Cannabidiol attenuates methamphetamine-induced cardiac inflammatory response through the PKA/CREB pathway in rats
Introduction
Methamphetamine (MA) is a highly addictive class of synthetic stimulant and one of the most popular drugs of abuse worldwide (1). Thus, MA abuse is a major global public health problem (2). The molecular structure of MA consists of a methyl group added to the base structure of amphetamine (see Figure 1A), and MA can affect the central nervous system by increasing catecholamine expression via multiple mechanisms (3,4). However, MA is a sympathomimetic amine substance, and can have a series of side effects on multiple organs following overdose and chronic administration (5,6). Notably, cardiovascular injury caused by MA use has gained recent attention.
A recent retrospective study showed that MA use promotes the early onset of cardiovascular diseases (CVDs) and induces its complications, especially in young adults (7). Changes in cardiovascular pathology have been reported in 68% of MA poisoning-related deaths (8), and CVD is the 2nd leading cause of death among MA abusers, after accidental drug toxicity (9). Inflammation is an important risk factor for CVD, and plays a key role in MA-induced cardiac injury. Reactive oxygen species generation, mitochondrial dysfunction, apoptosis, and intracellular calcium homeostasis defects induced by MA may potentiate the cardiac inflammatory process (10). However, the molecular mechanism of myocardial inflammation induced by MA exposure has not yet been fully elucidated. The cyclic adenosine monophosphate (cAMP)/protein kinase A (PKA)/cAMP response element-binding (CREB) signal transduction pathway is involved in a variety of physiological and pathological processes and has been shown to remarkably increase interleukin (IL)-6 in cardiac fibroblasts (11). However, it is not yet known whether the cAMP/PKA/CREB signaling pathway is involved in MA-induced myocardial inflammation.
Many studies have found compelling evidence of cardiovascular dysfunction; however, the Food and Drug Administration has not approved any specific treatments or drugs for cardiac complications caused by MA. Cannabidiol (CBD) (see Figure 1B) is a non-psychoactive component of Cannabis sativa, which is considered safe and well tolerated in high doses and chronic use (12). CBD produces multiple effects, including immunosuppression, anti-inflammation and anti-fibrosis (13,14), and has been applied in the treatment of epilepsy, schizophrenia, addiction, and anxiety (15,16). However, it is unclear whether CBD has a protective effect on MA-induced cardiac inflammation.
In the present study, we evaluated the protective effects of CBD on cardiac inflammation induced by MA and the expression of key factors of the PKA/CREB pathway in the myocardium of rats, which may provide a novel strategy for the treatment of cardiotoxicity induced by MA abuse. We present the following article in accordance with the ARRIVE reporting checklist (available at https://atm.amegroups.com/article/view/10.21037/atm-22-4082/rc).
Methods
Reagents and chemicals
We legally obtained MA (with a purity >98%) from the Yunnan Provincial Public Security Department. The MA was dissolved in saline to 10 mg/mL and administered at a dose of 10 mg/kg via intraperitoneal (IP) injection. The dose of MA was based on a previous study, with a slight adjustment (17). The CBD was purchased from Hebei Fan Zhang Tang Commercial and Animal Husbandry Co., Ltd. (Cat. #: 13956-29-1, Hebei, China). CBD was dissolved to 40 mg/mL in a saline vehicle solution of 5% dimethyl sulfoxide (DMSO) and 5% polysorbate 80 (Tween-80) and then intraperitoneally administered at doses of 40 and 80 mg/kg. The CBD dosages were selected according to the results of our previous study (18).
Animals and experimental design
A total of 30 male Sprague-Dawley rats (aged: 6 weeks old, weighing: 180–220 g) were purchased from the Laboratory Animal Center of Kunming Medical University (KMU). All the animal studies were performed in accordance with the Guidelines for the Care and Use of Laboratory Animals of KMU, and all the experimental procedures were approved by the Ethics Committee on Animal Care and Use of KMU (approval code: kmmu2020403). A protocol was prepared before the study without registration. The rats were housed together (6 rats per cage) and provided with free access to food and water under standard conditions (room temperature of 22±1 ℃, humidity of 50–60%, and 12-h:12-h light: dark cycle). All the rats were acclimatized to the new environment for 3 days before the start of the experiments.
