Risk factors and prognostic role of renal adverse event in patients receiving immune checkpoint inhibitor therapy: analysis of data from a retrospective cohort study
Introduction
Immune checkpoint inhibitors (ICIs) have attracted much attention as novel cancer therapeutic agents. They are widely used in many malignancies, such as melanoma, lung cancer, esophageal carcinoma, lymphoma, bladder cancer, renal cell carcinoma, and others (1). However, the increased antitumor activity achieved with these agents can lead to imbalances in immunological tolerance, which can result in a series of autoimmune phenomena known as immune-related adverse events (irAEs). These ICIs present new challenges for clinicians, and increased understanding of the mechanisms and response kinetics of these agents will aid the diagnosis and management of the associated irAEs.
Currently, there are multiple immune modulators used clinically, including agents targeting programmed cell death protein-1 (PD-1) or programmed cell death protein ligand-1 (PD-L1), which have shown notable clinical efficacy in the treatment of various cancers in Chinese people, and have been approved by the National Medical Products Administration (NMPA). The wide use of anti-PD-1/PD-L1 antibodies has also resulted in increasing reports of their associated irAEs. Compared to the skin, gastrointestinal tract, and liver, renal is the less common affected organ. Despite increasing recognition of RAEs, our current understanding of RAEs is limited to case reports and small case series. We therefore conducted a single center, retrospective study of Chinese Han patients with RAEs to describe the incidence of RAEs, the clinical and pathologic features associated with RAEs, the risk factors for development of RAEs and the effect of RAEs on overall survival. We present the following article in accordance with the STROBE reporting checklist (available at https://atm.amegroups.com/article/view/10.21037/atm-22-3684/rc).
Methods
Study design and population
This retrospective study was performed in the Ruijin Hospital Affiliated to Medical College of Shanghai Jiao Tong University, Shanghai, China. This study was conducted in accordance with the Declaration of Helsinki (as revised in 2013), and the protocol was reviewed and approved by the institutional review board of Ruijin Hospital (approval No. 2019-72). Individual consent for this retrospective analysis was waived. Patients, over 18 years old, were identified by querying the hospital data from January 1st 2018 and July 31th 2021, to identify all patients with lung cancer (metastatic or adjuvant) treated with at least 1 cycle of anti-PD-1/PD-L1 monoclonal antibody (mAb) (including pembrolizumab, nivolumab, atezolizumab, durvalumab, toripalimab, cindilimab, tislelizumab, and camrelizumab) . Those patients were excluded for: only one record, missing start and end drug data.
Data collection
The following demographic information of each patient was collated: gender, age, diagnosis, pre-treatment, and comorbidities. Comorbidities were hypertension, coronary heart disease, diabetes and chronic obstructive pulmonary disease (COPD).
Data, including blood count, creatinine, uric acid, albumin, various immunological indices, was collected from the initial cycle (defined as baseline) to the latest cycle of anti-PD-1/PD-L1 based therapy. In addition, the ICI dose, concomitant chemo- and/or anti-angiogenic drugs, total number of cycles of ICI therapy, treatment of RAEs, the date of discontinuation of ICI therapy and survival data were obtained. For those patients who were still on treatment during data analysis, their latest cycle before July 31th 2021 was considered the latest cycle of therapy for analysis.
Serum creatinine was used to assess renal function. Data of serum creatinine (µmol/L) from baseline to the latest ICI based therapy was collected. A maximum of 14 days prior to the initial ICI therapy cycle was measured as baseline. The cut-off data for the last measurement was a maximum of 28 days after the last cycle, or (only if not available) a maximum of 7 days prior to the last cycle. The estimated glomerular filtration rate (eGFR) was calculated using the Chronic Kidney Disease Epidemiology Collaboration equation (CKD-EPI) (2). RAEs were defined as a 25% decrease in eGFR from baseline.
Statistical analysis
All statistical analyses were performed with SPSS version 22.0 (IBM, Armonk, NY, USA). Baseline characteristics were described using mean and standard deviation (SD) or median and quartile range according to whether the data conformed to normal distribution for continuous variables, and counts and percentages for categorical variables. The sample set was divided into two groups, namely, the case group (patients with ≥25% reduction in eGFR) and the non-case group. Baseline characteristics of the two groups were compared using t-test, nonparametric test, or chi-squared test, as appropriate. The rate of RAEs was calculated and stratified by checkpoint inhibitor type. Logistic regression was performed to analyze the risk factors of RAEs. Selection of covariates in the multivariable models was based on univariate associations and biological relevance. An odds ratio (OR) with 95% confidence interval (CI) was reported for each covariate of interest. The survival rates between the different groups were compared using the Kaplan-Meier method. Two-side P values <0.05 were considered statistically significant.
