Importance of computed tomography muscle quality and continuous versus cut-off-based sarcopenia detection in major hepatic surgery
Introduction
Sarcopenia defined as age-related loss of muscle mass and function (1) is a common comorbidity with a prevalence which ranges about 10% (2). It is known to cause longer hospital stays (3), to be associated with higher mortality in the elderly population (4), and with a worse prognosis in cancer (5) or after surgery (6). To determine sarcopenia, the muscle status can be assessed by clinical tests (e.g., handgrip), by dual-energy absorptiometry, bioelectrical impedance analysis, magnetic resonance imaging (MRI), or computed tomography (CT). Besides clinical tests, CT, due to its three-dimensional nature, independence of the patients’ hydrational status, and high availability in chronically or severely ill patients, is considered the gold standard to assess muscle quantity or quality (1).
Since 2011 the impact of sarcopenia, as assessed by CT, on short-term, long-term, or disease-free survival (DFS) after major liver resection has been investigated by several studies. The majority described a negative influence of sarcopenia or sarcopenia obesity on survival (7,8). However, some contradictory results have been published, as well. One study found a negative impact of sarcopenia only for patients aged 70 years or older (9). Two other studies could not prove any influence of preoperative sarcopenia on overall survival (10,11). Also, most studies have been carried out in Asian populations, while investigations for Caucasian populations remain rare (10,12).
Almost all studies focused on assessing the skeletal muscle index (SMI) as a CT parameter of the skeletal muscle mass (7). However, another easily achievable CT information is the skeletal muscle attenuation (MRA). The MRA provides information about fat accumulation within the muscle fibers (13), which indicates lower muscle quality (14). As an additional parameter besides muscle mass or muscle function muscle quality is expected to gain importance (1). However, so far, only one study on CT body composition and major hepatectomy has included an analysis on muscle radiodensity (15) but did not follow the recommended measurement approach (16,17).
Concerning clinical outcome parameters, apart from overall survival or DFS, most studies on sarcopenia and major hepatectomy focused on postoperative complications as assessed by the Clavien-Dindo classification [e.g., (8,12,18)] while some did not employ any classification system (15). However, the Clavien-Dindo classification provides a general scoring system for post-surgical complications (19) and does not optimally mirror liver surgery-specific complications. A classification system that includes specific complications in liver surgery is the novel FABIB (liver failure, ascites, biliary leakage, infection, bleeding) score (20,21), an acronym of liver failure, ascites, biliary leakage, infection, and bleeding, in which each complication is graded by A, B, and C according to the severity.
This study aimed to address the described gaps in knowledge by investigating the role of the CT-derived SMI as parameter of muscle quantity and the MRA as parameter of muscle quality on survival and postoperative complications after major hepatectomy according to the Clavien-Dindo classification and FABIB score. This article is presented in accordance with the STROBE reporting checklist (available at https://atm.amegroups.com/article/view/10.21037/atm-21-5948/rc).
Methods
Study collective
Inclusion criteria of this retrospective observational study were (I) major liver resection, defined as the anatomic resection of ≥3 segments due to benign or malignant hepatobiliary disease between July 2012 to December 2019 at the Department of General, Visceral, and Thoracic Surgery at the University Medical Center Hamburg Eppendorf, a tertiary center for hepatobiliary disease, and (II) available CT scans within a maximum of three months before surgery.
Exclusion criteria were (I) CT scans with an open abdomen which would hinder the assessment of the skeletal muscle area (SMA) and thus SMI; and (II) CT scans with major artifacts, e.g., due to osteosyntheses material which influence MRA values. Also, non-contrast-enhanced CT scans were excluded, as most patients before hepatectomy receive contrast-enhanced scans and MRA values differ between non-contrast-enhanced and contrast-enhanced scans. After application of the defined in- and exclusion criteria to a total of 295 Caucasian patients with major liver resection, 183 suitable patients were identified.
For this retrospective study, which was conducted in accordance with the Declaration of Helsinki (as revised in 2013), a waiver was obtained from the local ethics committee (Ärztekammer Hamburg, Germany). General informed, written consent was retrospectively available from all participants.
Morbidity and mortality
The liver surgery-specific postoperative complications and severity as defined in the FABIB system (Table 1) and, for comparison purposes, complication grading according to the Clavien-Dindo classification (19) were documented as a routine practice using a hospital information system. To calculate the FABIB score for each complication, the numerical values of 1–3 were assigned to the severity grades A–C (Table 1). The total sum yields the FABIB score, which ranges from 0 to 15.
