Sheng-Xue-Xiao-Ban Capsule-induced ischemic colitis and pulmonary embolism in an idiopathic thrombocytopenic purpura patient: a rare case report
Introduction
Sheng-Xue-Xiao-Ban Capsule (SXXBC) (Haoqijun Pharmaceutical Company, Shanxi, China), which is a classic Chinese traditional medicine, is widely used to treat idiopathic thrombocytopenic purpura (ITP) because of its ascending effect on platelets (1,2). SXXBC consists of natural indigo, cortex moutan, forsythia, herba agrimoniae, and licorice, whose combination exhibits a heat-clearing and detoxicating function, hemostasis, and stasis dissipation (3). The brief manufacture process of SXXBC is as follows: “Natural indigo is made into fine powder. Herba agrimoniae and cortex moutan are extracted and purified by 80% ethanol into extracta. Forsythia is soaked in water followed by distillation extraction, then mixed with licorice, and extracted and purified by 75% ethanol into extracta. The above powder and extracta are mixed then air dying, subsequently made into find powder and enclosed into capsule.” Previous studies have reported the symptoms of fever, myalgia, liver dysfunction, diarrhea, and nausea in SXXBC treated patients, but the incidence of such symptoms is low (all ≤5%) (4,5). However, report on ischemic colitis and pulmonary embolism induced by SXXBC therapy is never disclosed. This current article reports the case of an ITP patient who received SXXBC and later suffered from ischemic colitis and pulmonary embolism. We present the following article in accordance with the CARE reporting checklist (available at https://atm.amegroups.com/article/view/10.21037/atm-22-3951/rc).
Case presentation
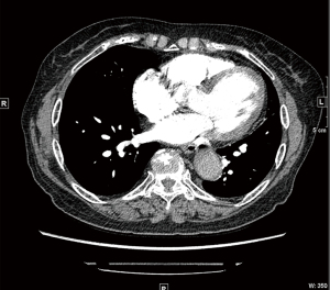
A 74-year-old female patient was admitted to the Department of Gastrointestinal Surgery in June 2021 due to “bleeding in stool for 1 day.” The blood stool (approximately 100 mL) was dark red, and the patient also complained of pain in the lower abdomen. The patient had a history of ITP and hypertension, who took prednisone acetate tablet and vincristine for ITP treatment, as well as nifedipine controlled release tablet and perindopril for hypertension treatment. Her white blood cell (WBC) count was 17.7×109/L, her hemoglobin (Hb) was 134 g/L, her platelet count was 21×109/L, and her serum potassium was 3.39 mmol/L. Her liver and kidney function indexes were normal at admission. A colonoscopy was performed after admission, which revealed multiple ulcers of various sizes in the transverse colon and descending colon (see Figure 1A-1F). Next, the pathological findings suggested chronic inflammatory cell infiltration, but no crypt, and no epithelioid granuloma. Subsequently, abdominal computed tomography (CT) was performed, which revealed the thickening of the hepatic flexure and transverse colon wall, decreased density, rough serosal surface, and exudation of the surrounding fat (see Figure 2).
On July 2, 2021, the patient was admitted to the Department of Gastroenterology due to “repeated bleeding in stool for 2 days and recurrence for 2 days.” The hematochezia was bright red, with a volume ranging from 10–20 mL and no fecal substance, about 10 times per day. The patient also complained of abdominal colic and stomach pain, fatigue, nausea, and a little chill, but no vomiting or fever. The patient’s recent weight loss had reached 2.5 kg. It was noted that apart from the common treatment drugs for ITP and hypertension, the patient had also started taking SXXBC to treat ascending platelets in the last 2 months. The results of the laboratory tests were as follows: WBC count: 8.87×109/L; Hb: 112 g/L; platelet count: 11×109/L, serum potassium: 2.96 mmol/L; and D-dimer 930.00 ng/mL. Her liver and kidney function indexes were normal. A fecal bacteriological culture was performed, and the results were negative.
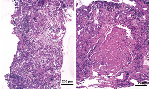
Another colonoscopy was then performed that revealed 2 shallow ulcers in the transverse colon with no white moss, and an ulceration of the sigmoid colon about 22 cm from the anus, covered with thick yellow moss and well bounded. The pathological examination results suggested (see Figure 3) that the colonic mucosa crypt structure changed, the mucosa had become thinner, and the glands were obviously atrophic and reduced; additionally, the submucosal thick wall vessels were hyperplastic; and there was 1 dilated vessel with intra-luminal thrombosis. The above symptoms are manifestations of ischemic colitis according to the American College of Gastroenterology (ACG) clinical guidelines (6).