Results
Patient demographics
A total of 343 patients who received at least one cycle of ICI therapy between January 1st 2018 and July 31th 2021 were enrolled in this study. After exclusion of 15 patients due to missing serum creatinine data, the final analysis dataset consisted of 328 patients. Table 1 describes the patient baseline characteristics. The average age of the patients was 63 years (SD 9) and 80% were male. The mean baseline creatinine was 76.31 µmol/L (SD 19.77 µmol/L). The eGFR at baseline ranged from 79.1 to 99.2 mL/min/1.73 m2, with a median of 90.1 mL/min/1.73 m2. In total, 12.8% of the patients (42 out of 328) had a clinically relevant decrease in eGFR of ≥25% from baseline. The number of cycles of ICI-based therapy ranged from 1 to 29, with a median of 4 cycles.
Table 1
| Parameter | Total (N=328) | Non-cases (N=286) | Cases (N=42) | P value | |
|---|---|---|---|---|---|
| Age at ICIs initiation, yr | 63.27±9.36 | 63.26±9.44 | 63.28±8.87 | 0.990 | |
| Gender (male:female) | 264:64 | 230:56 | 34:8 | 0.927 | |
| Comorbidities, n (%) | |||||
| Hypertension | 114 (34.8) | 94 (32.9) | 20 (7.6) | 0.069 | |
| Coronary heart disease | 30 (9.1) | 22 (7.7) | 8 (19.0) | 0.038 | |
| Diabetes | 50 (15.2) | 44 (15.4) | 6 (14.2) | 1.000 | |
| COPD | 39 (11.9) | 31 (10.8) | 8 (19.0) | 0.189 | |
| ICIs type, n (%) | |||||
| PD-L1 | 36 (10.9) | 30 (10.5) | 6 (14.3) | 0.467 | |
| PD-1 | 292 (89.0) | 256 (89.5) | 36 (85.7) | 0.467 | |
| Line of ICI therapy, n (%) | |||||
| First-line | 155 (47.3) | 134 (46.9) | 21 (50.0) | 0.61 | |
| ≥ Second-line | 173 (52.7) | 152 (53.1) | 21 (50.0) | ||
| Cycles of ICI therapy | 4.0 (2.0, 8.0) | 4 (2, 8) | 5.5 (4, 12.25) | 0.038 | |
| Combo ICIs and antiangiogenic, n (%) | 15 (4.6) | 14 (4.9) | 1 (2.4) | 0.443 | |
| Combo ICIs and chemotherapy, n (%) | 185 (56.4) | 160 (55.9) | 25 (59.5) | 0.682 | |
| Baseline peripheral blood results | |||||
| Creatinine (μmol/L) | 76.31±19.77 | 76.24±18.85 | 76.83±25.42 | 0.856 | |
| eGFR (mL/min/1.73 m2) | 90.1 (79.1, 99.2) | 90.5 (78.05, 99.2) | 89.85 (81.1, 102.47) | 0.59 | |
| Uric acid (μmol/L) | 310.65±96.13 | 309.96±96.09 | 315.32±97.47 | 0.737 | |
| Albumin (g/L) | 36.9±5.5 | 36.92±5.51 | 37.11±5.45 | 0.829 | |
| Hemoglobin (g/L) | 122.66±19.07 | 122.78±18.99 | 121.78±19.85 | 0.751 | |
| ANA positive, n (%) | 79 (24.1) | 69 (24.1) | 10 (23.8) | 0.964 | |
| WBC, ×109/L | 6.44 (4.92, 8.37) | 6.56 (4.95, 8.425) | 6.105 (4.66, 7.99) | 0.287 | |
| ANC, ×109/L | 4.35 (3.18, 6.01) | 4.4 (3.215, 5.995) | 3.92 (2.91, 6.17) | 0.297 | |