Table 1
| Definition of complication | Severity grade A (+1) | Severity grade B (+2) | Severity grade C (+3) |
|---|---|---|---|
| Liver failure: an increased INR and concomitant hyperbilirubinemia on or after POD 5 | Requiring no change of the patient’s clinical management (C-D grade 0) | Requiring management deviating from the regular course but no invasive therapy (C-D grade 1 or 2) | Need for invasive treatment (≥ C-D grade 3a) |
| Ascites: with drain: drainage of clear ascitic fluid exceeding 500 mL/day after POD 3; without drain: distension of the abdomen with ascites detectable by ultrasound examination | Requiring no change of the patient’s clinical management; or diuretics with same dosage as preoperatively (C-D grade 0) | Requiring pharmacological treatment or diuretics with higher dosage than preoperatively (C-D grade 2) | More than 1,000 mL/day after POD 7 with drain kept despite of pharmacological treatment or need for invasive treatment (≥ C-D grade 2) |
| Bile leak: bilirubin concentration in the drain fluid at least 3 times the serum bilirubin concentration on or after POD 3 or the need for radiologic or operative intervention resulting from biliary collections or bile peritonitis | Requiring no change in patients’ clinical management (C-D grade 0) | Requiring invasive treatment without re-operation or drainage over 7 days (C-D grade 0 or ≥ C-D grade 3a) | Requiring re-operation (≥ C-D grade 3b) |
| Infection: infections including catheter-related, pulmonary, intra-abdominal, urinary tract, and surgical site infections | Requiring antibiotic treatment or wound infections opened at the bedside (≥ C-D grade 1) | Requiring surgical, endoscopic, or radiological intervention without general anesthesia (≥ C-D grade 3a) | Requiring intervention under general anesthesia or sepsis requiring treatment in the intensive care unit (≥ C-D grade 3b) |
| Bleeding: drop in Hb level >3 g/dL compared with the postoperative baseline level and/or any postoperative transfusion of PRBC for a falling Hb and/or the need for intervention to stop bleeding | A drop in Hb level >3 g/dL or transfusion of up to two units of PRBC (C-D grade 0 or grade 2) | Requiring transfusion of more than two units of PRBC (C-D grade 2) | Need for invasive re-intervention such as embolization and/or re-laparotomy defines (≥ C-D grade 3a) |
Reprinted from “Li J, et al. Is It Feasible to Standardize a Composite Postoperative Complication Reporting System for Liver Resection? J Gastrointest Surg 2020;24:2748-55”, with permission from Springer Nature and from “Kemper M, Heumann A, Freiwald-Bibiza E, et al. Liver surgery-specific complications are an independent factor influencing long-term survival following major hepatectomy. HPB (Oxford) 2021;23:1496-505”, with permission from Elsevier. C-D, Clavien-Dindo classification; FABIB score, liver-surgery specific complication score (acronym of liver, failure, ascites, biliary leakage, infection, and bleeding); Hb, hemoglobin; INR, international normalized ratio; POD, postoperative day; PRBC, packed red blood cells.
Additionally, the 90-day mortality and length of survival were recorded. For long-term and overall survival analysis, the time from the date of surgery to either the date of death or to the last follow-up was used, whichever occurred first. If no event was recorded, the patients were censored at the last contact [maximum follow-up 2,803 days, median follow-up 1,453 days (95% CI: 1,107 to 1,675 days)] for statistical evaluation. To eliminate the bias of the 90-day mortality on long-term survival analysis, patients who died within 90 days following surgery were excluded from the long-term survival analysis.
CT body composition and cut-off-based sarcopenia classification
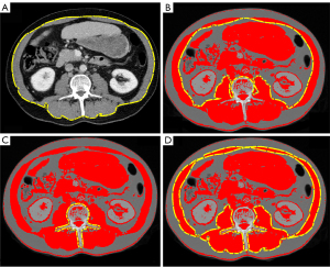
Axial CT slices (slice thickness 5 mm) at the height of the third lumbar vertebra (L3) on portal venous CT scans were exported and further processed with the open-source software ImageJ (National Institutes of Health, Laboratory for Optical and Computation Instrumentation). Regions of interest were defined along the outer abdominal muscle parameter (Figure 1A), inner muscle parameter (Figure 1B), and the circumference of L3 (Figure 1C). The most commonly used muscle-specific threshold of −29 to +150 Hounsfield units (HU) (16) was applied and the SMA calculated according to Gomez-Perez et al. (22). The SMI was then given by SMA/body height2 (cm2/m2). After application of the muscle-specific threshold, the MRA of the whole abdominal muscle in HU (Figure 1D) was noted.
Patients were classified as sarcopenic according to their SMI and the sex-specific cut-off of Prado et al. (men ≤52.4 cm2/m2; women ≤38.5 cm2/m2) (23), the cut-off of Martin et al. which for men also considers the body mass index (BMI) (BMI <25 kg/m2: SMI <43 cm2/m2; BMI ≥25 kg/m2: SMI <53 cm2/m2; women BMI independent: <41 cm2/m2) (24), and below the 5th percentile of the sex, age, and BMI specific cut-off values for the SMI and MRA of van der Werf et al. (25).
Statistical analysis
Continuous variables are summarized as mean and standard deviation. Categorical variables are summarized as absolute numbers and percentages.
To investigate the impact of continuous MRA and SMI values and of cut-off-based sarcopenia detection (in total six predictors of interest) on complications (Clavien-Dindo classification and FABIB score) and survival, regression analyses were conducted. For continuous endpoints (Clavien-Dindo and FABIB) multivariable linear regression was used. For binary endpoints (90-day survival) logistic regression was calculated. For time-to-event endpoints (overall survival and long-term survival) Cox proportional hazards regression and Kaplan-Meier plots were used. In each regression model one of the endpoints was the dependent variable of the regression and one of the predictors of interest together with a specified list of adjusting variables were the independent variables. Adjusting variables for all regression models were sex, age, BMI, malignancy, liver tissue quality (normal, post-chemotherapy, fibrosis), surgery type, and surgery time. Subgroup analyses for the patients who were resected for benign or malignant reasons were not performed as the number of benign resections (Table 2) would not have been sufficient. As the cut-off-based sarcopenia classifications of Prado et al., Martin et al., and van der Werf et al. already include sex, and the percentiles of van der Werf et al. are sex, age, and BMI specific the corresponding variables were not included in the analyses for these predictors of interest. As all patients without malignancy survived the first 90 days after surgery, the 90-day mortality analysis could not be adjusted for “malignancy”.