The rats were randomly divided into the following 5 experimental groups (n=6/group): (I) the solvent control group (saline solution containing 5% DMSO +5% Tween-80, 10 mL/kg, IP); (II) the CBD80 group (CBD, 80 mg/kg, IP); (III) the MA group (MA, 10 mg/kg, IP); (IV) the CBD40 (40 mg/kg) + MA group; and (V) the CBD80 (80 mg/kg) + MA group. The rats received MA or CBD once a day (at 09:00 am) for 4 weeks, and the MA (10 mg/kg) injections were administered 1 h after CBD treatment (40 or 80 mg/kg, IP). The rats were weighed weekly for dose adjustment.
All the rats were euthanized by 10% chloral hydrate (3 mL/kg) 24 h after the last injection. Blood (for serum) was collected by cardiac puncture, and the hearts were also collected. Some hearts were fixed in 4% paraformaldehyde solution, and some hearts were stored at −80 ℃ awaiting further analysis. The experimental protocols are shown in Figure 1C.
Histopathological examination
The hearts were fixed in 4% paraformaldehyde solution, dehydrated, embedded in paraffin wax, and sliced into 5-µm thick sections (RM2235, Leica, Germany). The sections were then stained with hematoxylin and eosin (H&E) to assess the inflammatory changes in the tissue and with Masson’s trichrome to assess the fibrotic changes. The heart tissue sections were examined using a digital pathological section scanning system (KF-PRO-005-EX, KFBIO, Ningbo, China) (19).
Enzyme linked immunosorbent assay (ELISA)
The serum levels of pro-inflammatory cytokine IL-6 and anti-inflammatory cytokine IL-10 were measured using rat ELISA kits (Mlbio, Shanghai, China) in accordance with the manufacturer’s protocols. Absorbance was recorded at 450 nm.
Western blot analysis
The left ventricles of the hearts were dissected and lysed in enhanced radioimmunoprecipitation assay lysis buffer containing 1% protease inhibitor and 1% phosphatase inhibitor on ice for 30 min, and then centrifuged at 12,000 rpm for 15 min at 4 ℃. The protein concentrations were measured using an enhanced bicinchoninic acid protein assay kit. Equal amounts of protein (50 µg) were separated via 12% sodium dodecyl sulfate-polyacrylamide gel and transferred with a constant current onto 0.45-µm polyvinylidene fluoride membranes. The membranes were sealed with non-fat dry milk for 2 h at room temperature, and then incubated overnight at 4 ℃ with primary antibodies: rabbit anti-PKA (Proteintech, IL, USA, 1:1,000), rabbit anti-p-PKA (Abcam, Cambridge, UK, 1:1,000), rabbit anti-CREB (Proteintech, IL, USA, 1:1,000), rabbit anti-p-CREB (CST, Massachusetts, USA, 1:1,000), rabbit anti-cardiac troponin I (cTnI) (Proteintech, IL, USA, 1:2,000), and rabbit anti-glyceraldehyde 3-phosphate dehydrogenase (anti-GAPDH) (Servicebio, Wuhan, China, 1:2,000). The membranes were incubated with horseradish peroxidase-linked anti-rabbit immunoglobulin G (IgG) secondary antibody (Abbkine, Wuhan, China, 1:5,000) for 1.5 h at room temperature. The membranes were detected using an ultra-high sensitivity electrochemiluminescence kit (Biosharp, Beijing, China), and images were captured by the Bio-Rad imaging system (Bio-Rad, Hercules, California, USA). Protein bands were determined by Image J software and the intensities of each band were normalized to GAPDH.
Statistical analysis
All the data are expressed as the mean ± standard deviation (SD). The statistical analyses were performed with SPSS v21.0 (IBM SPSS, Chicago, USA), and graphs were constructed using GraphPad Prism v6.0 (GraphPad Software, USA). A one-way analysis of variance was used to analyze the experimental data, followed by Tukey’s post-hoc tests to compare individual groups. A P value <0.05 was considered statistically significant.