| AEC, ×109/L | 0.11 (0.06, 0.32) | 0.12 (0.06, 0.2) | 0.095 (0.053, 0.175) | 0.162 | |
| AMC, ×109/L | 0.47 (0.36, 0.64) | 0.48 (0.37, 0.65) | 0.42 (0.30, 0.52) | 0.018 | |
| NLR | 3.5 (2.4, 5.7) | 3.45 (2.43, 5.80) | 3.63 (1.91, 5.63) | 0.477 | |
| LMR | 2.6 (1.79, 3.71) | 2.58 (1.72, 3.67) | 2.94 (1.89, 5.03) | 0.07 | |
| PLR | 169.93 (119.3, 252.7) | 169.9 (121.5, 254.4) | 172.7 (107.5, 252.8) | 0.827 | |
| PIV | 345.1 (184.9, 701.71) | 364 (193, 782.3) | 260.53 (133.9, 577.6) | 0.066 | |
| CD3 (/μL) | 855 (602, 1,157) | 840 (585, 1,157) | 873 (658, 1,161.2) | 0.580 | |
| CD4 (/μL) | 490.5 (319, 669.25) | 482.5 (317.5, 668) | 489.5 (325.5, 736.2) | 0.852 | |
| CD8 (/μL) | 303 (222.75, 458.25) | 303 (219.25, 464.5) | 307 (253.5, 425.25) | 0.873 | |
| IL-6 (pg/mL) | 7.47 (4.2, 21.85) | 7.66 (4.3, 22.9) | 6.91 (2.85, 13.77) | 0.230 | |
| IL-8 (pg/mL) | 32.2 (12.6, 75.6) | 30.35 (12, 74.4) | 46.2 (15.3, 99) | 0.288 | |
| IL-10 (pg/mL) | 5.0 (2.4, 5.0) | 5 (2.4, 5) | 5 (2.4, 5) | 0.5 | |
| C3 (g/L) | 1.27±0.25 | 1.27±0.24 | 1.21±0.28 | 0.252 | |
| C4 (g/L) | 0.37±0.12 | 0.38±0.12 | 0.33±0.12 | 0.084 | |
The data are shown as n (%), mean ± standard deviation, or median (25th, 75th). COPD, chronic obstructive pulmonary disease; ICIs, immune checkpoint inhibitors; ANA, antinuclear antibody; WBC, white blood cell; ANC, absolute neutrophil count; AEC, absolute eosinophils count; AMC, absolute monocyte count; NLR, neutrophil-to-lymphocyte ratio; LMR, neutrophil-to-lymphocyte ratio; PLR, platelet-to-lymphocyte ratio; PIV, Pan immune and inflammation value; C3, complement C3; C4, complement C4.
Risk factors for the development of RAEs
Table 2 summarizes the results of the RAE risk factors. Compared with non-cases, patients with RAEs had a lower median baseline acute monocyte count (AMC), higher median baseline ratio of lymphocytes and monocytes (LMR), were more likely to have hypertension, coronary heart disease, and distant metastasis, and were more likely to be receiving more cycles of ICI therapy. Each of these risk factors were analyzed in multivariate analysis. Distant metastasis and the number of cycles of ICI therapy remained associated with the development of RAEs in multivariable models adjusted for the other risk factors (including distant metastasis, number of ICI cycles, LMR, AMC, COPD, complement C4, coronary heart disease, hypertension, and small cell lung cancer) (Table 3). The adjusted odds ratios were 2.847 and 1.101, respectively, with 95% CIs of 1.07 to 7.577 and 1.019 to 1.188, respectively.
