 4.87±3.89 | 0.822 |
| Go-Me | 1.85±2.74 | 1.87±2.92 | 0.881 |
| Go-Gn | 1.45±3.57 | 1.72±3.11 | 0.651 |
| N-Me | 4.26±4.01 | 5.29±5.01 | 0.831 |
| ANS-Me | 2.65±2.41 | 3.12±3.00 | 0.630 |
| S-Go | 3.47±2.73 | 3.48±3.02 | 0.952 |
| ANS-Me/N-Me (%) | 0.93±0.86 | 0.70±0.79 | 0.258 |
| S-Go/N-Me (%) | 0.47±1.37 | −0.25±2.86 | 0.157 |
| N-S-Ar | −0.44±1.69 | −0.13±1.81 | 0.563 |
| S-Ar-Go | −1.67±3.58 | −0.20±2.96 | 0.116 |
| Ar-Go-Me | 1.88±2.52 | 1.32±2.52 | 0.684 |
| Sum | −0.23±1.41 | 0.99±2.64 | 0.106 |
| NA-Pog | −2.09±2.37 | −1.46±2.54 | 0.410 |
| Pog-NB | −0.09±0.51 | −0.21±0.45 | 0.465 |
| U1-SN | −3.24±5.76 | −6.07±3.66 | 0.044* |
| U1-PP | −3.45±6.22 | −5.78±3.71 | 0.068 |
| U1-NA (°) | −3.13±6.49 | −5.48±2.45 | 0.166 |
| U1-PP (mm) | 1.10±0.85 | 0.94±1.32 | 0.517 |
| U6-PP (mm) | 0.89±1.16 | 0.62±1.11 | 0.383 |
| IMPA | 1.87±6.57 | 2.91±4.05 | 0.438 |
| L1-NB (°) | 3.70±6.80 | 4.44±3.59 | 0.750 |
| L1-MP (mm) | −0.76±1.69 | −0.31±1.94 | 0.410 |
| L6-MP (mm) | 1.15±1.32 | 1.33±1.19 | 0.640 |
| U1-L1 | 1.53±11.44 | 2.16±4.43 | 0.410 |
| Overjet | −3.50±2.47 | −4.27±3.48 | 0.464 |
| Overbite | −3.27±2.69 | −3.42±2.31 | 0.853 |
| UL-E-Line | −1.63±1.48 | −1.44±1.80 | 0.598 |
| LL-E-Line | 0.24±3.28 | 0.38±1.80 | 0.886 |
| Z-angle | 3.70±3.83 | 3.49±3.45 | 0.724 |
| H-angle | −3.63±3.75 | −2.04±3.78 | 0.183 |
| Nasolabial angle | 3.33±6.63 | 3.36±7.98 | 0.949 |
α=0.05 two-tailed test, *P<0.05. TB, Twin Block; M ± SD, mean ± standard deviation.
Discussion
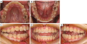
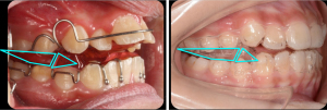
Both the A6 and TB appliances use the principle of a mechanically inclined plane to forcibly change the position of the mandible, triggering adaptive changes in muscles, nerves, and joints (15). The difference is that the TB does not play a role in expanding the arch, aligning the teeth, or controlling the torque of the anterior teeth in the process of guiding the mandibular advancement. Therefore, for patients who use the TB to guide the mandible forward, it must be combined with standard appliances for a two-stage correction (Figure 1). The A6 functional appliance designed by Shanghai Angelalign, which combines the TB and a bracketless invisible appliance, can not only guide the mandibular advancement, but also gradually expand the maxillary arch, lower the maxillary and mandibular anterior teeth, and slightly align the anterior teeth (Figures 2,3). Finally, the height of the occlusal bite pad is gradually reduced to establish a good occlusal relationship of the posterior teeth, thereby stabilizing the jaw position and achieving the correct occlusal relationship.
The main purpose of this study was to analyze and compare the changes in maxillofacial soft and hard tissues during the mandibular advancement process with the A6 and TB appliances. A retrospective study was conducted to evaluate the effects of the two appliances in terms of dentoskeletal, alveolar bone, and soft tissue reconstruction.