Results
Effects of CBD on MA-induced body and heart weight changes in rats
There was no significant difference between the general status of the rats in each group before and 4 weeks after modeling. Body weight was measured before drug injection and at 1 to 4 weeks after drug administration, but no significant difference was found among the groups after 4 weeks of drug administration (see Figure 2A; control: 339.25±8.10 g, CBD80: 321.50±11.03 g, MA: 329.75±2.63 g, CBD40 + MA: 305.25±44.25 g, CBD80 + MA: 304.00±38.44 g, P>0.05). The heart weight of the MA group increased compared to that of the control group (see Figure 2B; control: 1.28±0.08 g, MA: 1.52±0.09 g, P<0.05). Notably, 1-h pretreatment with 80 mg/kg of CBD significantly reduced MA-induced cardiomegaly compared to the MA group (see Figure 2B; CBD80 + MA: 1.13±0.08 g, P<0.001). The heart-to-body weight ratio of the MA group increased compared to that of the control group (see Figure 2C; control: 3.78±0.24 mg/g, MA: 4.61±0.27 mg/g, P<0.05), while CBD (80 mg/kg) pretreatment for 1 h reduced the ratio compared to the MA group (see Figure 2C; CBD80 + MA: 3.74±0.33 mg/g, P<0.01). These results suggest that chronic exposure to MA for 4 weeks can induce cardiomegaly in rats to some extent, which can be inhibited by the administration of CBD (80 mg/kg).
CBD attenuates MA-induced cardiac inflammatory response
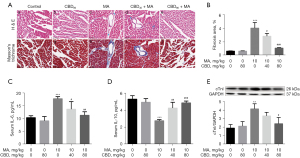
Three methods were measured to assess the cardiac inflammatory response in rats induced by MA. The infiltration of inflammatory cells in myocardium was observed by H&E staining. Myocardial fibrosis, a progressive pathological process of chronic inflammation, was observed by Masson’s trichrome staining. The levels of IL-6 and IL-10 in serum were detected by ELISA. The H&E-stained heart tissues in the control and CBD80 groups were almost normal (see Figure 3A-a and -b). MA can induce myocardial fiber disorder, mild vacuolization, and karyolysis, as well as distinct mononuclear inflammatory infiltration in interstitial spaces or around blood vessels. Focal mononuclear inflammatory infiltration (see Figure 3A-c) in the perivascular or interstitial spaces was observed in the MA group. However, pretreatment with 40 or 80 mg/kg CBD for 1 h before MA administration resulted in the gradual and effective suppression of cardiac lesions. Only slight mononuclear inflammatory infiltration (see Figure 3A-d) in the interstitial spaces or around the blood vessels was observed in the CBD40 + MA group. Further, CBD80 + MA group had myocardial cell degeneration (see Figure 3A-e). Masson’s trichrome staining was used to evaluate fibrosis in the myocardium, resulting in blue-brown-stained nuclei, red-stained cytoplasm and myofiber, and blue-stained collagen fibers. There was almost no myocardial fibrosis in the control and CBD80 groups (see Figure 3A-f and -g). Blue-stained collagen fibrils (see Figure 3A-h) in the perivascular and interstitial spaces was observed in the MA group. Only slight fibrosis (see Figure 3A-i) in the interstitial spaces or around the blood vessels was observed in the CBD40 + MA group. Further, CBD80 + MA group had almost no fibrosis (see Figure 3A-j). As Figure 3B shows, the fibrosis content (percent fibrosis area) was significantly increased in the MA group (4.03±0.82, P<0.001) than the control group (0.61±0.04). However, pretreatment with 40 or 80 mg/kg CBD reduced the fibrosis content compared to that of the MA group (CBD40 + MA: 2.83±0.41, P<0.05, CBD80 + MA: 1.06±0.07, P<0.001). The IL-6 serum level of the MA group was significantly increased compared to that of the control group (see Figure 3C; control: 10.36±0.73 pg/mL, MA: 17.72±0.84 pg/mL, P<0.001). However, IL-6 expression decreased following CBD pretreatment (see Figure 3C; CBD40 + MA: 13.66±2.95 pg/mL, P<0.05; CBD80 + MA: 11.27±1.39 pg/mL, P<0.01). Additionally, MA significantly reduced the expression of IL-10 compared to that of the control group (see Figure 3D; control: 5.29±0.40 pg/mL, MA: 2.76±0.13 pg/mL, P<0.001), while CBD pretreatment increased the level of IL-10 (see Figure 3D; CBD40 + MA: 4.25±0.68 pg/mL, P<0.01; CBD80 + MA: 4.85±0.21 pg/mL, P<0.001).