Table 2
| Variable | β | OR (95% CI) | P value |
|---|---|---|---|
| Gender | 0.039 | 1.038 (0.456–2.369) | 0.927 |
| Age | 0.000 | 1.0 (0.966–1.036) | 0.99 |
| SCLC | 0.697 | 2.008 (0.851–4.736) | 0.111 |
| PS | 0.149 | 1.161 (0.562–2.397) | 0.687 |
| Other irAEs | 0.341 | 1.406 (0.608–3.251) | 0.426 |
| Hypertension | 0.616 | 1.851 (0.946–3.623) | 0.072 |
| Coronary heart disease | 0.961 | 2.614 (1.025–6.668) | 0.044 |
| Diabetes | 0.000 | 1.0 (0.393–2.542) | 1.0 |
| COPD | 0.606 | 1.833 (0.733–4.579) | 0.195 |
| Distant metastasis | 0.641 | 1.899 (0.985–3.661) | 0.056 |
| Cycles of ICI therapy | 0.019 | 1.109 (0.988–1.051) | 0.228 |
| Combo ICIs and antiangiogenic | −0.784 | 0.456 (0.058–3.564) | 0.455 |
| Combo ICIs and chemotherapy | 0.138 | 1.148 (0.593–2.222) | 0.682 |
| PD-L1 | 0.34 | 1.417 (0.551–3.639) | 0.469 |
| PD-1 | −0.348 | 0.706 (0.275–1.813) | 0.469 |
| First-line of ICI therapy | 0.171 | 1.187 (0.614–2.293) | 0.611 |
| Creatinine | 0.001 | 1.001 (0.986–1.018) | 0.856 |
| eGFR | 0.000 | 1.0 (0.993–1.007) | 0.929 |
| Uric acid | 0.001 | 1.001 (0.997–1.004) | 0.736 |
| Albumin | 0.006 | 1.006 (0.949–1.067) | 0.829 |
| Hemoglobin | −0.003 | 0.997 (0.983–1.011) | 0.688 |
| ANC | −0.063 | 0.939 (0.834–1.057) | 0.296 |
| AEC | −0.51 | 0.6 (0.073–4.939) | 0.635 |
| AMC | −1.817 | 0.162 (0.03–0.868) | 0.034 |
| ALC | −0.042 | 0.959 (0.54–1.705) | 0.886 |
| NLR | 0.0 | 1 (0.926–1.081) | 0.991 |
| LMR | 0.129 | 1.138 (1.003–1.29) | 0.044 |
| PLR | 0.0 | 1.0 (0.99–1002) | 0.714 |
| PIV | 0.0 | 1.0 (0.99–1.0) | 0.48 |
| CD3 | 0.0 | 1.0 (0.99–1.001) | 0.659 |
| CD4 | 0.0 | 1.0 (0.99–1.001) | 0.907 |
| CD8 | 0.0 | 1.0 (0.998–1.002) | 0.991 |
| IL-6 | −0.004 | 0.996 (0.985–1.007) | 0.496 |
| IL-8 | 0.0 | 1.0 (0.999–1.001) | 0.842 |
| IL-10 | −0.088 | 0.915 (0.741–1.13) | 0.411 |
| C3 | −1.006 | 0.366 (0.066–2.038) | 0.251 |
| C4 | −3.145 | 0.043 (0.001–1.557) | 0.086 |
| ANA positive | −0.017 | 0.983 (0.46–2.101) | 0.964 |
SCLC, small cell lung cancer; PS, performance status; irAEs, immune-related adverse events; COPD, chronic obstructive pulmonary disease; ICI, immune checkpoints inhibitor; ANC, absolute neutrophil count; AEC, absolute eosinophils count; AMC, absolute monocyte count; ALC, absolute lymphocyte count; NLR, neutrophil-to-lymphocyte ratio; LMR, neutrophil-to-lymphocyte ratio; PLR, platelet-to-lymphocyte ratio; PIV, Pan immune and inflammation value; C3, complement C3; C4, complement C4; ANA, antinuclear antibody.
Table 3
| Variable | β | OR (95% CI) | P value | Forest plot |
|---|---|---|---|---|
| Cycles of ICI therapy | 0.096 | 1.101 (1.019–1.188) | 0.014 | ![]() |
| LMR | 0.062 | 1.064 (0.904–1.254) | 0.455 | |
| AMC | −2.496 | 0.081 (0.005–1.366) | 0.081 | |
| Distant metastasis | 1.046 | 2.847 (1.07–7.577) | 0.036 | |
| COPD | 0.531 | 1.701 (0.492–5.885) | 0.402 | |
| C4 | −2.0 | 0.135 (0.002–7.811) | 0.334 | |
| Coronary heart disease | 0.797 | 2.219 (0.565–8.715) | 0.253 | |
| Hypertension | 0.726 | 2.067 (0.78–5.48) | 0.144 | |
| SCLC | 0.043 | 1.044 (0.271–4.015) | 0.95 |
ICI, immune checkpoints inhibitor; LMR, neutrophil-to-lymphocyte ratio; AMC, absolute monocyte count; COPD, chronic obstructive pulmonary disease; C4, complement C4; SCLC, small cell lung cancer.