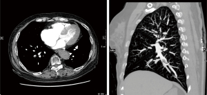
Next, the abdominal CT revealed that the transverse colon and colonic hepatic curvature were thickened and densified, the serous membrane surface was rough, and the fat exudation had improved. Subsequently, pulmonary artery computed tomography angiography (CTA) was performed, which suggested (Figure 4) multiple filling defects at the distal end of the right pulmonary artery, the distal end of the right upper pulmonary artery, the proximal end of each segment of the arteries, the dorsal segment of the right lower lung, the proximal branch of the basal segment of the artery, and the distal end of the left lower lobe of the basal segment. Thus, a diagnosis of pulmonary embolism was considered. Additionally, the thrombotic thrombocytopenic purpura (TTP) test results were negative.
From July 2, 2021, the patient was given mesalazine enteric-coated tablets for anti-inflammation, phenethylamine and carbazochrome for hemostasis, and cefoperazone sodium tazobactam sodium plus metronidazole for anti-infection. Recombinant human thrombopoietin was added on July 3 and July 5. Anti-infective treatments were stopped on July 6, as the patient was diagnosed with ischemic colitis combined with pulmonary embolism. A subcutaneous injection of low-molecular-weight heparin was administered for anticoagulant therapy. On July 17, the patient’s hematochezia had improved, and rivaroxaban anticoagulant was administered orally. The patient was then discharged.
On August 3, 2021, the patient returned to visit the Hematology Department. The patient had no abdominal pain, diarrhea, or hematochezia, and no significant change in body weight. Her laboratory test results were as follows: WBC count: 11.64×109/L, Hb: 118 g/L; platelet count: 11×109/L; serum potassium: 3.38 mmol/L, and D-dimer: 280.00 ng/mL. Her liver and kidney function indexes were normal. Reexamination of pulmonary CTA suggested that the absorption of the pulmonary embolism had largely improved (see Figure 5). In November 2021, another colonoscopy was performed, which showed no obvious abnormalities in the whole colon.
It was noted that the patient had no history of smoking or cardiovascular disease. Based on the symptoms, physical examination and auxiliary examination results, disease-induced ischemic colitis was excluded. The patient had started taken SXXBC for ascending platelets 2 months before the hematochezia appeared. The instructions for SXXBC state that hematochezia is a rare side effect of SXXBC. After stopping the administration of SXXBC, the patient’s hematochezia ceased, and her ischemic colitis was attenuated. Thus, SXXBC was considered the cause of the patient’s ischemic colitis. The pulmonary CTA suggested pulmonary embolism with negative TTP test results. According to the 2015 ACG guidelines, a hypercoagulable state is a manifestation of ischemic colitis (6), which can cause pulmonary embolism. Ultimately, the patient was diagnosed with SXXBC–induced ischemic colitis complicated by pulmonary embolism. Besides, in order to make the process clear, the timeline of the diagnosis, treatment, and prognosis of the patient was exhibited in Figure 6. All procedures performed in this study were in accordance with the ethical standards of the institutional and/or national research committee(s) and with the Declaration of Helsinki (as revised in 2013). Written informed consent was obtained from the patient for publication of this case report and accompanying images. A copy of the written consent is available for review by the editorial office of this journal.
Discussion
SXXBC is mainly composed of natural indigo, cortex moutan, forsythia, herba agrimoniae, and licorice, and has a remarkable curative effect in the treatment of ITP. This may be because (3): (I) SXXBC blocks the connection between the platelet antibody-antigen complex and Fc receptor of macrophages, triggering the downstream signaling pathways to avoid tyrosine kinase activation, and at the same time, the phagocytosis of macrophages on platelets is weakened to prevent actin polymerization and phagosome formation to increase the number of platelets; or (II) SXXBC intervenes in the phosphatidylinositol 3-kinase (PI3K)—threonine kinase 1 (Akt)—mechanistic target of rapamycin kinase (MTOR) pathway, which regulates the proliferation, apoptosis and differentiation of B cells and T cells, and reduces the production of anti-platelet autoantibodies. No serious liver and kidney toxicity adverse reactions of SXXBC have been observed in combination with hormone drugs. Additionally, it is widely used in clinical settings with long-term tolerance and has a low price and a convenient oral administration.