Dentoskeletal changes
As far as vertical changes of the jaws are concerned, the length of mandibular ramus increased in both groups: TB group (from 74.69±5.59 to 78.16±5.60; P<0.001) and A6 group (from 71.67±7.811 to 75.15±8.14; P<0.001). As for whether the growth of the mandibular ramus was the result of normal growth and development or an effect of appliance, a prior study reported that the growth of the mandibular ramus is the largest at QCVM II (male 8.21±0.72 mm, female 6.47±0.42 mm), and the smallest at QCVM IV (male 0.84±0.19 mm, female 0.80±0.18 mm) (16). Because the cervical spine was not clearly staged and there was not a control group in this study, it cannot be concluded that the growth of mandibular ramus was due to the effect of the appliance. After treatment, the gonial angle (Ar-Go-Me) increased: in the TB group from 113.87±6.56 to 115.76±7.16 (P=0.001) and in the A6 group from 111.60±8.01 to 118.92±8.21 (P=0.02), indicating that both appliances tend to promote mandibular clockwise rotation. At the same time, the increase in anterior facial height [ANS-Me, N-Me, ANS-Me/N-Me (%)] (P<0.05) was consistent with previous research results, indicating that these two types of appliances can increase anterior facial height and lower 1/3 of the face (10,12). Therefore, mandibular advancement treatment should be cautiously applied in high-angle patients. In this study, the articular angle (S-Ar-Go) decreased, with the TB group going from 153.93±8.87 to 152.25±9.80 (P=0.031), indicating that the vertical growth trend of the jaw in the TB group decreased.
In terms of the sagittal changes of the maxillary and the mandible, the effective maxillary length (Co-A), effective mandibular length (Co-Gn), and corpus mandibulae length (Go-Me) increased significantly in the two groups (P<0.05), which is consistent with the study results of Elfeky et al. (17) and Ajami et al. (18). Both appliances had significant effects on increasing effective maxillary length (Co-A) and corpus mandibulae length (Go-Me) (P<0.05). However, whether the increase in the length of the mandible was caused by the relocation of the mandible or growth and development, combined with the subsequent changes in alveolar bone structure and the saddle angle (N-S-Ar), we believe that it was related to growth and development.
In this study, we observed that the ANB angle of the two groups decreased after treatment, the change in the SNB angle in the TB group was statistically significant, but the SNA angle of the two groups did not change significantly after treatment (P>0.05), which is the same as most research results, indicating that the two appliances can adjust the sagittal development of mandible (19-21). However, we observed some differences in some parameters between the two groups. For example, statistical analysis of the SNB angle changes in the A6 group was not significant, which may have been caused by an insufficient sample size. NA-Pog and Pog-NB statistical analyses (P<0.05) confirmed this view.
Alveolar bone changes
The upper alveolar height increased in both groups, with the U1-PP (mm) for the TB group going from 27.13±1.87 to 28.23±1.98 (P<0.001) and the A6 group from 25.06±2.29 to 26.00±2.32 (P<0.003); U6-PP (mm) for the TB group going from 21.03±1.87 to 21.92±1.61 (P=0.001) and the A6 group from 19.29±1.76 to 19.91±2.08 (P=0.013). These results were consistent with the study of Baysal et al. (10,22). We believe that the increase in maxillary alveolar bone height shown in the results may be a collection of actions of growth and the increase in posterior teeth because of the role of the occlusal pad in the process of correction, which finally resulted in the increased alveolar bone height. TB did not lower the anterior teeth, but the alveolar bone height of the mandibular anterior teeth decreased significantly in this study (P<0.05), which may be due to a certain degree of absorption of labial alveolar bone of the mandibular anterior teeth during the anterior lip inclination process.
The changes in the angle of the anterior teeth, with the U1-SN angle changing from 108.14°±8.46° to 104.91°±8.95° (P=0.011) and the L1-NB angle from 27.47°±5.48° to 31.18°±6.22° (P=0.014) in the TB group; the U1-SN angle changing from 118.41°±7.04° to 105.34°±6.92° (P<0.001) and the L1-NB angle from 28.84°±5.58° to 33.28°±6.24° (P<0.001) in the A6 group, indicating that in both groups the appliance had the effect of adducting the maxillary anterior teeth and changing the labial inclination of lower incisor, which was similar to the results of Khoja et al. (23,24).
