Flurbiprofen axetil alleviates the effect of formalin-induced inflammatory pain on the cognitive function of rats with mild cognitive impairment through the AMPKα/NF-κB signaling pathway
Introduction
Alzheimer’s disease (AD), the most common form of dementia, is a neurodegenerative disease. A decline in learning and memory function is considered to be a high-risk factor for AD, and special attention should be given to the early problems caused by this decline. The decline in cognitive function has a negative impact on the quality of life of patients and can create a heavy toll on family and society (1,2). Mild cognitive impairment (MCI) is an intermediate state between normal aging and dementia, and is an acquired cognitive impairment that occurs without dysfunction (3,4). According to our previous study, an MCI model could be established by continuous injection of 1,000 mg/kg/d D-galactose (D-gal) into the neck and back of rats for 7 days (5).
A previous study has confirmed that there is a close relationship between surgical pain, inflammation, and cognitive decline (6). In recent years, a variety of relatively mature pain models have been established, including chemical pain models, neuropathological models, an incision pain models (7-9). Among these models, the chemical pain model is widely used, and its effect is relatively stable and close to clinical postoperative pain. The formalin inflammatory pain model is one such model. Acute persistent pain is formed by chemical nociceptive stimulation produced by subcutaneous injection of formalin (10). Different degrees of pain cause different behaviors in rats, which can be scored according to the pain score, and finally the pain degree of the rats can be compared.
Flurbiprofen axetil is a non-steroidal anti-inflammatory drug (NSAID) that can safely and effectively control moderate postoperative pain. Its anti-inflammatory and analgesic effects are achieved by non-selectively inhibiting cyclooxygenase (COX) and reducing the synthesis of prostaglandins. However, some scholars have proposed that NSAIDs can alleviate cognitive impairment by not relying on the inhibition of COX-related mechanisms (11). It has been reported that the use of NSAIDs can prevent the occurrence of AD (12), and postoperative use of flurbiprofen axetil can effectively affect the Mini-Mental State Examination score of elderly patients after joint replacement (13). These data support the hypothesis that anti-inflammatory drugs can effectively slow down the progression of cognitive impairment, as strong central nervous system (CNS) inflammation is a common feature of AD. NSAIDs can activate the AMP-activated protein kinase-α (AMPKα) pathway independent of the COX mechanism (14,15), therefore affecting the expression of nuclear factor-κB (NF-κB) to different degrees (16). However, it is not clear whether flurbiprofen axetil interacts with the NF-κB-related apoptosis signaling pathway and inflammatory factors through this signaling pathway. Therefore, we conducted this study to investigate the effect of flurbiprofen axetil on cognitive function after the establishment of an inflammatory pain model in MCI rats. The findings of this study provide new insights into the development of new therapeutic strategies for early cognitive function changes. We present the following article in accordance with the ARRIVE reporting checklist (available at https://atm.amegroups.com/article/view/10.21037/atm-22-4997/rc).
Methods
Ethical statement
Animal experiments were performed under a project license (No. 2022-NSFC-0183) granted by Institutional Animal Care and Use Ethics Committee of the Fujian Medical University, in compliance with Chinese national guidelines for the care and use of animals.
Reagents
Flurbiprofen axetil was obtained from Tide Pharmaceutical (Beijing, China). D-gal (purity 99%) was purchased from Sigma-Aldrich (St Louis, MO, USA). Interleukin-6 (IL-6) and tumor necrosis factor-α (TNF-α) kits were obtained from Westang Biotechnology (Shanghai, China). Anti-NF-κB p65 antibody was purchased from Abcam (Cambridge, UK), and AMPKα (D5A2) rabbit monoclonal antibody was purchased from Cell Signaling Technology (Danvers, MA, USA).
Animals and treatments
A total of 36 adult Sprague-Dawley rats (male, 250–300 g, 16–17 weeks old) were obtained from Fujian Medical University (Fuzhou, China) and kept in standard cages at a temperature of 25±2 ℃ and humidity of 60%±5%, with a 12-h light/dark cycle. The rats were fasted overnight with free access to water 1 week before the experiment.
The rats were randomly divided into the following 3 groups (n=12 per group): sham group, formalin/saline (F/S), and formalin/flurbiprofen (F/F). According to our previous study (5), each rat was subcutaneously injected with 1,000 mg/kg/d D-gal on the back of the neck for 7 days.