Table 2
| Characteristics | N (%) or mean (SD) |
|---|---|
| Age (mean in years) | 62.6 (12.3) |
| Gender | |
| Male | 103 (56.3) |
| Female | 80 (43.7) |
| BMI (mean in kg/m²) | 25.0 (4.6) |
| Diagnosis | |
| Colorectal liver metastases | 51 (27.9) |
| Hepatocellular carcinoma | 21 (11.5) |
| Intrahepatic cholangiocarcinoma | 29 (15.8) |
| Extrahepatic cholangiocarcinoma | 49 (26.8) |
| Gallbladder carcinoma | 4 (2.2) |
| Other malignancy | 14 (7.7) |
| Other non-malignant disease | 15 (8.2) |
| Procedure | |
| Hemihepatectomy | 72 (39.3) |
| Extended hemihepatectomy | 111 (60.7) |
| Surgery time (in hours) | |
| <5 | 68 (37.2) |
| 5–8 | 59 (32.2) |
| >8 | 56 (30.6) |
| Liver tissue quality | |
| Normal | 129 (70.5) |
| Post-chemotherapy | 18 (9.8) |
| Fibrosis | 20 (10.9) |
| Cirrhosis | 4 (2.2) |
| Steatosis >20% | 12 (6.6) |
BMI, body mass index; SD, standard deviation.
Each regression analysis was conducted using all complete cases since only one variable had a few missing data points (6% of the SMI and MRA cut-off values of van der Werf et al.). Those missing data points were caused by the cut-off values of van der Werf et al. which have been defined for patients ≤79 years and BMI values ≤35 kg/m². In our study collective 6% of all patients were either older than 79 years or had a BMI greater than 35 kg/m² and could therefore not be assigned to the categories published by van der Werf et al. (25)
P values were not adjusted for multiple testing and since this was a retrospective exploratory study they should be interpreted as descriptive summary statistics, not as results of confirmatory hypothesis testing with a certain, e.g., 5%, cut-off. Thus, effect sizes and corresponding 95% confidence intervals (CIs) are described for associations of clinical relevance. All analyses were performed with R version 3.5.3.
Results
Study collective
The final study collective consisted of 183 Caucasian patients, of which 80 (43.7%) were female and 103 (56.3%) were male. Mean age was 63±12 years with a minimum of 28 and a maximum of 84 years. Mean BMI was 25±4.6 kg/m2 with a range between 17.5 and 40.0 kg/m2. Most patients, 168 (91.8%), received hepatectomy because of malignant hepatic lesions, of which in 111 (60.7%) extended hepatectomy was indicated. Mean surgery time was 5.9±2.1 hours. All patient characteristics are provided in Table 2.
Postoperative morbidity and mortality
Sixty-seven (36.6%) patients suffered from complications according to grade I and II of the Clavien-Dindo classification, 75 (41.0%) suffered from severe complications including the grades III to V (Table 3). According to the FABIB score mean point value was 3.1±3.0. For detailed information about grading results and frequency of liver failure, biliary leakage, infection, ascites, and bleeding please see Table 3.
Table 3
| Variables | N (%) |
|---|---|
| Complications | |
| Liver failure | 40 (21.9) |
| Biliary leakage | 64 (35.0) |
| Infection | 88 (48.1) |
| Ascites | 69 (37.7) |
| Bleeding | 30 (16.4) |
| Clavien-Dindo classification | |
| No complications | 41 (22.4) |
| I | 7 (3.8) |
| II | 60 (32.8) |
| IIIa/IIIb | 27 (14.8)/23 (12.6) |
| IVa/IVb | 1 (0.5)/2 (1.1) |
| V | 22 (12.0) |
| FABIB score | |
| 0 | 50 (27.3) |
| 1–5 | 95 (51.9) |
| 6–10 | 35 (19.1) |
| 11–15 | 3 (1.6) |
FABIB score, liver-surgery specific complication score (acronym of liver, failure, ascites, biliary leakage, infection, and bleeding).
CT body composition and cut-off-based sarcopenia results
The MRA and SMI were normally distributed within the study collective (Figure 2). Mean MRA was 37±10 HU, mean SMI 42.0±9.6 cm2/m2.
A total of 81 male patients (78.6% among all men) and 51 female patients (63.8% among all women) were classified as sarcopenic according to Prado et al. According to Martin et al. 66 male patients (64.1% among all men) and 60 female patients (75.0% among all women) were sarcopenic. The total observations for the categorization of patients below or above the sex, age, and BMI specific 5th percentiles of van der Werf et al. was n=172 (97 male, 75 female). Of these, 20 male patients (20.6% among the men) and 14 female patients (18.7% among the women) had an SMI below the 5th percentile. For 9 male (9.3% among the men) and 4 female (5.3% among the women) patients, the MRA values were below the 5th percentile.
Prediction of postoperative complications based on CT body composition and cut-off-based sarcopenia
Patients with an increase of the MRA showed less severe postoperative complications according to the Clavien-Dindo classification [−0.59 per MRA increase of 10 HU (95% CI: −0.95 to −0.23), P=0.002] (Figure 3A).