Overbite and overjet were significantly decreased in the TB group and A6 group, with the overjet improving from 7.94±2.55 to 4.44±1.95 (P<0.001) and overbite from 5.82±1.62 to 2.55±2.04 (P<0.001) in the TB group, and from 7.77±2.33 to 3.50±2.52 (P<0.001) and from 5.50±0.99 to 2.08±1.91 (P<0.001), respectively, in the A6 group. The reduction of overjet may be the result of adduction of the maxillary anterior teeth, mandibular advancement, and mandibular anterior teeth labial inclination. The decrease of overbite in the A6 group was due to the addition of resin attachments to lower the anterior teeth and improve the anterior overbite. The TB does not have this function. The reduction of overbite after correction may be related to the forward movement of Point B and the increased labial inclination of the mandibular anterior teeth.
Soft tissue changes
As for the change in the soft tissue profile brought by functional appliances to Class II Division 1 patients, most studies believe that the TB improves the patient’s profile by adducting the anterior teeth and simultaneously moving Point B and the chin forward (25-29). But some studies have reported contrary views (30-32). In this study the results showed that both the A6 and TB had significant effects in improving the profile, consistent with those reported by Shahamfar et al. (33) and others (11). The significant reduction in the Ul-E-line may be caused by the change in upper lip position due to adduction of the anterior teeth, and the reduction in the H-angle is also related to the improvement of maxillary protrusion. The increased Z-angle may be related to the soft tissue changes caused by mandibular advancement.
We observed that the Nasolabial angle increased significantly in the TB group (P<0.05), which may be related to the change in upper lip position caused by the reduction of the anterior teeth, which is consistent with the study results of Ahmadian-Babaki et al. (8,34). Because of the dearth of literature on the A6, it was not analyzed in this respect.
Finally, the data on the changes in the A6 and TB groups post-treatment were compared. The statistical analysis showed that promotion of the backward movement of point A and adduction of anterior teeth in the A6 group was statistically significant compared with the TB group. It may be that A6 can control the torque of the anterior teeth at the same time during mandibular advancement, so it has more advantages than the TB for adducting the anterior teeth, as well as promoting the backward movement of Point A. TB group has more advantages in moving forward point B than A6 group, which may be related to the excessive lip inclination of lower anterior teeth in A6 group. As for the changes in the ANB angle and the alveolar bone height of the maxillary and mandibular anterior teeth, there was no significant difference, which may be caused by insufficient sample size.
Reflection and limitations of study design
Due to the large age difference between the study patients, especially the TB patients, this study did not carry out a clear cervical stage or set up a control group to exclude the effect of growth and development on the reconstruction of maxillofacial soft tissue. In addition, in terms of selecting observation tools, cone beam CT uses three-dimensional reconstruction, and the positioning of each measurement point after treatment is more accurate (35). However, considering both the people-oriented philosophy and easy access to clinical data, lateral cephalometric radiographs pre- and post-treatment were used for evaluation.
Conclusions
- Treatment with either appliance can correct Class II malocclusion, retract the upper anterior teeth, tilt the lower anterior teeth, coordinate the differences between the maxilla and mandible, and the patients’ profiles were significantly improved in both groups.
- A6 has more advantages in adduction of anterior teeth and backward movement of point A, while TB has more advantages in forward movement of point B.
Both kinds of appliances can lead to an increase in the proportion of lower 1/3 of the face, so patients with high-angle should be cautious.
Acknowledgments
Funding: This work was supported by a grant from the Natural Science Foundation of Guangdong Province (No. 2016A030313212).
Footnote
Reporting Checklist: We present the following article in accordance with the STROBE reporting checklist. Available at https://atm.amegroups.com/article/view/10.21037/atm-22-3762/rc
Data Sharing Statement: Available at https://atm.amegroups.com/article/view/10.21037/atm-22-3762/dss
Conflicts of Interest: All authors have completed the ICMJE uniform disclosure form (available at https://atm.amegroups.com/article/view/10.21037/atm-22-3762/coif). The authors have no conflicts of interest to declare.
Ethical Statement: The authors are accountable for all aspects of the work in ensuring that questions related to the accuracy or integrity of any part of the work are appropriately investigated and resolved. The study was conducted in accordance with the Declaration of Helsinki (as revised in 2013). The study was approved by ethics committee of the Third Affiliated Hospital of Sun Yat-sen University [No. (2021)02-402-01] and individual consent for this retrospective analysis was waived.