Twenty-four hours after D-gal injection, normal saline (1 mL/kg) was injected into the caudal vein of the rats in the sham group and the F/S group, and flurbiprofen axetil (10 mg/kg) was injected into the caudal vein in the F/F group. After 15 min, 50 µL saline was injected subcutaneously into the left hind paw of the rats in the sham group, and 50 µL of 5% formalin was injected into the F/S and F/F groups.
Formalin test
The animals were placed in an observation cage and recorded continuously for 1 h after treatments. In the video recording, the different behaviors of the rats in the 3 groups were observed, scored, and recorded every 5 min, and expressed as mean ± standard deviation (SD); the time-score curve was drawn.
Morris water maze (MWM) test
The water maze experiment began 24 h after treatments. The MWM test was used to assess the spatial learning and memory abilities of the rats (17). The water maze (180 cm in diameter and 60 cm in depth) was filled with water (23±1 ℃), which was made opaque by adding white ink to a depth of 25 cm, and divided into 4 quadrants, with a hidden platform (12 cm in diameter and 23 cm high) placed in the center of the second quadrant. The rats were tested 4 times daily for 5 continuous days. The rats were gently placed into the water, facing the pool wall in 4 different starting positions. Each rat was given up to 90 s to find the hidden platform. After reaching the platform, the rat was permitted to stay for 15 s. If the rat failed to find the platform within 90 s, the rat was directed to the platform, where it stayed for 15 s. After 5 days of training, exploratory tests were conducted to estimate spatial memory. In this test, the platform was removed from the water tank, and each rat swam freely for 60 s before being removed from the water. The number of times the rat crossed the platform was recorded. The water tank was located in the center of a room, and there was a camera on the ceiling to monitor the swimming path. The recorded data were analyzed by SuperMaze (Changsha, China). After 12 h, the rats were anaesthetized with 0.3% sodium pentobarbital to collect tissue specimens.
Histological examination
Six rats were randomly selected from each group, and the pericardium was opened to infuse the brain tissue with 10% neutral formaldehyde solution. The brains were immediately removed and then embedded in paraffin. The tissue was cut into 5-µm slices with a microtome. Sections were baked at 60 ℃ for 2 h, and disposed with dimethyl benzene for 20 min. Every section was dealt with ethanol, 95% ethanol, 80% ethanol, and distilled water in sequence. To investigate histological changes in brain tissue, hematoxylin-eosin (HE) staining was partially performed according to the conventional protocol
Protein extraction from the rat brain
Other rats from each group were killed, and hippocampal tissues were separated with care. The samples were immediately homogenized in sterile phosphate-buffered saline. The mixture was then centrifuged at 14,000 ×g at 4 ℃ for 20 min to obtain a supernatant for further biochemical analysis.
Western blot analysis
The supernatant was prepared as mentioned earlier. Levels of AMPKα and NF-κB p65 were determined by Western blot analysis. Extracts were boiled at 95 ℃ for 15 min in the presence of sample buffer. Identical amounts of protein samples were separated by 10% sodium dodecyl sulphate-polyacrylamide gel electrophoresis, and transferred to polyvinylidene difluoride membranes. Incubated the protein of interest and probe with the corresponding antibody overnight. After reaction with a secondary antibody, the target protein was visualized using an enhanced chemiluminescence reagent. Gray values of the Western blot were quantified using ImageJ software V3.0 from the National Institutes of Health (Bethesda, MD, USA).
Enzyme-linked immunosorbent assay
The supernatant was prepared as described above. Levels of TNF-α and IL-6 were determined by enzyme-linked immunosorbent assay (Westang Biotechnology, Shanghai, China), according to the manufacturer’s instructions.
Statistical analysis
Statistical analyses were performed using SPSS software version 25.0 (IBM, Armonk, NY, USA). Data were expressed as mean ± SD using GraphPad 7 software (GraphPad, San Diego, CA, USA). Data were analyzed by one-way analysis of variance (ANOVA) followed by least significant difference test (LSD-t) multiple comparison tests as a post-hoc comparison.