Clinical features of RAEs
RAEs developed at a median of 5.5 cycles of ICI therapy [interquartile range (IQR), 4, 12.25]. A total of 42 patients developed RAEs, the incidence in our center was 12.8%. ICI therapy was terminated in 13 patients (31.0%), and 5 patients (11.9%) received corticosteroids. One patient had a history of chronic kidney disease. He received additional renal replacement therapy (RRT) in addition to corticosteroids and died 2 months after the initial RRT. Anti-PD-1 mAb was the most common type of ICI used, and only 4 patients (9.5%) in the case group had a history of using anti-PD-L1 mAb. However, there was no significant difference in the distribution of anti-PD-1/PD-L1 mAb between those who experienced RAEs compared to those who did not experience RAEs. In half of the patients in the case group, ICIs were used as first-line therapy. Among the 42 patients with RAEs, 16 patients experienced other irAEs in addition to the RAEs (6 patients had pneumonitis, 2 had colitis, 3 had myocarditis, 3 had myositis, 3 had asymptomatic hypothyroidism, 1 had acute pancreatitis, 1 had hyperglycemia, 1 had rash, and 5 patients had more than 1 irAE). None of the patients who stopped their ICI therapy were re-challenged with ICIs.
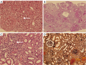
Renal biopsy was performed in 2 patients (4.7%) with RAE (Figure 1). Both were diagnosed with drug-induced acute tubulointerstitial nephritis (ATIN). The main pathological findings showed extensive diffuse inflammatory cell infiltration (including monocytes, lymphocytes, and plasma cells) in the interstitial component and tubulitis, which is the extension of interstitial inflammation over the tubular basement membranes. Tubulitis was accompanied by tubular degenerative changes, including luminal ectasia, irregular luminal contours, loss of brush border, and cytoplasmic simplification. There were no signs of inflammation nor associated necrotizing lesions in the glomerular tufts, and no immune deposits upon immunofluorescence staining. There were no unusual findings in the vascular compartment, and no granulomatous lesions. In 1 patient, the glomerular capillary loops had shrunk and an ischemic change was observed.
Patient survival
Regardless of whether patients received first-line ICI therapy (1-year survival: 80.7% vs. 93.3%; 2-year survival: 75.9% vs. 51.7%; P=0.021) or non-first line ICI therapy (1-year survival: 74.7% vs. 65.2%; 2-year survival: 51.2% vs. 39.1%; P=0.021), patients with RAEs had lower survival rates compared to those without RAEs (Figure 2). This suggested that the decline in renal function seriously affected the survival of patients receiving ICI therapy.
Discussion
Using PD-1/PD-L1 monoclonal antibodies to block the PD-1/PD-L1 signaling may serve to increase the reaction of tumor-infiltrating lymphocytes to identify and destroy malignant cells, which is a T-cell-specific immune response (3). However, the activation of the immune response generated by ICI therapy may be complicated by irAEs. IrAEs may implicate almost all organs and systems, with the skin, endocrine, gut, musculoskeletal systems, and lungs most commonly involved, and RAEs being less common (4-7). Indeed, few studies have reported on ICI-related RAEs. This monocenter, retrospective cohort study involving 42 patients with RAEs, provides novel insights into the clinical features and risk factors of ICI-associated RAEs.
This study is consistent with and expands upon prior studies of RAEs. Multivariable analyses identified 2 independent risk factors for RAEs, namely, cycles of ICI therapy and distant metastasis. It is noteworthy that univariate analyses identified history of hypertension and coronary heart disease, and peripheral blood cell counts (monocyte and LMR) as potential risk factors.
The RAE reporting frequency has been shown to be different between patients receiving anti-PD-1/PD-L1 and those on anti-CTLA-4 immunotherapies either alone or in combination (8). The incidence of RAEs has been reported to be 1.4–2% with a single agent and 4.9% when a combination of CTLA-4 mAb plus PD-1 mAb were used (9), but it is hypothesized that the incidence of renal irAE will rise to between 9.9–19% in the near future (10). In the current study, RAEs affected 12.8% of patients in our cohort, which is consistent with previous study (10), and it occurred at a median of 5.5 cycles of ICI therapy after initial therapy.