Open Access Statement: This is an Open Access article distributed in accordance with the Creative Commons Attribution-NonCommercial-NoDerivs 4.0 International License (CC BY-NC-ND 4.0), which permits the non-commercial replication and distribution of the article with the strict proviso that no changes or edits are made and the original work is properly cited (including links to both the formal publication through the relevant DOI and the license). See: https://creativecommons.org/licenses/by-nc-nd/4.0/.
References
- Alhammadi MS, Halboub E, Fayed MS, et al. Global distribution of malocclusion traits: A systematic review. Dental Press J Orthod 2018;23:40.e1-10. Erratum in: Dental Press J Orthod 2019;24:113. [Crossref] [PubMed]
- Kelly JE, Harvey CR. An assessment of the occlusion of the teeth of youths 12-17 years. Vital Health Stat 11 1977;1-65. [PubMed]
- McLain JB, Proffitt WR. Oral health status in the United States: prevalence of malocclusion. J Dent Educ 1985;49:386-97. [Crossref] [PubMed]
- Proffit WR, Fields HW Jr, Moray LJ. Prevalence of malocclusion and orthodontic treatment need in the United States: estimates from the NHANES III survey. Int J Adult Orthodon Orthognath Surg 1998;13:97-106. [PubMed]
- Lin M, Xie C, Yang H, et al. Prevalence of malocclusion in Chinese schoolchildren from 1991 to 2018: A systematic review and meta-analysis. Int J Paediatr Dent 2020;30:144-55. [Crossref] [PubMed]
- Cozza P, Baccetti T, Franchi L, et al. Mandibular changes produced by functional appliances in Class II malocclusion: a systematic review. Am J Orthod Dentofacial Orthop 2006;129:599.e1-12; discussion e1-6. [Crossref] [PubMed]
- Güler ÖÇ, Malkoç S. Comparison of facial soft tissue changes after treatment with 3 different functional appliances. Am J Orthod Dentofacial Orthop 2020;158:518-26. [Crossref] [PubMed]
- Ahmadian-Babaki F, Araghbidi-Kashani SM, Mokhtari S. A Cephalometric Comparison of Twin Block and Bionator Appliances in Treatment of Class II Malocclusion. J Clin Exp Dent 2017;9:e107-11. [PubMed]
- Elhamouly Y, El-Housseiny AA, Ismail HA, et al. Myofunctional Trainer versus Twin Block in Developing Class II Division I Malocclusion: A Randomized Comparative Clinical Trial. Dent J (Basel) 2020;8:44. [Crossref] [PubMed]
- Baysal A, Uysal T. Dentoskeletal effects of Twin Block and Herbst appliances in patients with Class II division 1 mandibular retrognathy. Eur J Orthod 2014;36:164-72. [Crossref] [PubMed]
- Spalj S, Mroz Tranesen K, Birkeland K, et al. Comparison of Activator-Headgear and Twin Block Treatment Approaches in Class II Division 1 Malocclusion. Biomed Res Int 2017;2017:4861924. [Crossref] [PubMed]
- Caruso S, Nota A, Caruso S, et al. Mandibular advancement with clear aligners in the treatment of skeletal Class II. A retrospective controlled study. Eur J Paediatr Dent 2021;22:26-30. [PubMed]
- Ravera S, Castroflorio T, Galati F, et al. Short term dentoskeletal effects of mandibular advancement clear aligners in Class II growing patients. A prospective controlled study according to STROBE Guidelines. Eur J Paediatr Dent 2021;22:119-24. [PubMed]
- Zhou L, Wang YM, Zhang L, et al. Functional clear aligner treatment of class II malocclusion in teenagers. Hua Xi Kou Qiang Yi Xue Za Zhi 2019;37:236-41. [PubMed]
- Oda H, Sandou M, Lin CM, et al. Clarifying the mechanism of effect of the Bionator for treatment of maxillary protrusion: A percentile growth study. Eur J Paediatr Dent 2016;17:213-9. [PubMed]
- Chen LL, Lin JX, Xu TM. Longitudinal study of facial height growth according to quantitative cervical vertebral maturation. Chinese Journal of Orthodontics 2010;17:131-5.