Results
Flurbiprofen axetil relieves inflammatory pain induced by formalin injection
Injection of 5% formalin into the left hind paw produced biphasic flinching and licking of the injected paw, with the first phase lasting for 10 min and the second phase lasting 15–60 min (Figure 1A). There were no significant differences between the F/S and F/F groups in the first phase after comparing the cumulative pain score (one-way ANOVA, P>0.05) (Figure 1B). In the second phase, there were significant differences in cumulative pain scores among the rats in each group (one-way ANOVA, P<0.05) (Figure 1B). Pretreatment with flurbiprofen axetil significantly affected the second phase, but not the first phase, of flinching and licking, calculated based on the cumulative pain score.
Flurbiprofen axetil alleviates the effect of formalin-induced inflammatory pain on the cognitive function of rats with MCI
To evaluate the effect of flurbiprofen axetil on cognitive function, rats were trained and assessed using the MWM test; the latency of rats was shortened with prolonged training time. As shown in Figure 2A, the escape latency of the F/S group was longer than that of the other 2 groups (one-way ANOVA, P<0.05). The trend of the F/S group was different from that of the other 2 groups. After 5 days of training, the platform was removed from the water tank to assess spatial memory. As shown in Figure 2B, the number of times the rats crossed the platform in the F/S group was different from that in the other 2 groups (one-way ANOVA, P<0.05). These results suggested that formalin-induced inflammatory pain leads to impairments in cognitive function of rats with MCI, while pretreatment with flurbiprofen axetil restores these impairments.
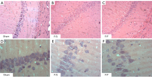
Flurbiprofen axetil reduces the effect of formalin-induced inflammatory pain on neuronal damage
As shown in Figure 3, hippocampal CA1 neurons were almost normal in the sham group, as evidenced by a clear and tight order of pyramidal cell layers with large and regular nuclei, which was similar to that of ordinary Sprague-Dawley rats. Formalin-induced inflammatory pain has an effect on the neuronal structure of hippocampal CA1 neurons, and hippocampal CA1 neurons are selectively and extensively damaged, as evidenced by the pyramidal neuronal shrinkage and chromatin condensation of nuclei, as well as reactive gliosis. The changes in neurons in the F/S group were more significant than those in the F/F group, suggesting that intervention with flurbiprofen axetil was effective.
Flurbiprofen axetil decreases levels of formalin-induced inflammatory cytokines in the hippocampus
To assess the neuroinflammation induced by inflammatory pain, we analyzed levels of inflammatory cytokines, including TNF-α and IL-6, in hippocampal tissues. As shown in Figure 4, we discovered that the levels of TNF-α and IL-6 were significantly higher in the F/S group than in the sham group (one-way ANOVA, P<0.05), whereas they were decreased in the F/F group (one-way ANOVA, P<0.05).
Effects of flurbiprofen axetil on AMPKα and NF-κB p65 expression
AMPKα is a key molecule in the regulation of biological energy metabolism. To investigate the underlying molecular mechanisms of flurbiprofen axetil, we used Western blotting to analyze the expression of AMPKα and NF-κB p65. As shown in Figure 5, formalin-induced inflammatory pain administration induced significant activation of NF-κB p65, while flurbiprofen axetil treatment strongly inhibited this response by activating AMPKα.
Discussion
Our previous work confirmed that continuous injection of 1,000 mg/kg/d D-gal into the neck and back of rats for 7 days caused slight oxidative damage, decreased antioxidant capacity in the rat brain, produced mild neuropathological changes, decreased cholinergic system function in the hippocampus, and led to slight impairment of spatial learning and memory ability, but no significant changes in locomotion and foraging behavior. This finding is in line with the pathological changes and characteristic requirements of MCI (5).
To explore the effect of flurbiprofen axetil on the cognitive function of MCI rats after induction of a formalin inflammatory pain model, the model was established without other surgical operations to reduce other risk factors that might affect cognitive function as much as possible. This method is convenient and feasible, with relatively few complications after operation, and it does not affect the behavioral ability of rats, so will not interfere with follow-up behavioral experiments. In the present study, formalin was injected into the plantar skin of rats to cause plantar skin swelling and pain. The rats showed pain-related behaviors, such as claudication and licking. There was a significant difference in the pain score (10), indicating that the pain model was established successfully. At the same time, it was observed that the second-phase pain score of the F/F group was higher than that of the F/S group, indicating that the second-phase inflammatory pain in rats could be effectively relieved by flurbiprofen axetil. In the pain score of the first phase, there was no significant difference between the 2 experimental groups, so it cannot be concluded that it has a good analgesic effect on the first phase of pain.