However, an increase of the SMI did not result in less severe complications [0.14 per SMI increase of 10 units (95% CI: −0.27 to 0.55), P=0.503].
Also, the effect on the Clavien-Dindo grading was found to be contradictory for patients who were classified as sarcopenic according to the SMI based cut-off of Prado et al. [−0.61 (95% CI: −1.36 to 0.13), P=0.106] and Martin et al. [−0.27 (95% CI: −0.95 to 0.42), P=0.440], with sarcopenic patients showing less postoperative complications (Figure 3A). No relevant difference in complications was found for patients below the sex, age, and BMI specific 5th percentiles of the SMI according to van der Werf et al. [0.07 (95% CI: −0.71 to 0.86), P=0.856]. Also, while the Clavien-Dindo score was 0.88 points higher for patients below the sex, age, and BMI specific 5th percentiles for the MRA this was relativized by a large 95% CI of −0.31 to 2.06 (P=0.146) (Figure 3A).
Concerning the FABIB score, similarly, an increase of the MRA of 10 HU resulted in a decrease of the FABIB score of 0.65 points (95% CI: 1.19–0.12 points, P=0.017) (Figure 3B). Comparable to the model for the Clavien-Dindo score, for patients classified as sarcopenic according to Prado et al. and Martin et al. regression coefficients for the FABIB score were negative, those patients thus did not display more postoperative complications (Figure 3B, Table 4). For patients whose SMI or MRA was below the 5th percentile of van der Werf et al. regression coefficients were about zero [0.12 (95% CI: −1.01 to 1.25), P=0.832; 0.02 (95% CI: −1.69 to 1.73), P=0.984], they thus did not show a relevantly higher FABIB score than patients above the 5th percentile.
Table 4
| Adjusting variables | Predictors | ||||||||||||||||||||||
|---|---|---|---|---|---|---|---|---|---|---|---|---|---|---|---|---|---|---|---|---|---|---|---|
| Increase of MRA (per 10 units) |
Increase of SMI (per 10 units) |
Sarcopenic (Prado et al.) |
Sarcopenic (Martin et al.) |
SMI <5th percentile (van der Werf et al.) |
MRA <5th percentile (van der Werf et al.) |
||||||||||||||||||
| Est. | 95% CI | P | Est. | 95% CI | P | Est. | 95% CI | P | Est. | 95% CI | P | Est. | 95% CI | P | Est. | 95% CI | P | ||||||
| −0.65 | −1.19 to −0.12 | 0.017 | 0.17 | −0.42 to 0.76 | 0.572 | −0.51 | −1.60 to 0.58 | 0.358 | −0.42 | −1.42 to 0.58 | 0.407 | 0.12 | −1.01 to 1.25 | 0.832 | 0.02 | −1.69 to 1.73 | 0.984 | ||||||
| Malignancy | 0.37 | −1.24 to 1.98 | 0.650 | 0.57 | −1.06 to 2.21 | 0.489 | 0.78 | −0.84 to 2.40 | 0.345 | 0.76 | −0.86 to 2.38 | 0.353 | 0.30 | −1.44 to 2.03 | 0.738 | 0.31 | −1.42 to 2.04 | 0.724 | |||||
| Extended hemihepatectomy | 1.54 | 0.63 to 2.46 | 0.001 | 1.46 | 0.53 to 2.39 | 0.002 | 1.37 | 0.44 to 2.30 | 0.004 | 1.39 | 0.46 to 2.32 | 0.004 | 1.39 | 0.42 to 2.36 | 0.005 | 1.39 | 0.42 to 2.37 | 0.005 | |||||
| Surgery time (hours) | 0.06 | −0.15 to 0.28 | 0.555 | 0.07 | −0.15 to 0.29 | 0.533 | 0.10 | −0.12 to 0.32 | 0.381 | 0.09 | −0.12 to 0.31 | 0.392 | 0.08 | −0.15 to 0.31 | 0.495 | 0.08 | −0.15 to 0.31 | 0.493 | |||||
| Liver tissue quality | −0.10 | −1.05 to 0.85 | 0.835 | 0.12 | −0.84 to 1.09 | 0.803 | 0.12 | −0.84 to 1.08 | 0.805 | 0.14 | −0.82 to 1.10 | 0.775 | 0.15 | −0.83 to 1.14 | 0.761 | 0.15 | −0.84 to 1.14 | 0.759 | |||||
| Age (per 10 years) | −0.11 | −0.51 to 0.29 | 0.595 | 0.15 | −0.21 to 0.51 | 0.410 | 0.18 | −0.18 to 0.55 | 0.325 | 0.16 | −0.20 to 0.52 | 0.376 | – | – | – | – | – | – | |||||
| BMI (per 10 units) | 0.07 | −0.92 to 1.06 | 0.886 | 0.22 | −0.90 to 1.34 | 0.701 | 0.27 | −0.79 to 1.34 | 0.611 | 0.35 | −0.67 to 1.37 | 0.501 | – | – | – | – | – | – | |||||
| Gender male | 0.92 | 0.04 to 1.81 | 0.042 | 0.63 | −0.38 to 1.63 | 0.220 | – | – | – | – | – | – | – | – | – | – | – | – | |||||
FABIB score, score of specific postoperative complication for hepatic surgery; CT, computed tomography; Est., regression estimates; CI, confidence interval; MRA, muscle radiodensity attenuation; SMI, skeletal muscle index; BMI, body mass index.