To assess the protective effects of CBD on MA-induced myocardial damage, we evaluated the left ventricle level of cTnI, an important biomarker of myocardial necrosis. MA significantly increased the expression of cTnI compared to that of the control group (see Figure 3E; control: 1.89±0.41, MA: 4.15±0.60, P<0.01), while pretreatment with 80 mg/kg CBD attenuated the level of cTnI compared to that of the MA group (see Figure 3E; CBD80 + MA: 2.41±0.73, P<0.05), but no effect was observed under 40 mg/kg CBD.
CBD downregulates PKA, p-PKA, CREB, and p-CREB expression in the left ventricle following MA-induced cardiotoxicity
As Figure 4A shows, the expression levels of PKA (1.29±0.09, P<0.01) and p-PKA (1.64±0.13, P<0.05) were significantly higher in the MA group than the control group (PKA: 0.57±0.06, p-PKA: 1.18±0.10). However, pretreatment with 40 or 80 mg/kg CBD reduced the expression levels of PKA and p-PKA compared to that of the MA group, and 80 mg/kg of CBD was the most effective dose (PKA: CBD40 + MA: 0.81±0.25, P<0.05, CBD80 + MA: 0.68±0.14, P<0.01; p-PKA: CBD40 + MA: 1.06±0.22, P<0.01, CBD80 + MA: 0.85±0.07, P<0.001). As Figure 4B shows, the expression levels of CREB (2.76±0.18, P<0.01) and p-CREB (2.76±0.15, P<0.05) were significantly higher in the MA group than the control group (CREB: 1.42±0.48, p-CREB: 1.77±0.18). However, pretreatment with 40 or 80 mg/kg CBD reduced the expression levels of CREB and p-CREB compared to that of the MA group (CREB: CBD40 + MA: 1.52±0.09, P<0.01, CBD80 + MA: 1.24±0.29, P<0.01; p-CREB: CBD40 + MA: 1.70±0.40, P<0.05, CBD80 + MA: 1.58±0.48, P<0.01).
Discussion
Body mass index and heart weight are significantly higher in MA abusers than non-MA users (20). In the current study, the heart weight and relative heart weight of the MA group were higher than those of the control group, which is consistent with findings for mice (i.e., the relative heart weight was increased, and the dose of MA was gradually increased 4–5 mg/week for 8 weeks to 35 mg/kg or 2 mg/week for 20 weeks to 40 mg/kg) (21). Conversely, other research has reported no significant differences in the relative heart weight in rats after an acute dose of 50 mg/kg MA (22). These discrepancies could be explained by the different concentrations and treatment times of MA administration, the animal species tested, and the specific experimental protocols used. The current study is also the first to report on the protective effects of CBD (80 mg/kg) against MA-induced cardiomegaly in rats.
Myocyte hypertrophy, myocarditis, endocarditis, pericarditis, perivascular and interstitial fibrosis, fiber necrosis, collagen deposition, and subendocardial myocardial infarction are involved in many MA-toxicity deaths (9,20). The non-specific cardiac histopathology observed in our study following MA exposure is similar to that observed in previous studies (20,21). However, CBD pretreatment alleviated these lesions to a certain extent.