At present, in the study of animal cognition, the MWM test is a classic experimental method. By observing the changes in rats’ escape latency and the number of platform crossings, we can objectively observe the process of spatial cognition of experimental animals as a reflection of their cognitive level (18). A comparison of the data of rats in each group revealed that there was no significant difference in body weight or swimming speed among the 3 groups. Compared with the sham group, the water maze trajectory map showed that the route of the rats in the F/S and F/F groups was significantly more complex, the escape latency was significantly prolonged, and the number of platform crossings was reduced. These findings indicate that formalin-mediated inflammatory pain has different effects on the cognitive function of MCI rats.
Flurbiprofen is a non-selective COX inhibitor that is clinically used as an NSAID (19). It is mainly used for its anti-inflammatory, antipyretic, and analgesic effects. These effects play a role by inhibiting the activity of COX associated with prostaglandin synthesis. After intravenous administration of flurbiprofen axetil, the plasma concentration at 5–10 min was the highest, and at 15 min, it had an anti-inflammatory and analgesic effect. It also has been shown to relieve neuronal damage at the dose of 10 mg/kg (20). Therefore, pretreatment with flurbiprofen axetil can effectively interfere with further effects of formalin-induced inflammatory pain on the cognitive function of MCI rats. In this experiment, by measuring the concentrations of IL-6 and TNF-α in the homogenate of the rat hippocampus, it was found that the concentrations of these inflammatory cytokines in brain tissue increased compared with the sham group, which was consistent with the results described by Chen et al. (21). There were also differences between the F/S group and the F/F group. Flurbiprofen axetil can play a role in alleviating the changes in formalin-induced inflammatory pain on the cognitive function of MCI rats by reducing the expression level of inflammatory factors in brain tissue.
Inflammation is an important mechanism of AD and cognitive impairment. Microglia and astrocytes are key to the inflammatory response of the CNS and are equivalent to macrophages in other tissues. These glial cells are highly reactive and can rapidly change their morphology and cell surface antigens in response to changes in the internal environment, and can secrete cytokines. Microglia, known as CNS phagocytes, play an important role in immune surveillance (22). When stimulated abnormally, microglia activate the M1 state (23,24), and release a large number of pro-inflammatory cytokines, such as interleukin-1 and IL-6, resulting in inflammatory infiltration of neurons. At the same time, the released inflammatory factors can also continuously stimulate the activation of microglia, which can further aggravate the neuroinflammatory response and eventually lead to neuronal damage and cognitive dysfunction, eventually leading to an exaggerated and out-of-control inflammatory response.
In recent years, it has been shown that the use of NSAID to reduce or prevent inflammation can reduce the occurrence of AD (25). NSAIDs have anti-inflammatory and analgesic effects by inhibiting COX, but they can also affect cognitive function by inhibiting the release of neurotransmitters, changing synaptic plasticity, and modifying β-amyloid protein to achieve a certain neuroprotective effect (26). AMPKα is an AMP-dependent serine/threonine protein kinase that is expressed only in mammalian cells. It is highly conserved and is a key molecule in the regulation of biological energy metabolism. A previous study has confirmed that NSAIDs can activate the AMPKα pathway through a COX-independent mechanism (15). Therefore, NSAIDs affect the expression of the NF-κB pathway to different degrees (16). AMPKα was also expressed to different degrees in the sham group. We speculate that because AMPKα is mainly considered to be a survival-friendly kinase and is located upstream of many pathways related to life activities, when the MCI model is successfully modeled, its expression will inevitably change due to changes in metabolic levels or other influencing factors. The relative content trend of the NF-κB p65 target protein was approximately the same as that of inflammatory factors in rat brain tissue, and the content in the F/S group was much higher than that in the other 2 groups. NF-κB p65 triggers a cascade reaction by inducing microglia and astrocytes, along with the activation and migration of microglia. NF-κB activation stimulates cells to produce cellular inflammatory factors, which induce neuronal injury and apoptosis. This confirms our previous view that flurbiprofen axetil inhibits the transcriptional activation of TNF-α mediated by the activation of the upstream factors in the AMPKα-NF-κB pathway.