Prediction of survival based on CT body composition and cut-off-based sarcopenia
An increase of the MRA was associated with lower hazard ratios and thus a higher probability of overall survival [0.75 per MRA increase of 10 HU (95% CI: 0.58–0.97), P=0.029] (Figure 4A, Table 5) and long-term survival [0.78 per 10 HU (95% CI: 0.58–1.05), P=0.096] (Table S1). The same trend was observed for an increase of the SMI for overall survival [0.82 per SMI increase of 10 cm2/m2 (95% CI: 0.60–1.11), P=0.203] and long-term survival [0.68 per 10 cm2/m2 (95% CI: 0.47–0.96), P=0.031].
Table 5
| Adjusting variables | Predictors | ||||||||||||||||||||||
|---|---|---|---|---|---|---|---|---|---|---|---|---|---|---|---|---|---|---|---|---|---|---|---|
| MRA (per 10 units) | SMI (per 10 units) | Sarcopenia (Prado et al.) |
Sarcopenia (Martin et al.) |
SMI <5th percentile (van der Werf et al.) | MRA <5th percentile (van der Werf et al.) | ||||||||||||||||||
| HR | 95% CI | P | HR | 95% CI | P | HR | 95% CI | P | HR | 95% CI | P | HR | 95% CI | P | HR | 95% CI | P | ||||||
| 0.75 | 0.58–0.97 | 0.029 | 0.82 | 0.60–1.11 | 0.203 | 0.90 | 0.50–1.60 | 0.710 | 1.19 | 0.72–1.97 | 0.492 | 1.10 | 0.67–1.79 | 0.712 | 2.32 | 1.18–4.54 | 0.015 | ||||||
| Malignancy | 14.61 | 1.97–108.46 | 0.009 | 13.59 | 1.84–100.41 | 0.011 | 13.62 | 1.86–99.82 | 0.010 | 13.76 | 1.88–100.90 | 0.010 | 10.45 | 1.43–76.55 | 0.021 | 11.27 | 1.54–82.44 | 0.017 | |||||
| Extended hemihepatectomy | 1.35 | 0.86–2.12 | 0.194 | 1.46 | 0.92–2.30 | 0.106 | 1.37 | 0.87–2.17 | 0.173 | 1.41 | 0.90–2.21 | 0.130 | 1.52 | 0.96–2.41 | 0.072 | 1.52 | 0.96–2.40 | 0.072 | |||||
| Surgery time (hours) | 1.04 | 0.94–1.15 | 0.479 | 1.04 | 0.94–1.15 | 0.445 | 1.04 | 0.94–1.15 | 0.439 | 1.04 | 0.94–1.16 | 0.402 | 1.01 | 0.91–1.12 | 0.887 | 1.01 | 0.91–1.11 | 0.907 | |||||
| Liver tissue quality | 0.99 | 0.64–1.55 | 0.975 | 1.12 | 0.73–1.72 | 0.596 | 1.13 | 0.74–1.73 | 0.562 | 1.13 | 0.74–1.72 | 0.586 | 1.10 | 0.72–1.68 | 0.664 | 1.05 | 0.69–1.61 | 0.824 | |||||
| Age (per 10 years) | 1.19 | 0.98–1.44 | 0.075 | 1.28 | 1.07–1.54 | 0.007 | 1.30 | 1.08–1.56 | 0.005 | 1.28 | 1.07–1.54 | 0.006 | – | – | – | – | – | – | |||||
| BMI (per 10 units) | 0.80 | 0.50–1.29 | 0.364 | 1.14 | 0.66–1.97 | 0.629 | 0.88 | 0.53–1.45 | 0.620 | 0.98 | 0.62–1.56 | 0.945 | – | – | – | – | – | – | |||||
| Gender male | 1.00 | 0.66–1.53 | 0.985 | 1.12 | 0.70–1.79 | 0.631 | – | – | – | – | – | – | – | – | – | – | – | – | |||||
HR, hazard ratio; CI, confidence interval; MRA, muscle radiodensity attenuation; SMI, skeletal muscle index; BMI, body mass index.
However, only a rise in the MRA and thus higher muscle quality resulted in lower odds of short-term (90-day) mortality [0.63 (95% CI: 0.36–1.12), P=0.104], while patients with a higher SMI, indicating more muscle mass showed a slightly higher 90-day mortality [1.41 (95% CI: 0.74–2.74), P=0.297] (Table S2).
Correspondingly, according to cut-off-based sarcopenia detection, only patients below van der Werf’s 5th percentiles of the MRA showed higher odds of short-term death [1.52 (95% CI: 0.22–6.60), P=0.615]. Also, only for this group the probability of both overall (Table 5) and long-term survival (Figure 4B) was reduced as indicated by the increased hazard ratios [2.32 (95% CI: 1.18–4.54), P=0.015; 2.68 (95% CI: 1.25–5.74), P=0.011].
For patients below van der Werf’s 5th percentiles for the SMI hazard ratios of overall and long-term survival (Figure 4C) were slightly increased with however large confidence intervals [1.10 (95% CI: 0.67–1.79), P=0.712; 1.20 (95% CI: 0.68–2.09), P=0.530]. Similarly, for sarcopenic patients according to the SMI cut-off of Martin et al. hazard ratios for overall and long-term survival (Figure 4D) were slightly increased and confidence intervals were large [1.19 (95% CI: 0.72–1.97), P=0.492; 1.44 (95% CI: 0.78–2.64), P=0.245]. For patients defined as sarcopenic by the SMI cut-off of Prado et al. the hazard ratio for overall survival was 0.9 with however again a large confidence interval (95% CI: 0.50–1.60, P=0.710).