A study of human samples showed that the serum levels of IL-6, IL-18, and tumor necrosis factor alpha (TNF-α) were significantly more increased in chronic MA users than control subjects, and these pro-inflammatory cytokines may play a key role in the psychopathological symptoms induced by MA (23). Long-term MA administration in ApoE−/− mice led to a significant increase in the levels of plasma C-reactive protein, inflammatory cytokines, and neuropeptide Y in the aortic root and myocardial tissue, which promoted inflammation and atherosclerosis (24). Acute exposure to MA in mice (30 mg/kg for 6 h) also resulted in a significant increase in serum IL-6, TNF-α, and IL-10 (25). These studies indicate that inflammation plays a key role in myocardial damage induced by MA. In the present study, IL-6 increased and IL-10 decreased, after MA administration, but these changes were reversed by CBD (40 or 80 mg/kg), which suggests that CBD may have anti-inflammatory protective effects on myocardial damage induced by MA.
Previous research has indicated that CBD treatment (2 µg/µL) inhibits the increase in IL-1β mRNA expression in the prefrontal cortex of rats following MA exposure (26). Further, CBD treatment (1.5 mg/kg, IP, 10 weeks) can significantly decrease pro-inflammatory cytokine IL-23, its receptor, CXC ligand 9 (CXCL-9), and CXCL-11 in mice with spinal cord injury, but not IL-6 or interferon (INF)-γ (27). In rats with myocardial ischemic reperfusion injury, CBD (5 mg/kg, IP, 7 days) was shown to reduce infract size, myocardial inflammation, and serum IL-6 (28). Myocarditis, focal and diffuse myocardial fibrosis, and myocardial dysfunction have been reported in patients with pheochromocytoma, indicating that catecholamine toxicity may lead to myocarditis and myocardial fibrosis (29). This was supported by our findings that MA induced a cardiac inflammatory response and myocardial fibrosis, but these effects were attenuated by CBD. Thus, CBD exhibited considerable preventive effects against cardiac damage induced by MA exposure, which may be mediated by a reduced inflammatory response.
Autopsy studies have shown high cTnI expression in fatal MA abusers, with creatine kinase myocardial band (CK-MB) levels also increased in the cardiac and peripheral blood (30) and pericardial and cerebrospinal fluids of MA abusers (31). Elevated levels of cTnI and CK-MB are indicative of increased myocardial necrosis, as found in our study following MA administration. However, we also found that CBD (80 mg/kg) pretreatment decreased cTnI levels compared to the MA group, which suggests that a high dose of CBD may have a protective effect on cardiac damage. Similar findings have been reported in rabbits with acute myocardial infraction. Specifically, CBD administration (100 µg/kg) was shown to significantly decrease the plasma levels of cTnI and reduce ischemic injury in the myocardium (32).
The distribution of MA in the major organs of MA-sensitized rats is reported to be higher in the brain and heart than in the kidney, blood, and abdominal muscle, and the delayed efflux of MA in the heart may be associated with cardiac toxicity (33). Various pathological mechanisms have been investigated; however, the mechanism underlying myocardial injury caused by MA remains unclear. Our data showed that the PKA/CREB signaling pathway was activated and p-PKA and p-CREB increased in rats receiving chronic MA administration. These findings suggest that the PKA/CREB pathway participated in MA-induced myocardial inflammation and myocardial pathology. PKA is the key kinase for CREB phosphorylation, and CREB plays an important role in drug addiction (34). PKA, p-PKA, CREB, and p-CREB are highly expressed in different brain regions of MA-induced conditioned place preference rats and in SH-SY5Y cells but can be inhibited by gastrodin (35). The cAMP/PKA/CREB pathway is also involved in the apoptosis of cortical neurons induced by MA, but can be regulated by the neuroprotective effects of gastrodin (36). In this study, the expression levels of PKA, p-PKA, CREB, and p-CREB decreased following CBD pretreatment, which suggests that CBD may attenuate cardiotoxicity by mediating the PKA/CREB signaling pathway.
This study is the first to report on the protective effects of CBD, which included the inhibition of cardiomegaly, and the attenuation of the inflammatory response, myocardium fibrosis and necrosis, on cardiotoxicity elicited by chronic MA exposure in rats. The results showed that CBD at 40 and 80 mg/kg had a protective effect on MA-induced cardiac damage, but the effect was strongest at 80 mg/kg. These findings are similar to a previous study that showed that CBD at 80 mg/kg, but not 40 mg/kg, reduced the motivation to self-administered MA and drug-seeking behavior after extinction (37).