Ischemic colitis induced by the use of SXXBC is rare. Ischemic colitis is generated by reduced blood flow to the colon, which makes it difficult to maintain cell metabolism, which in turn leads to the acidosis, dysfunction, loss of integrity, and even the death of colon cells (7,8). Trauma to the mesenteric artery, vascular thrombosis or embolism, and surgical error ligation of the inferior mesenteric artery can lead to ischemic colitis, as can heart disease, hypertension, diabetes, and drugs that affect visceral blood flow (9-11). A previous study examined ischemic colonic mucosal injury related to natural indigo in 8 psoriasis patients who took a natural indigo compound and 5 ITP patients who took SXXBC; 5 of the patients experienced a blurred or disappeared vascular network, 7 had scattered erythema and superficial erosion of mucous membrane, and 6 had scattered superficial ulcers with longitudinal and clear boundaries (12). Another study analyzed the features of 6 patients with gastrointestinal bleeding after taking Chinese medicine containing natural indigo, and observed that all the patients had mucosal edema, hyperemia, and vascular network loss to varying degrees, as well as fibrin thrombosis in the small vessels, and 4 had scattered irregular ulcers (13). Notably, an animal experiment suggested that the natural indigo compound causes an increase in inflammatory cells and a small amount of eosinophil infiltration in colonic mucosa, and showed that the mucosa and submucosa lymphatic tissue was hyperplastic, with visual congested and dilated blood vessels (14). These findings suggests that natural indigo may have been the major cause of SXXBC-induced ischemic colitis in our current case report. This may be because (15): (I) the stimulation of natural indigo on colonic mucosa causes colonic mucosa injury; (II) natural indigo causes severe diarrhea, which leads to decreased blood volume, increased colonic pressure, vasospasm and other intestinal wall blood supply; or (III) natural indigo has the effect of cooling the blood and stopping bleeding, and has an obvious procoagulant effect, which leads to the formation of fibrin thrombosis in blood vessels, thus causing the ischemic necrosis of colon mucosa.
Ischemic colitis complicated by pulmonary embolism is very rare globally. Pulmonary embolism is one of the most common cardiovascular diseases, and most pulmonary embolisms are caused by deep vein thrombosis (16,17). Pulmonary embolism is a common cause of death in patients with myocardial infarction, cancer, stroke, and pregnancy (18-20). Patients with ischemic colitis have acquired hypercoagulability; 28–72% of ischemic colitis cases have at least 1 type of thrombosis, and the common etiologies include antiphospholipid antibodies, protein C and protein S deficiency, and antithrombin III and prothrombin gene mutations (21). After excluding other causes of pulmonary embolism, we diagnosed the patient with pulmonary embolism caused by SXXBC-induced ischemic colitis. Then, in accordance with the recent European Respiratory Society guidelines, an injection of low-molecular-weight heparin was administered followed by a 3-week treatment of rivaroxaban anticoagulant, which the patient took orally after discharge. Subsequently, the pulmonary embolism was obviously ameliorated.
Conclusively, ischemic colitis complicated with pulmonary embolism are rare; however, close attention such as regular abdominal CT test needs to be paid and preventive steps such as anti-coagulant treatment could to be taken (if symptoms occur) when treating patients with SXXBC.
Patient’s perspective
“I suffered from ITP and hypertension for years; then, on June 2021, I found blood in stool and visited Department of Gastroenterology, First Affiliated Hospital of Shantou University Medical College. The nice attending doctor told me to stay calm and arranged some examinations, and then gave me some prescriptions. After the visit and some drugs, I felt better. However, a few days later, I continued to have abdominal pain, and then I had a bleeding stool again, which lasted for 2 days. Actually, I was scared at that time, so I visited the Department of Gastroenterology, First Affiliated Hospital of Shantou University Medical College again and was hospitalized. The doctors comforted me a lot and made a series of examinations, and then carefully checked my documents. Subsequently, the doctor told me to stop taking SXXBC, and gave me the corresponding treatments. For a few days, I felt much better, and no longer suffered any pain. Now, I am fully recovered. I’m really so grateful for the doctors’ efforts.”
Acknowledgments
Funding: None.
Footnote
Reporting Checklist: The authors have completed the CARE reporting checklist. Available at https://atm.amegroups.com/article/view/10.21037/atm-22-3951/rc
Conflicts of Interest: All authors have completed the ICMJE uniform disclosure form (available at https://atm.amegroups.com/article/view/10.21037/atm-22-3951/coif). The authors have no conflicts of interest to declare.
Ethical Statement: The authors are accountable for all aspects of the work in ensuring that questions related to the accuracy or integrity of any part of the work are appropriately investigated and resolved. All procedures performed in this study were in accordance with the ethical standards of the institutional and/or national research committee(s) and with the Declaration of Helsinki (as revised in 2013). Written informed consent was obtained from the patient for publication of this case report and accompanying images. A copy of the written consent is available for review by the editorial office of this journal.
Open Access Statement: This is an Open Access article distributed in accordance with the Creative Commons Attribution-NonCommercial-NoDerivs 4.0 International License (CC BY-NC-ND 4.0), which permits the non-commercial replication and distribution of the article with the strict proviso that no changes or edits are made and the original work is properly cited (including links to both the formal publication through the relevant DOI and the license). See: https://creativecommons.org/licenses/by-nc-nd/4.0/.