Contrary to other drugs, ICIs cause renal complications by immune responses. Previous research reported that ICIs may promote T cell migration to the kidney, reducing tolerance to endogenous antigens, and initiating an inflammatory response that could lead to nephritis (11). Theoretically, increased use of ICIs will lead to enhanced migration of T cell to the kidney, resulting in increased severity of the inflammatory response. Our multivariate analyses indicated that the number of ICI therapy cycles is an independent risk factor for RAEs. The risk of RAEs increased by 1.1 times (95% CI: 1.03 to 1.204, P<0.05) for each additional ICI treatment cycle. Although there are few reports that are consistent with our results, it may partially be due to the stricter screening employed in clinical trials. Future studies analyzing real world data are warranted.
Distant metastasis was identified as another independent risk factor for RAEs (OR =2.838; 95% CI: 1.03 to 1.204; P<0.05). Generally, patients with distant metastasis have a larger tumor burden and poorer performance status compared to those without distant metastasis. During treatment, patients with distant metastasis are more prone to have a low oral intake, therapy-induced nausea, vomiting, and diarrhea, all of which play a role in pre-renal renal dysfunction (12,13). These pre-renal factors, along with intrinsic factors (ICI therapy), predispose patients with distant metastasis to RAEs.
The kidneys and heart interact in a bidirectionally complex manner. Abnormalities in one organ often lead to abnormalities in the other (14). Individuals with kidney disease and those with coronary heart disease share many risk factors, with hypertension being the most common. A previous study showed that hypertension was associated with acute kidney injury in the broader cancer population (15). Our research demonstrated a trend of positive correlation between hypertension, coronary heart disease, and RAEs in univariate regression analysis. However, this association was no longer significant in multivariate regression analysis. More patients with RAEs should be enrolled to further elucidate the association between these factors.
Since ICI therapy increases the anti-tumor ability of cytotoxic-T-cell lymphocytes, it can lead to imbalances in immunological tolerance (3). Several studies have reported the correlation between the systemic immune system, cancer-related inflammation status, and irAEs. Absolute lymphocyte count (ALC), neutrophil-lymphocyte ratio (NLR), platelet-lymphocyte ratio (PLR), lymphocyte-monocyte ratio (LMR), and Pan-immune-Inflammation Value (PIV) are the primary blood and biochemical parameters. Diehl et al. (16) studied 167 adult patients with solid tumors who were treated with PD-1 antibodies, including nivolumab (n=125) and pembrolizumab (n=42). They found that patients with an increased risk of irAEs were associated with higher baseline lymphocyte counts. Pavan et al. (17) examined 184 patients with advanced non-small cell lung cancer (NSCLC) who received nivolumab (n=145), pembrolizumab (n=32), and atezolizumab (n=7). The development of irAEs was significantly associated with low NLR and low PLR at baseline. Egami et al. (18) showed that higher NLR and PLR values at baseline were positively correlated with the risk of irAEs, and higher ALC and LMR values at baseline were negatively correlated with the risk of irAEs. The results herein demonstrated that higher absolute monocyte count (AMC) values at baseline were negatively associated with the risk of RAEs, and higher LMR values were positively associated with the risk of RAEs. However, the reason for this discrepancy with previous studies (18) remains unclear but may involve the following. First, the treatment line of ICI therapy was different. In this study, less than 50% patients (47.6%) were undergoing first-line treatment. In contrast, the study by Egami et al. (18) was mainly based on first-line treatment. Thus, the effect of prior treatments with cytotoxic chemotherapy on bone marrow proliferation may be more complicated. Second, while previous studies mainly investigated patients treated with nivolumab and pembrolizumab, our study cohort also included patients treated with ICIs developed in China. Third, previous research focused on the total irAEs, while the current investigation focused on renal irAEs.
The pathological changes of RAEs are varied. Even though ATIN is the most common pathologic finding on biopsy, several other biopsy-proven renal manifestations have been published as case reports, such as lupus nephropathy, IgA nephropathy, thrombotic microangiopathy (TMA), pauci-immune glomerulonephritis, minimal-change disease, membranous nephropathy, and focal segmental glomerulosclerosis (19-23). In this study, 2 patients showed ATIN with no association to glomerulonephritis. RAE ATIN may be due to the development of autoimmunity to kidney self-antigens after blockade of the PD-1/PD-L1 pathway, which plays an important role at the level of target organs (24). Another proposed mechanism is the loss of tolerance of drug-specific effector T cells with the inhibition of PD-1/PD-L1 signaling (25). However, it is not easy for physicians to recognize ICI-associated ATIN and ATIN related to other drugs. Draibe et al. (11) reported that compared with other drugs, patients with ICI-related ATIN manifested a longer latency period after drug initiation, lower creatinine levels at diagnosis, higher urinary leucocyte counts, and lower creatinine amelioration. Patients with ICI-associated ATIN showed more inflammatory infiltrates and less fibrosis compared to patients with ATIN from other drugs, although the difference did not reach statistical significance. The development of RAEs during ICI therapy is a novel challenge and further investigation and cumulative experiences are required to determine the differences between ICI-related nephritis and nephritis induced by other drugs.