In summary, our study demonstrated that chronic MA administration induced cardiotoxicity in rats, with a notable increase in the inflammatory response. Interestingly, CBD pretreatment significantly reduced the inflammatory response and myocardial necrosis via the PKA/CREB pathway. These results indicate that CBD may have potential clinical application for the treatment of MA-induced cardiotoxicity. However, the specific molecular mechanism of MA-induced cardiotoxicity and the protective effects of CBD need to be further investigated. Meanwhile, to explore the therapeutic effects of CBD with a protocol of CBD administration after MA injection is our future work.
Acknowledgments
Funding: This work was supported by the National Natural Science Foundation of China (grant Nos. 81760337 and 81860332), the Research Project of the National Health Commission Key Laboratory of Drug Addiction Medicine, Kunming Medical University (grant No. 2020DAMARC-002), and the Scientific Research Foundation of Education Department of Yunnan Province (grant No. 2021Y328).
Footnote
Reporting Checklist: The authors have completed the ARRIVE reporting checklist. Available at https://atm.amegroups.com/article/view/10.21037/atm-22-4082/rc
Data Sharing Statement: Available at https://atm.amegroups.com/article/view/10.21037/atm-22-4082/dss
Conflicts of Interest: All authors have completed the ICMJE uniform disclosure form (available at https://atm.amegroups.com/article/view/10.21037/atm-22-4082/coif). QN reports that this work was supported by the Scientific Research Foundation of Education Department of Yunnan Province (grant No. 2021Y328). SH reports that this work was supported by the National Natural Science Foundation of China (grant No. 81760337) and the Research Project of the National Health Commission Key Laboratory of Drug Addiction Medicine, Kunming Medical University (grant No. 2020DAMARC-002). LL reports that this work was supported by the National Natural Science Foundation of China (grant No. 81860332). The other authors have no conflicts of interest to declare.
Ethical Statement: The authors are accountable for all aspects of the work in ensuring that questions related to the accuracy or integrity of any part of the work are appropriately investigated and resolved. All the animal studies were performed in accordance with the Guidelines for the Care and Use of Laboratory Animals of KMU, and all the experimental procedures were approved by the Ethics Committee on Animal Care and Use of KMU (approval code: kmmu2020403).
Open Access Statement: This is an Open Access article distributed in accordance with the Creative Commons Attribution-NonCommercial-NoDerivs 4.0 International License (CC BY-NC-ND 4.0), which permits the non-commercial replication and distribution of the article with the strict proviso that no changes or edits are made and the original work is properly cited (including links to both the formal publication through the relevant DOI and the license). See: https://creativecommons.org/licenses/by-nc-nd/4.0/.
References
- United Nations, World Drug Report 2021, United Nations publication, Sales No. E.21.XI.8.