Of course, this experiment has many shortcomings. Obviously, there are many pathways involved in this process, Yang’s experiments showed that flurbiprofen axetil protects brain cells via regulating miR-30c-5p and SOX9 (27). There are many detection methods for cell apoptosis and inflammation, such as mitochondrial membrane potential assay and Annexin V-Ab Fluor488/propidium iodide (PI) assay. We are also considering to conduct research on inhibitor or agonist of signaling pathway in later experiments to make the results more convincing. And studying targeted genes is also a good option. These mechanisms play a role in reducing central inflammation, neuronal apoptosis, and necrosis, and delaying the decline in cognitive function in MCI rats.
Acknowledgments
Funding: The present study was supported by the Medical Innovation Project of Fujian Provincial Health Commission (No. 2020CXB023).
Footnote
Reporting Checklist: The authors have completed the ARRIVE reporting checklist. Available at https://atm.amegroups.com/article/view/10.21037/atm-22-4997/rc
Data Sharing Statement: Available at https://atm.amegroups.com/article/view/10.21037/atm-22-4997/dss
Conflicts of Interest: All authors have completed the ICMJE uniform disclosure form (available at https://atm.amegroups.com/article/view/10.21037/atm-22-4997/coif). The authors have no conflicts of interest to declare.
Ethical Statement: The authors are accountable for all aspects of the work in ensuring that questions related to the accuracy or integrity of any part of the work are appropriately investigated and resolved. Animal experiments were performed under a project license (No. 2022-NSFC-0183) granted by Institutional Animal Care and Use Ethics Committee of the Fujian Medical University, in compliance with Chinese national guidelines for the care and use of animals.
Open Access Statement: This is an Open Access article distributed in accordance with the Creative Commons Attribution-NonCommercial-NoDerivs 4.0 International License (CC BY-NC-ND 4.0), which permits the non-commercial replication and distribution of the article with the strict proviso that no changes or edits are made and the original work is properly cited (including links to both the formal publication through the relevant DOI and the license). See: https://creativecommons.org/licenses/by-nc-nd/4.0/.
References
- Kelley AS, McGarry K, Gorges R, et al. The burden of health care costs for patients with dementia in the last 5 years of life. Ann Intern Med 2015;163:729-36. [Crossref] [PubMed]
- Lim KB, Kim J, Lee HJ, et al. COWAT Performance of Persons with Alzheimer Dementia, Vascular Dementia, and Parkinson Disease Dementia According to Stage of Cognitive Impairment. PM R 2019;11:737-44. [Crossref] [PubMed]
- Albert MS, DeKosky ST, Dickson D, et al. The diagnosis of mild cognitive impairment due to Alzheimer's disease: recommendations from the National Institute on Aging-Alzheimer's Association workgroups on diagnostic guidelines for Alzheimer's disease. Alzheimers Dement 2011;7:270-9. [Crossref] [PubMed]
- Andrés P, Vico H, Yáñez A, et al. Quantifying memory deficits in amnestic mild cognitive impairment. Alzheimers Dement (Amst) 2019;11:108-14. [Crossref] [PubMed]
- Zhou Q, Xie D, Chen T, et al. The effects of dexmedetomidine on the cognitive function of mild cognitive impairment (MCI) rats. Ann Transl Med 2022;10:667. [Crossref] [PubMed]
- Alam A, Hana Z, Jin Z, et al. Surgery, neuroinflammation and cognitive impairment. EBioMedicine 2018;37:547-56. [Crossref] [PubMed]
- Lee S, Kim Y, Back SK, et al. Analgesic effect of highly reversible ω-conotoxin FVIA on N type Ca2+ channels. Mol Pain 2010;6:97. [Crossref] [PubMed]
- Decosterd I, Woolf CJ. Spared nerve injury: an animal model of persistent peripheral neuropathic pain. Pain 2000;87:149-58. [Crossref] [PubMed]