Discussion
This study analyzed the influence of the CT-derived SMI and MRA on survival and postoperative complications after major hepatectomy by using both the Clavien-Dindo classification and the liver surgery-specific FABIB score.
The main results were (I) a lower MRA and thus higher muscle fat amounts and a lower muscle quality were associated with more severe postoperative complications after hepatectomy according to both the Clavien-Dindo and the FABIB score; (II) there was no relevant relation of the SMI and of cut-off-based sarcopenia detection to postoperative complications. Concerning survival, (III) patients with a higher MRA and higher SMI, indicating better muscle quality and higher muscle mass had a higher probability of overall and long-term survival. Of all cut-off-based systems, only patients below the 5th percentiles of van der Werf et al. for the MRA showed a lower probability of overall and long-term survival.
Compared to the SMI, reports about the MRA in surgical patients are rare. Still, an important influence of the MRA and thus muscle quality on the outcome after surgery, as found in this study, has been suggested for other entities before. Carvalho et al. found that after surgery for gastric and colorectal carcinoma, the SMI and MRA were both associated with postoperative complications according to the Clavien-Dindo score, but only the MRA was of significant influence for major complications (score > III) (26). By van Dijik et al. it was described that the MRA was associated with low survival after periampullary surgery in patients with pancreatic cancer (27). This study however is the first which evaluated the association of the MRA to postoperative complications after hemihepatectomy. In the only other related study, an index of the radiodensity within the posterior paraspinal muscle divided by the radiodensity of subcutaneous fat was calculated and found to be a significant prognostic factor on survival for patients with hepatocellular carcinoma and hemihepatectomy (15). However, the recommended approach on how to measure the MRA is to employ a muscle-specific threshold and to include the whole abdominal muscle area, because muscle density varies between different muscle groups (16). In this study, the MRA was measured correspondingly and demonstrated to be associated with postoperative complications and survival after hemihepatectomy. Indeed, only the MRA showed a clear association with survival and postoperative complications in both the Clavien-Dindo classification and the FABIB score.
One should note that independent of surgery, a low MRA is known to be an unfavorable influence on survival in a variety of different cancer entities, e.g., malignant melanoma (28), lung cancer (24), renal cell carcinoma (29), lymphoma (30), or colorectal carcinoma (31). That is why in this study, statistical analyses were adjusted for the variable “malignancy” to define the true impact of the MRA on clinical outcome after hemihepatectomy.
The SMI was found to be associated with overall and long-term survival but not with short-term survival or postoperative complications in neither the Clavien-Dindo nor the FABIB score. In contrast to the MRA, several articles have already been published about the impact of the SMI on the outcome after hemihepatectomy. Interestingly, the results of these publications are contradictory, as well. Takagi et al. found the SMI to be predictive for lower overall survival (32), as did Harimoto et al. and Kobayashi et al. for overall survival and recurrence-free survival (8,33). On the other hand, Yabusaki et al. only described a relation to tumor recurrence and did not find an association to overall survival (11). The results of the only two other studies on Caucasian populations concerning the influence of the SMI on survival after hemihepatectomy were contradictory as well (10,12). There is thus good agreement between the literature and the findings in this study, indicating that the SMI and thus muscle mass is not a sufficient parameter to predict survival or complications after hemihepatectomy and that the MRA as a parameter of muscle quality should be considered, as well.
Moreover, all these studies used varying cut-off values to assign patients to a sarcopenic and non-sarcopenic group. As discussed before (34), using a cut-off system on continuous data results in loss of information. It is thus a strength of this study that not only cut-off-based classification systems as that of Prado et al., Martin et al., and van der Werf et al. were used but analyses of continuous non-categoric MRA and SMI data were also included. As the association of the cut-off-based sarcopenia results to postoperative complications and survival was indeed minor and not consistent, the results of this study confirm that hard cut-off values are disadvantageous. An individual’s MRA and SMI values should rather be considered as part of a continuum and if feasible continuous data analyses should be included in future studies. As both approaches, cut-off-based and continuous analyses, were evaluated in this study validity and generalizability of this study’s results for similar patient collectives with major hepatic surgery can be assumed.
A limitation of this study is the heterogeneity of the study collective. The patients received hemihepatectomy of different extent and the underlying diseases varied. However, the vast majority were cancer patients, and the analyses were adjusted for the variables “malignancy” and “surgery type” (“regular” vs. “extended hemihepatectomy”) to reduce the impact of patient heterogeneity on the study results. While the analyses were adjusted for neoadjuvant chemotherapy as well, this was not feasible for adjuvant therapy, as the overall patient number was too small to consider the large variety of individual treatments based on, e.g., histological cancer subtypes and further predictors.
In future studies, as done in this work, care should be taken to only include CT scans within the same contrast phase for MRA measurements, as the MRA changes between non-contrast-enhanced and contrast-enhanced scans. So far, many articles vary in their approach or do not provide information on the contrast phase at all, which hinders comparability of study results (16). Also, new techniques on how to measure muscle quality are expected to gain importance (1) and a contrast media independent approach by using material decomposition in dual-energy CT has recently been proposed (35), which warrants further investigation.