- Kohno M, Beste C, Pilhatsch M. Editorial: The Global Methamphetamine Problem: Approaches to Elucidate the Neurobiology, Epidemiology, and Therapeutic Effectiveness. Front Psychiatry 2020;11:850. [Crossref] [PubMed]
- Shaerzadeh F, Streit WJ, Heysieattalab S, et al. Methamphetamine neurotoxicity, microglia, and neuroinflammation. J Neuroinflammation 2018;15:341. [Crossref] [PubMed]
- Sankaran D, Lakshminrusimha S, Manja V. Methamphetamine: burden, mechanism and impact on pregnancy, the fetus, and newborn. J Perinatol 2022;42:293-9. [Crossref] [PubMed]
- Isoardi KZ, Mudge DW, Harris K, et al. Methamphetamine intoxication and acute kidney injury: A prospective observational case series. Nephrology (Carlton) 2020;25:758-64. [Crossref] [PubMed]
- Gurel A. Multisystem toxicity after methamphetamine use. Clin Case Rep 2016;4:226-7. [Crossref] [PubMed]
- Batra V, Murnane KS, Knox B, et al. Early onset cardiovascular disease related to methamphetamine use is most striking in individuals under 30: A retrospective chart review. Addict Behav Rep 2022;15:100435. [Crossref] [PubMed]
- Akhgari M, Mobaraki H, Etemadi-Aleagha A. Histopathological study of cardiac lesions in methamphetamine poisoning-related deaths. Daru 2017;25:5. [Crossref] [PubMed]
- Darke S, Duflou J, Kaye S. Prevalence and nature of cardiovascular disease in methamphetamine-related death: A national study. Drug Alcohol Depend 2017;179:174-9. [Crossref] [PubMed]
- Reddy PKV, Ng TMH, Oh EE, et al. Clinical Characteristics and Management of Methamphetamine-Associated Cardiomyopathy: State-of-the-Art Review. J Am Heart Assoc 2020;9:e016704. [Crossref] [PubMed]
- Tanaka S, Imaeda A, Matsumoto K, et al. β2-adrenergic stimulation induces interleukin-6 by increasing Arid5a, a stabilizer of mRNA, through cAMP/PKA/CREB pathway in cardiac fibroblasts. Pharmacol Res Perspect 2020;8:e00590. [Crossref] [PubMed]
- Shayesteh MRH, Haghi-Aminjan H, Mousavi MJ, et al. The Protective Mechanism of Cannabidiol in Cardiac Injury: A Systematic Review of Non-Clinical Studies. Curr Pharm Des 2019;25:2499-507. [Crossref] [PubMed]
- Nichols JM, Kaplan BLF. Immune Responses Regulated by Cannabidiol. Cannabis Cannabinoid Res 2020;5:12-31. [Crossref] [PubMed]
- Sunda F, Arowolo A. A molecular basis for the anti-inflammatory and anti-fibrosis properties of cannabidiol. FASEB J 2020;34:14083-92. [Crossref] [PubMed]
- Devinsky O, Cilio MR, Cross H, et al. Cannabidiol: pharmacology and potential therapeutic role in epilepsy and other neuropsychiatric disorders. Epilepsia 2014;55:791-802. [Crossref] [PubMed]
- Sands TT, Rahdari S, Oldham MS, et al. Long-Term Safety, Tolerability, and Efficacy of Cannabidiol in Children with Refractory Epilepsy: Results from an Expanded Access Program in the US. CNS Drugs 2019;33:47-60. [Crossref] [PubMed]
- Meng X, Zhang C, Guo Y, et al. TBHQ Attenuates Neurotoxicity Induced by Methamphetamine in the VTA through the Nrf2/HO-1 and PI3K/AKT Signaling Pathways. Oxid Med Cell Longev 2020;2020:8787156. [Crossref] [PubMed]
- Yang G, Liu L, Zhang R, et al. Cannabidiol attenuates methamphetamine-induced conditioned place preference via the Sigma1R/AKT/GSK-3β/CREB signaling pathway in rats. Toxicol Res (Camb) 2020;9:202-11. [Crossref] [PubMed]
- Song Z, Zou S, Zhou W, et al. Clinically applicable histopathological diagnosis system for gastric cancer detection using deep learning. Nat Commun 2020;11:4294. [Crossref] [PubMed]
- Abdullah CS, Aishwarya R, Alam S, et al. Methamphetamine induces cardiomyopathy by Sigmar1 inhibition-dependent impairment of mitochondrial dynamics and function. Commun Biol 2020;3:682. [Crossref] [PubMed]