- de Souza AH, Lima MC, Drewes CC, et al. Antiallodynic effect and side effects of Phα1β, a neurotoxin from the spider Phoneutria nigriventer: comparison with ω-conotoxin MVIIA and morphine. Toxicon 2011;58:626-33. [Crossref] [PubMed]
- Landa-Juárez AY, Ortiz MI, Castañeda-Hernández G, et al. Participation of potassium channels in the antinociceptive effect of docosahexaenoic acid in the rat formalin test. Eur J Pharmacol 2016;793:95-100. [Crossref] [PubMed]
- Wong LR, Ho PC. Role of serum albumin as a nanoparticulate carrier for nose-to-brain delivery of R-flurbiprofen: implications for the treatment of Alzheimer's disease. J Pharm Pharmacol 2018;70:59-69. [Crossref] [PubMed]
- Wang W, Sun Y, Zhang D. Association Between Non-Steroidal Anti-Inflammatory Drug Use and Cognitive Decline: A Systematic Review and Meta-Analysis of Prospective Cohort Studies. Drugs Aging 2016;33:501-9. [Crossref] [PubMed]
- Zhou ZJ, Tang J, Li WH, et al. Preoperative intravenous flurbiprofen reduces postoperative pain and inflammatory cytokines in elderly patients after hip arthroplasty. Exp Ther Med 2019;17:354-8. [PubMed]
- Chi Y, Li K, Yan Q, et al. Nonsteroidal anti-inflammatory drug flufenamic acid is a potent activator of AMP-activated protein kinase. J Pharmacol Exp Ther 2011;339:257-66. [Crossref] [PubMed]
- King TS, Russe OQ, Möser CV, et al. AMP-activated protein kinase is activated by non-steroidal anti-inflammatory drugs. Eur J Pharmacol 2015;762:299-305. [Crossref] [PubMed]
- Al-Rashed F, Calay D, Lang M, et al. Celecoxib exerts protective effects in the vascular endothelium via COX-2-independent activation of AMPK-CREB-Nrf2 signalling. Sci Rep 2018;8:6271. [Crossref] [PubMed]
- Morris R. Developments of a water-maze procedure for studying spatial learning in the rat. J Neurosci Methods 1984;11:47-60. [Crossref] [PubMed]
- Zhong JY, Magnusson KR, Swarts ME, et al. The application of a rodent-based Morris water maze (MWM) protocol to an investigation of age-related differences in human spatial learning. Behav Neurosci 2017;131:470-82. [Crossref] [PubMed]
- Sultan A, McQuay HJ, Moore RA, et al. Single dose oral flurbiprofen for acute postoperative pain in adults. Cochrane Database Syst Rev 2009;CD007358. [Crossref] [PubMed]
- Wu H, Tang C, Tai LW, et al. Flurbiprofen axetil attenuates cerebral ischemia/reperfusion injury by reducing inflammation in a rat model of transient global cerebral ischemia/reperfusion. Biosci Rep 2018;38:BSR20171562. [Crossref] [PubMed]
- Chen WK, Tsai YL, Shibu MA, et al. Exercise training augments Sirt1-signaling and attenuates cardiac inflammation in D-galactose induced-aging rats. Aging (Albany NY) 2018;10:4166-74. [Crossref] [PubMed]
- Kumar A, Alvarez-Croda DM, Stoica BA, et al. Microglial/Macrophage Polarization Dynamics following Traumatic Brain Injury. J Neurotrauma 2016;33:1732-50. [Crossref] [PubMed]
- Xu J, Dong H, Qian Q, et al. Astrocyte-derived CCL2 participates in surgery-induced cognitive dysfunction and neuroinflammation via evoking microglia activation. Behav Brain Res 2017;332:145-53. [Crossref] [PubMed]
- Tay TL, Mai D, Dautzenberg J, et al. A new fate mapping system reveals context-dependent random or clonal expansion of microglia. Nat Neurosci 2017;20:793-803. [Crossref] [PubMed]
- Cacciatore I, Marinelli L, Fornasari E, et al. Novel NSAID-Derived Drugs for the Potential Treatment of Alzheimer's Disease. Int J Mol Sci 2016;17:1035. [Crossref] [PubMed]
- Gorelick PB. Role of inflammation in cognitive impairment: results of observational epidemiological studies and clinical trials. Ann N Y Acad Sci 2010;1207:155-62. [Crossref] [PubMed]
- Yang B, Nie Y, Wang L, et al. Flurbiprofen axetil protects against cerebral ischemia/reperfusion injury via regulating miR-30c-5p and SOX9. Chem Biol Drug Des 2022;99:197-205. [Crossref] [PubMed]
(English Language Editor: R. Scott)