Conclusions
In conclusion, this study found the MRA as a parameter of muscle quality to be of higher predictive value than the SMI as a parameter of muscle quantity and continuous non-categoric analyses of the MRA and SMI superior to cut-off-based systems in prediction of survival and postoperative complications after hemihepatectomy as measured by the Clavien-Dindo classification and the liver-specific FABIB score.
In future, both parameters, the SMI and the MRA, should be assessed in patients who receive CT scans before hemihepatectomy to estimate an individual’s risk profile and initiate appropriate nutritional regimes and physiotherapy. It is also advisable to consider SMI and MRA measurement results as part of a spectrum between sarcopenic and non-sarcopenic patients rather than strictly distinguishing between values below and above defined cut-offs.
Acknowledgments
The authors would like to acknowledge “Li J, Moustafa M, Freiwald-Bibiza E, et al. Is It Feasible to Standardize a Composite Postoperative Complication Reporting System for Liver Resection? J Gastrointest Surg 2020;24(12):2748-55” as the original source of Table 1.
Funding: Marius Kemper was supported by the Clinician Scientist Program of the University Medical Center Hamburg-Eppendorf. There was no funding specifically received for this study.
Footnote
Reporting Checklist: The authors have completed the STROBE reporting checklist. Available at https://atm.amegroups.com/article/view/10.21037/atm-21-5948/rc
Data Sharing Statement: Available at https://atm.amegroups.com/article/view/10.21037/atm-21-5948/dss
Conflicts of Interest: All authors have completed the ICMJE uniform disclosure form (available at https://atm.amegroups.com/article/view/10.21037/atm-21-5948/coif). MK was supported with a partial exemption from his clinical duties by the Clinician Scientist Program of the University Medical Center Hamburg-Eppendorf. The other authors have no conflicts of interest to declare.
Ethical Statement:
Open Access Statement: This is an Open Access article distributed in accordance with the Creative Commons Attribution-NonCommercial-NoDerivs 4.0 International License (CC BY-NC-ND 4.0), which permits the non-commercial replication and distribution of the article with the strict proviso that no changes or edits are made and the original work is properly cited (including links to both the formal publication through the relevant DOI and the license). See: https://creativecommons.org/licenses/by-nc-nd/4.0/.
References
- Cruz-Jentoft AJ, Bahat G, Bauer J, et al. Sarcopenia: revised European consensus on definition and diagnosis. Age Ageing 2019;48:16-31. [Crossref] [PubMed]
- Shafiee G, Keshtkar A, Soltani A, et al. Prevalence of sarcopenia in the world: a systematic review and meta- analysis of general population studies. J Diabetes Metab Disord 2017;16:21. [Crossref] [PubMed]
- Gariballa S, Alessa A. Sarcopenia: prevalence and prognostic significance in hospitalized patients. Clin Nutr 2013;32:772-6. [Crossref] [PubMed]
- Brown JC, Harhay MO, Harhay MN. Sarcopenia and mortality among a population-based sample of community-dwelling older adults. J Cachexia Sarcopenia Muscle 2016;7:290-8. [Crossref] [PubMed]
- Shachar SS, Williams GR, Muss HB, et al. Prognostic value of sarcopenia in adults with solid tumours: A meta-analysis and systematic review. Eur J Cancer 2016;57:58-67. [Crossref] [PubMed]
- Wahlen BM, Mekkodathil A, Al-Thani H, et al. Impact of sarcopenia in trauma and surgical patient population: A literature review. Asian J Surg 2020;43:647-53. [Crossref] [PubMed]
- Xu L, Jing Y, Zhao C, et al. Preoperative computed tomography-assessed skeletal muscle index is a novel prognostic factor in patients with hepatocellular carcinoma following hepatectomy: a meta-analysis. J Gastrointest Oncol 2020;11:1040-53. [Crossref] [PubMed]
- Kobayashi A, Kaido T, Hamaguchi Y, et al. Impact of Sarcopenic Obesity on Outcomes in Patients Undergoing Hepatectomy for Hepatocellular Carcinoma. Ann Surg 2019;269:924-31. [Crossref] [PubMed]
- Harimoto N, Yoshizumi T, Shimokawa M, et al. Sarcopenia is a poor prognostic factor following hepatic resection in patients aged 70 years and older with hepatocellular carcinoma. Hepatol Res 2016;46:1247-55. [Crossref] [PubMed]
- Kroh A, Uschner D, Lodewick T, et al. Impact of body composition on survival and morbidity after liver resection in hepatocellular carcinoma patients. Hepatobiliary Pancreat Dis Int 2019;18:28-37. [Crossref] [PubMed]
- Yabusaki N, Fujii T, Yamada S, et al. Adverse impact of low skeletal muscle index on the prognosis of hepatocellular carcinoma after hepatic resection. Int J Surg 2016;30:136-42. [Crossref] [PubMed]
- Voron T, Tselikas L, Pietrasz D, et al. Sarcopenia Impacts on Short- and Long-term Results of Hepatectomy for Hepatocellular Carcinoma. Ann Surg 2015;261:1173-83. [Crossref] [PubMed]