- Marcinko MC, Darrow AL, Tuia AJ, et al. Sex influences susceptibility to methamphetamine cardiomyopathy in mice. Physiol Rep 2019;7:e14036. [Crossref] [PubMed]
- Islam MN, Khan J, Jaafar H. Leave methamphetamine to be alive--Part II. Leg Med (Tokyo) 2009;11:S143-6. [Crossref] [PubMed]
- Luo Y, He H, Ou Y, et al. Elevated serum levels of TNF-α, IL-6, and IL-18 in chronic methamphetamine users. Hum Psychopharmacol 2022;37:e2810. [Crossref] [PubMed]
- Gao B, Li L, Zhu P, et al. Chronic administration of methamphetamine promotes atherosclerosis formation in ApoE-/- knockout mice fed normal diet. Atherosclerosis 2015;243:268-77. [Crossref] [PubMed]
- Tomita M, Katsuyama H, Watanabe Y, et al. Water-restraint stress enhances methamphetamine-induced cardiotoxicity. Chem Biol Interact 2011;190:54-61. [Crossref] [PubMed]
- Karimi-Haghighi S, Dargahi L, Haghparast A. Cannabidiol modulates the expression of neuroinflammatory factors in stress- and drug-induced reinstatement of methamphetamine in extinguished rats. Addict Biol 2020;25:e12740. [Crossref] [PubMed]
- Li H, Kong W, Chambers CR, et al. The non-psychoactive phytocannabinoid cannabidiol (CBD) attenuates pro-inflammatory mediators, T cell infiltration, and thermal sensitivity following spinal cord injury in mice. Cell Immunol 2018;329:1-9. [Crossref] [PubMed]
- Durst R, Danenberg H, Gallily R, et al. Cannabidiol, a nonpsychoactive Cannabis constituent, protects against myocardial ischemic reperfusion injury. Am J Physiol Heart Circ Physiol 2007;293:H3602-7. [Crossref] [PubMed]
- Ferreira VM, Marcelino M, Piechnik SK, et al. Pheochromocytoma Is Characterized by Catecholamine-Mediated Myocarditis, Focal and Diffuse Myocardial Fibrosis, and Myocardial Dysfunction. J Am Coll Cardiol 2016;67:2364-74. [Crossref] [PubMed]
- Zhu BL, Ishikawa T, Michiue T, et al. Postmortem cardiac troponin I and creatine kinase MB levels in the blood and pericardial fluid as markers of myocardial damage in medicolegal autopsy. Leg Med (Tokyo) 2007;9:241-50. [Crossref] [PubMed]
- Wang Q, Michiue T, Ishikawa T, et al. Combined analyses of creatine kinase MB, cardiac troponin I and myoglobin in pericardial and cerebrospinal fluids to investigate myocardial and skeletal muscle injury in medicolegal autopsy cases. Leg Med (Tokyo) 2011;13:226-32. [Crossref] [PubMed]
- Feng Y, Chen F, Yin T, et al. Pharmacologic Effects of Cannabidiol on Acute Reperfused Myocardial Infarction in Rabbits: Evaluated With 3.0T Cardiac Magnetic Resonance Imaging and Histopathology. J Cardiovasc Pharmacol 2015;66:354-63. [Crossref] [PubMed]
- Nakagawa N, Hishinuma T, Nakamura H, et al. Brain and heart specific alteration of methamphetamine (MAP) distribution in MAP-sensitized rat. Biol Pharm Bull 2003;26:506-9. [Crossref] [PubMed]
- Zhou LF, Zhu YP. Changes of CREB in rat hippocampus, prefrontal cortex and nucleus accumbens during three phases of morphine induced conditioned place preference in rats. J Zhejiang Univ Sci B 2006;7:107-13. [Crossref] [PubMed]
- Yang GM, Li L, Xue FL, et al. The Potential Role of PKA/CREB Signaling Pathway Concerned with Gastrodin Administration on Methamphetamine-Induced Conditioned Place Preference Rats and SH-SY5Y Cell Line. Neurotox Res 2020;37:926-35. [Crossref] [PubMed]
- Razavi Y, Shabani R, Mehdizadeh M, et al. Neuroprotective effect of chronic administration of cannabidiol during the abstinence period on methamphetamine-induced impairment of recognition memory in the rats. Behav Pharmacol 2020;31:385-96. [Crossref] [PubMed]
- Hay GL, Baracz SJ, Everett NA, et al. Cannabidiol treatment reduces the motivation to self-administer methamphetamine and methamphetamine-primed relapse in rats. J Psychopharmacol 2018;32:1369-78. [Crossref] [PubMed]
(English Language Editor: L. Huleatt)