References
- Shi FQ, Lyu P, He H, et al. Effect of Indirubin and Sheng-Xue-Xiao-Ban Capsule (SXXBC) on Promoting Peripheral Platelet in ITP Model Mice. Zhongguo Shi Yan Xue Ye Xue Za Zhi 2020;28:2039-45. [PubMed]
- Cai GL, He LY, Zhu Y, et al. Clinical Observation of Sheng-Xue-Xiao-Ban Capsule Combined with Prednisone in Treatment of Primary Immune Thrombocytopenia and Its Effect on Treg and Th17 Cells. Chinese Archives of Traditional Chinese Medicine 2019;37:3.
- Li LF, Chen ZH, Li SN, et al. Study on material basis and mechanism of Sheng-Xue-Xiao-Ban Capsule based on network pharmacology. Chinese Traditional Patent Medicine 2020;42:6.
- Zhu YH, Zhang ZL, Zhang R. Efficacy and safety of Sheng-Xue-Xiao-Ban Capsule in the treatment of immune thrombocytopenic purpura. Medicine Forum 2022;20:123-5.
- Liu L, Feng Y, Pang Y, et al. Observation of the Efficacy of Sheng-Xue-Xiao-Ban Capsule on the Treatment of Idiopathic Thrombocytopenic Purpura. Evaluation and Analysis of Drug-Use in Hospitals of China 2004;4:233-5.
- Brandt LJ, Feuerstadt P, Longstreth GF, et al. ACG clinical guideline: epidemiology, risk factors, patterns of presentation, diagnosis, and management of colon ischemia (CI). Am J Gastroenterol 2015;110:18-44; quiz 45. [Crossref] [PubMed]
- Xu Y, Xiong L, Li Y, et al. Diagnostic methods and drug therapies in patients with ischemic colitis. Int J Colorectal Dis 2021;36:47-56. [Crossref] [PubMed]
- Azam B, Kumar M, Mishra K, et al. Ischemic Colitis. J Emerg Med 2019;56:e85-6. [Crossref] [PubMed]
- Ruffatti A, Calligaro A, Lacognata CS, et al. Insights into the pathogenesis of catastrophic antiphospholipid syndrome. A case report of relapsing catastrophic antiphospholipid syndrome and review of the literature on ischemic colitis. Clin Rheumatol 2020;39:1347-55. [Crossref] [PubMed]
- Wongtrakul W, Charoenngnam N, Ungprasert P. The correlation between heart failure and the risk of ischemic colitis: a systematic review and meta-analysis. Ann Gastroenterol 2021;34:378-84. [Crossref] [PubMed]
- Sierra Gabarda O, Espinosa Perez M, Casas Deza D, et al. NSAID-induced ischemic colitis. Rev Esp Enferm Dig 2022;114:307. [PubMed]
- Suo BJ, Zhou LX, Ding SG, et al. The endoscopic and clinical features of Indigo Naturalis-associated ischemic lesions of colonic mucosa. Chinese Journal of Internal Medicine 2011;50:646-9. [PubMed]
- Zhang L, Duan LP, Yang WH, et al. The clinical feature and possible pathogenesis of natural indigo (Qingdai) induced hematochezia. Chinese Journal of Gastroenterology and Hepatology 2004;13:161-4.
- Duan LP, Yang WH, Lyu YM, et al. Preliminary Exploration on the Colonic Inflammatory Change Induced by Compound Indigo Pill and Its Possible Mechanism. Chinese Journal of Integrated Traditional and Western Medicine 2004;24:659-61. [PubMed]
- Wu J, Tian ZB, Xu YH, et al. Severe ischemic colitis induced by Sheng Xue-xiao-ban Capsules: A case report and literature review. World Chinese Journal of Digestology 2017;25:3000-4. [Crossref]
- Duffett L, Castellucci LA, Forgie MA. Pulmonary embolism: update on management and controversies. BMJ 2020;370:m2177. [Crossref] [PubMed]
- Waheed SM, Kudaravalli P, Hotwagner DT. Deep Vein Thrombosis. Treasure Island (FL): StatPearls, 2022.
- Jabagi MJ, Botton J, Bertrand M, et al. Myocardial Infarction, Stroke, and Pulmonary Embolism After BNT162b2 mRNA COVID-19 Vaccine in People Aged 75 Years or Older. JAMA 2022;327:80-2. [Crossref] [PubMed]
- Au C, Gupta E, Khaing P, et al. Clinical presentations and outcomes in pulmonary embolism patients with cancer. J Thromb Thrombolysis 2021;51:430-6. [Crossref] [PubMed]
- Bates SM. Pulmonary Embolism in Pregnancy. Semin Respir Crit Care Med 2021;42:284-98. [Crossref] [PubMed]
- Nikolic AL, Keck JO. Ischaemic colitis: uncertainty in diagnosis, pathophysiology and management. ANZ J Surg 2018;88:278-83. [Crossref] [PubMed]