- Elfeky HY, Fayed MS, Alhammadi MS, et al. Three-dimensional skeletal, dentoalveolar and temporomandibular joint changes produced by Twin Block functional appliance. J Orofac Orthop 2018;79:245-58. [Crossref] [PubMed]
- Ajami S, Morovvat A, Khademi B, et al. Dentoskeletal effects of class II malocclusion treatment with the modified Twin Block appliance. J Clin Exp Dent 2019;11:e1093-8. [Crossref] [PubMed]
- Franchi L, Baccetti T. Prediction of individual mandibular changes induced by functional jaw orthopedics followed by fixed appliances in Class II patients. Angle Orthod 2006;76:950-4. [Crossref] [PubMed]
- Flores-Mir C, Major PW. Cephalometric facial soft tissue changes with the twin block appliance in Class II division 1 malocclusion patients. A systematic review. Angle Orthod 2006;76:876-81. [PubMed]
- Cretella Lombardo E, Franchi L, Gastaldi G, et al. Development of a Prediction Model for Short-Term Success of Functional Treatment of Class II Malocclusion. Int J Environ Res Public Health 2020;17:4473. [Crossref] [PubMed]
- Mills CM, McCulloch KJ. Posttreatment changes after successful correction of Class II malocclusions with the twin block appliance. Am J Orthod Dentofacial Orthop 2000;118:24-33. [Crossref] [PubMed]
- Khoja A, Fida M, Shaikh A. Cephalometric evaluation of the effects of the Twin Block appliance in subjects with Class II, Division 1 malocclusion amongst different cervical vertebral maturation stages. Dental Press J Orthod 2016;21:73-84. [Crossref] [PubMed]
- van der Plas MC, Janssen KI, Pandis N, et al. Twin Block appliance with acrylic capping does not have a significant inhibitory effect on lower incisor proclination. Angle Orthod 2017;87:513-8. [Crossref] [PubMed]
- Chen YM, Fan CH, Gao H. The evaluation of lateral facial profile change with the theory of orofacial harmony after Twin- Block appliances treatment on II^1 malocclusion. Chinese Journal of Orthodontics 2017;24:194-9.
- Trenouth MJ. Cephalometric evaluation of the Twin-block appliance in the treatment of Class II Division 1 malocclusion with matched normative growth data. Am J Orthod Dentofacial Orthop 2000;117:54-9. [Crossref] [PubMed]
- Lund DI, Sandler PJ. The effects of Twin Blocks: a prospective controlled study. Am J Orthod Dentofacial Orthop 1998;113:104-10. [Crossref] [PubMed]
- Mills CM, McCulloch KJ. Treatment effects of the twin block appliance: a cephalometric study. Am J Orthod Dentofacial Orthop 1998;114:15-24. [Crossref] [PubMed]
- Pancherz H, Michailidou C. Temporomandibular joint growth changes in hyperdivergent and hypodivergent Herbst subjects. A long-term roentgenographic cephalometric study. Am J Orthod Dentofacial Orthop 2004;126:153-61; quiz 254-5. [Crossref] [PubMed]
- Vargervik K, Harvold EP. Response to activator treatment in Class II malocclusions. Am J Orthod 1985;88:242-51. [Crossref] [PubMed]
- Barton S, Cook PA. Predicting functional appliance treatment outcome in Class II malocclusions--a review. Am J Orthod Dentofacial Orthop 1997;112:282-6. [Crossref] [PubMed]
- Gulec A, Goymen M. Treatment of class II malocclussion: A comparative study of the effects of twin-block and fatigue resistant device. Niger J Clin Pract 2018;21:1557-63. Erratum in: Niger J Clin Pract 2019;22:1311. [PubMed]
- Shahamfar M, Atashi MHA, Azima N. Soft Tissue Esthetic Changes Following a Modified Twin Block Appliance Therapy: A Prospective Study. Int J Clin Pediatr Dent 2020;13:255-60. [Crossref] [PubMed]
- Varlik SK, Gültan A, Tümer N. Comparison of the effects of Twin Block and activator treatment on the soft tissue profile. Eur J Orthod 2008;30:128-34. [Crossref] [PubMed]
- Yıldırım E, Karaçay Ş, Tekin D. Three-Dimensional Evaluation of Soft Tissue Changes after Functional Therapy. Scanning 2021;2021:9928101. [Crossref] [PubMed]
(English Language Editor: K. Brown)