There were some limitations in our research. First, the patients were all sourced from a single hospital center. Second, due to the retrospective nature of the data collection, it is possible that patients who had a 25% decrease in eGFR from baseline were managed at hospitals outside our hospital information systems, resulting in an underestimation of the incidence of RAEs. Larger cohorts are needed to better characterize the RAE population.
Conclusions
Overall, RAEs are increasingly presenting a tricky complication in patients receiving ICI-based therapy. This report described the risk factors and outcomes of RAEs in patients receiving ICI therapy. RAEs were associated with distant metastasis and the number of cycles of ICI therapy. Patients with RAEs had lower survival rates. Identification of RAEs during ICI-based therapy will present a frequent challenge to oncology and nephrology practitioners. To characterize renal lesions and guide targeted therapy, renal biopsies should be considered.
Acknowledgments
Funding: This work was supported by the Shanghai Municipal Key Clinical Specialty (No. shslczdzk02202), and the National Natural Science Foundation of China (Nos. 81672271, 81802258, and 81600004).
Footnote
Reporting Checklist: The authors have completed the STROBE reporting checklist. Available at https://atm.amegroups.com/article/view/10.21037/atm-22-3684/rc
Data Sharing Statement: Available at https://atm.amegroups.com/article/view/10.21037/atm-22-3684/dss
Conflicts of Interest: All authors have completed the ICMJE uniform disclosure form (available at https://atm.amegroups.com/article/view/10.21037/atm-22-3684/coif). The authors have no conflicts of interest to declare.
Ethical Statement: The authors are accountable for all aspects of the work in ensuring that questions related to the accuracy or integrity of any part of the work are appropriately investigated and resolved. This study was conducted in accordance with the Declaration of Helsinki (as revised in 2013), and the protocol was reviewed and approved by the institutional review board of Ruijin Hospital (approval No. 2019-72). Individual consent for this retrospective analysis was waived.
Open Access Statement: This is an Open Access article distributed in accordance with the Creative Commons Attribution-NonCommercial-NoDerivs 4.0 International License (CC BY-NC-ND 4.0), which permits the non-commercial replication and distribution of the article with the strict proviso that no changes or edits are made and the original work is properly cited (including links to both the formal publication through the relevant DOI and the license). See: https://creativecommons.org/licenses/by-nc-nd/4.0/.
References
- Shin DS, Ribas A. The evolution of checkpoint blockade as a cancer therapy: what's here, what's next? Curr Opin Immunol. 2015;33:23-35. [Crossref] [PubMed]
- Levey AS, Inker LA, Coresh J. GFR estimation: from physiology to public health. Am J Kidney Dis 2014;63:820-34. [Crossref] [PubMed]
- Dunn GP, Bruce AT, Ikeda H, et al. Cancer immunoediting: from immunosurveillance to tumor escape. Nat Immunol 2002;3:991-8. [Crossref] [PubMed]
- Naidoo J, Page DB, Li BT, et al. Toxicities of the anti-PD-1 and anti-PD-L1 immune checkpoint antibodies. Ann Oncol 2015;26:2375-91. [Crossref] [PubMed]
- Jain P, Jain C, Velcheti V. Role of immune-checkpoint inhibitors in lung cancer. Ther Adv Respir Dis 2018;12:1753465817750075. [Crossref] [PubMed]
- Champiat S, Lambotte O, Barreau E, et al. Management of immune checkpoint blockade dysimmune toxicities: a collaborative position paper. Ann Oncol 2016;27:559-74. [Crossref] [PubMed]