- Goodpaster BH, Kelley DE, Thaete FL, et al. Skeletal muscle attenuation determined by computed tomography is associated with skeletal muscle lipid content. J Appl Physiol (1985) 2000;89:104-10. [Crossref] [PubMed]
- Rahemi H, Nigam N, Wakeling JM. The effect of intramuscular fat on skeletal muscle mechanics: implications for the elderly and obese. J R Soc Interface 2015;12:20150365. [Crossref] [PubMed]
- Hamaguchi Y, Kaido T, Okumura S, et al. Preoperative intramuscular adipose tissue content is a novel prognostic predictor after hepatectomy for hepatocellular carcinoma. J Hepatobiliary Pancreat Sci 2015;22:475-85. [Crossref] [PubMed]
- Poltronieri TS, de Paula NS, Chaves GV. Assessing skeletal muscle radiodensity by computed tomography: An integrative review of the applied methodologies. Clin Physiol Funct Imaging 2020;40:207-23. [Crossref] [PubMed]
- Aubrey J, Esfandiari N, Baracos VE, et al. Measurement of skeletal muscle radiation attenuation and basis of its biological variation. Acta Physiol (Oxf) 2014;210:489-97. [Crossref] [PubMed]
- Higashi T, Hayashi H, Taki K, et al. Sarcopenia, but not visceral fat amount, is a risk factor of postoperative complications after major hepatectomy. Int J Clin Oncol 2016;21:310-9. [Crossref] [PubMed]
- Dindo D, Demartines N, Clavien PA. Classification of surgical complications: a new proposal with evaluation in a cohort of 6336 patients and results of a survey. Ann Surg 2004;240:205-13. [Crossref] [PubMed]
- Li J, Moustafa M, Freiwald-Bibiza E, et al. Is It Feasible to Standardize a Composite Postoperative Complication Reporting System for Liver Resection? J Gastrointest Surg 2020;24:2748-55. [Crossref] [PubMed]
- Kemper M, Heumann A, Freiwald-Bibiza E, et al. Liver surgery-specific complications are an independent factor influencing long-term survival following major hepatectomy. HPB (Oxford) 2021;23:1496-505. [Crossref] [PubMed]
- Gomez-Perez SL, Haus JM, Sheean P, et al. Measuring Abdominal Circumference and Skeletal Muscle From a Single Cross-Sectional Computed Tomography Image: A Step-by-Step Guide for Clinicians Using National Institutes of Health ImageJ. JPEN J Parenter Enteral Nutr 2016;40:308-18. [Crossref] [PubMed]
- Prado CM, Lieffers JR, McCargar LJ, et al. Prevalence and clinical implications of sarcopenic obesity in patients with solid tumours of the respiratory and gastrointestinal tracts: a population-based study. Lancet Oncol 2008;9:629-35. [Crossref] [PubMed]
- Martin L, Birdsell L, Macdonald N, et al. Cancer cachexia in the age of obesity: skeletal muscle depletion is a powerful prognostic factor, independent of body mass index. J Clin Oncol 2013;31:1539-47. [Crossref] [PubMed]
- van der Werf A, Langius JAE. Percentiles for skeletal muscle index, area and radiation attenuation based on computed tomography imaging in a healthy Caucasian population. Eur J Clin Nutr 2018;72:288-96. [Crossref] [PubMed]
- Carvalho ALM, Gonzalez MC, Sousa IM, et al. Low skeletal muscle radiodensity is the best predictor for short-term major surgical complications in gastrointestinal surgical cancer: A cohort study. PLoS One 2021;16:e0247322. [Crossref] [PubMed]
- van Dijk DPJ, Bakers FCH, Sanduleanu S, et al. Myosteatosis predicts survival after surgery for periampullary cancer: a novel method using MRI. HPB (Oxford) 2018;20:715-20. [Crossref] [PubMed]
- Sabel MS, Lee J, Cai S, et al. Sarcopenia as a prognostic factor among patients with stage III melanoma. Ann Surg Oncol 2011;18:3579-85. [Crossref] [PubMed]
- Antoun S, Lanoy E, Iacovelli R, et al. Skeletal muscle density predicts prognosis in patients with metastatic renal cell carcinoma treated with targeted therapies. Cancer 2013;119:3377-84. [Crossref] [PubMed]
- Chu MP, Lieffers J, Ghosh S, et al. Skeletal muscle radio-density is an independent predictor of response and outcomes in follicular lymphoma treated with chemoimmunotherapy. PLoS One 2015;10:e0127589. [Crossref] [PubMed]
- Kroenke CH, Prado CM, Meyerhardt JA, et al. Muscle radiodensity and mortality in patients with colorectal cancer. Cancer 2018;124:3008-15. [Crossref] [PubMed]
- Takagi K, Yagi T, Yoshida R, et al. Sarcopenia and American Society of Anesthesiologists Physical Status in the Assessment of Outcomes of Hepatocellular Carcinoma Patients Undergoing Hepatectomy. Acta Med Okayama 2016;70:363-70. [PubMed]
- Harimoto N, Shirabe K, Yamashita YI, et al. Sarcopenia as a predictor of prognosis in patients following hepatectomy for hepatocellular carcinoma. Br J Surg 2013;100:1523-30. [Crossref] [PubMed]
- Kemper M, Molwitz I, Krause L, et al. Are muscle parameters obtained by computed tomography associated with outcome after esophagectomy for cancer? Clin Nutr 2021;40:3729-40. [Crossref] [PubMed]
- Molwitz I, Leiderer M, McDonough R, et al. Skeletal muscle fat quantification by dual-energy computed tomography in comparison with 3T MR imaging. Eur Radiol 2021;31:7529-39. [Crossref] [PubMed]