- Abdelrahim M, Mamlouk O, Lin H, et al. Incidence, predictors, and survival impact of acute kidney injury in patients with melanoma treated with immune checkpoint inhibitors: a 10-year single-institution analysis. Oncoimmunology 2021;10:1927313. [Crossref] [PubMed]
- Hu F, Zhai Y, Yuan L, et al. Renal toxicities in immune checkpoint inhibitors with or without chemotherapy: An observational, retrospective, pharmacovigilance study leveraging US FARES database. Cancer Med 2021;10:8754-62. [Crossref] [PubMed]
- Perazella MA, Shirali AC. Immune checkpoint inhibitor nephrotoxicity: what do we know and what should we do? Kidney Int 2020;97:62-74. [Crossref] [PubMed]
- Wanchoo R, Karam S, Uppal NN, et al. Adverse Renal Effects of Immune Checkpoint Inhibitors: A Narrative Review. Am J Nephrol 2017;45:160-9. [Crossref] [PubMed]
- Draibe JB, García-Carro C, Martinez-Valenzuela L, et al. Acute tubulointerstitial nephritis induced by checkpoint inhibitors versus classical acute tubulointerstitial nephritis: are they the same disease? Clin Kidney J 2021;14:884-90. [Crossref] [PubMed]
- César BN, Durão Júnior MS. Acute kidney injury in cancer patients. Rev Assoc Med Bras (1992) 2020;66:s25-30. [Crossref] [PubMed]
- Malyszko J, Tesarova P, Capasso G, et al. The link between kidney disease and cancer: complications and treatment. Lancet 2020;396:277-87. [Crossref] [PubMed]
- Laffin LJ, Bakris GL. Intersection Between Chronic Kidney Disease and Cardiovascular Disease. Curr Cardiol Rep 2021;23:117. [Crossref] [PubMed]
- Kitchlu A, McArthur E, Amir E, et al. Acute Kidney Injury in Patients Receiving Systemic Treatment for Cancer: A Population-Based Cohort Study. J Natl Cancer Inst 2019;111:727-36. [Crossref] [PubMed]
- Diehl A, Yarchoan M, Hopkins A, et al. Relationships between lymphocyte counts and treatment-related toxicities and clinical responses in patients with solid tumors treated with PD-1 checkpoint inhibitors. Oncotarget 2017;8:114268-80. [Crossref] [PubMed]
- Pavan A, Calvetti L, Dal Maso A, et al. Peripheral Blood Markers Identify Risk of Immune-Related Toxicity in Advanced Non-Small Cell Lung Cancer Treated with Immune-Checkpoint Inhibitors. Oncologist 2019;24:1128-36. [Crossref] [PubMed]
- Egami S, Kawazoe H, Hashimoto H, et al. Peripheral blood biomarkers predict immune-related adverse events in non-small cell lung cancer patients treated with pembrolizumab: a multicenter retrospective study. J Cancer 2021;12:2105-12. [Crossref] [PubMed]
- Fadel F, El Karoui K, Knebelmann B. Anti-CTLA4 antibody-induced lupus nephritis. N Engl J Med 2009;361:211-2. [Crossref] [PubMed]
- Gallan AJ, Alexander E, Reid P, et al. Renal Vasculitis and Pauci-immune Glomerulonephritis Associated With Immune Checkpoint Inhibitors. Am J Kidney Dis 2019;74:853-6. [Crossref] [PubMed]
- Kishi S, Minato M, Saijo A, et al. IgA Nephropathy after Nivolumab Therapy for Postoperative Recurrence of Lung Squamous Cell Carcinoma. Intern Med 2018;57:1259-63. [Crossref] [PubMed]
- Mamlouk O, Selamet U, Machado S, et al. Nephrotoxicity of immune checkpoint inhibitors beyond tubulointerstitial nephritis: single-center experience. J Immunother Cancer 2019;7:2. [Crossref] [PubMed]
- Kitchlu A, Fingrut W, Avila-Casado C, et al. Nephrotic Syndrome With Cancer Immunotherapies: A Report of 2 Cases. Am J Kidney Dis 2017;70:581-5. [Crossref] [PubMed]
- Francisco LM, Sage PT, Sharpe AH. The PD-1 pathway in tolerance and autoimmunity. Immunol Rev 2010;236:219-42. [Crossref] [PubMed]
- Shirali AC, Perazella MA, Gettinger S. Association of Acute Interstitial Nephritis With Programmed Cell Death 1 Inhibitor Therapy in Lung Cancer Patients. Am J Kidney Dis 2016;68:287-91. [Crossref] [PubMed]
(English Language Editor: J. Teoh)


