Diagnosis and treatment of adult Langerhans cell histiocytosis in the rib: a case report and literature review
Introduction
Langerhans cell histiocytosis (LCH) is a rare disease characterized by the proliferation of dendritic cells specific to the monocyte-phagocyte system. It is mainly characterized by the infiltration of Langerhans cells (1), which commonly cause skeletal damage and rash, although localized or extensive organ damage can also occur. LCH in the skeletal system is most commonly seen in the mandible (30%) and least commonly in the rib (6%) (2). The incidence of adult LCH is conservatively estimated at 1–2 per million (3,4), and the incidence ratio of male to female is 1.2:1 to 2:1 (5). The pathogenesis of LCH is still unclear, and there is no satisfactory diagnostic indicator (6). At present, the diagnosis is mainly based on comprehensive clinical manifestations, pathological examinations, and auxiliary examinations, and most clinicians are prone to misdiagnosis or missed diagnosis due to the lack of understanding of the disease (7). Most patients receive clinical treatment to alleviate their symptoms, thus there is no standard treatment. For the purpose of providing some suggestions for clinical diagnosis and treatment of LCH, we report the case of adult LCH with rib involvement in a 34-year-old man and review the 11 cases reported in the literatures. We present the following article in accordance with the CARE reporting checklist (available at https://atm.amegroups.com/article/view/10.21037/atm-22-3601/rc).
Case presentation
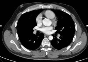
A 34-year-old male was referred to Tianjin Chest Hospital on May 31, 2016 due to persistent stabbing pain in the left chest and back for 45 days. The pain increased after bending, and was accompanied by chest tightness, shortness of breath, and night sweats, with no chills, fever, or fatigue, and no obvious inducements. The patient reported a history of otherwise good health, with no chronic or infectious disease or significant family history. Chest enhanced CT showed an isolated mass on the left chest wall invading the seventh posterior rib, and tuberculosis was initially considered (Figure 1). Tuberculin skin test and sputum smear examination were conducted and the results were negative. A puncture biopsy was further performed, and the pathology was considered to indicate a malignant small round cell tumor, although a hematopoietic tumor could not be excluded. The immunohistochemical results were keratin (−), VIM (+), Ki-67 (+70%), Cal (−), LCA (−), CD117 (−), CD99 (−), CD79a (−), actin (−), desmin (−), SMA (−), and specially stained PAS (−). Immunofixation electrophoresis for urine detection showed no IgG, IgA, IgM, light chain κ, or light chain λ monoclonal components, and there was no obvious abnormality in the bone penetration examination. Nevertheless, due to the increasing severity of the patient’s symptoms, surgical resection was performed to obtain a definitive diagnosis.
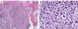
The patient underwent thoracotomy and the left 6th, 7th, and 8th posterior ribs were resected. The mass was 5 cm × 4 cm × 2 cm in size and completely removed (Figure 2). The postoperative pathological outcome was LCH (Figure 3), which involved the ribs and intercostal muscles, and immunohistochemistry showed keratin (−), desmin (−), P53 (−), VIM (+), Ki-67 (+30%), CD34 (−), CD45R0 (−), CD79a (−), CD1a (+), CD 138 (−), CD 68 (+), actin (−), and S-100 (+). No complications were observed, and the patient was discharged 1 week after surgery, with no further treatment and no evidence of recurrence or metastasis after 6 years of follow-up.
All procedures performed in this study were in accordance with the ethical standards of the institutional and/or national research committee(s) and with the Declaration of Helsinki (as revised in 2013). Written informed consent was obtained from the patient for publication of this case report and accompanying images. A copy of the written consent is available for review by the editorial office of this journal.
Literature review
Current data for the treatment of solitary rib LCH is limited. A total of 11 cases have been reported to date (8-15) (Table 1), with five females, six males, and an age range of 24 to 60 years old. Eight cases presented with chest or back pain, while two were asymptomatic and were diagnosed incidentally during routine chest X-ray or CT scans for unrelated reasons. One patient reported an intermediate dry cough. Eight patients underwent rib resection, one received chemotherapy and two underwent observation only. Follow-up information was obtained in eight patient’s and all were disease-free. The results suggested that rib resection was an effective therapy with a good prognosis.
Table 1
| Author | Sex | Age, years | Site | Symptom | Treatment | Outcome | Follow-up period, months |
|---|---|---|---|---|---|---|---|
| Hashimoto (8) | Female | 24 | Left 7th rib | Pain and swelling | None | Disease-free | 13 |
| Hashimoto (8) | Male | 60 | Right 4th rib | None | Chemotherapy | Disease-free | 63 |
| Hashimoto (8) | Female | 30 | Right 4th rib | Pain | None | Alive with disease | 4 |
| Yolcu (9) | Female | 32 | Right 10th rib | Right-side chest pain | Rib resection | Disease-free | 5 |
| Zuo (10) | Female | 52 | Left 5th rib | Left chest pain | Rib resection | Disease-free | 24 |
| Kim (2) | Male | 35 | Left 6th rib | Upper back pain | Partial rib resection | Disease-free | 24 |
| Wu (11) | Male | 24 | Left 6th rib | Intermediate dry cough for 1 month | Vats | Disease-free | 23 |
| Ozkan (12) | Male | 39 | Left 5th rib | Chest pain | Partial resection of the left fifth to the sixth rib | Unknown | None |
| Ai (13) | Male | 47 | Right 5th rib | Chest pain for 20 days | Rib resection | Chest pain relieved | None |
| Shimoyama (14) | Male | 57 | Right 8th rib | None | Rib resection | Unknown | None |
| Wang (15) | Female | 47 | Right 7th rib | Chest pain | Rib resection | Disease-free | 7 |
LCH, Langerhans cell histiocytosis.
Discussion
Bone LCH has a low incidence, with no specific clinical manifestations. In the case at hand, LCH was differentiated from chest wall tuberculosis and plasma cell myeloma. Chest wall tuberculosis has typically suspicious symptoms such as long-term low-grade fever, hyperhidrosis, exaggerated thoracic kyphosis, and local tenderness. Chest wall tuberculosis patients also often have a history of tuberculosis exposure, which can be help differentiate from LCH along with the OT test and biopsy. Plasma cell myeloma, also called multiple myeloma, is mainly characterized by osteoporosis, fracture, pain, and renal dysfunction (16). Monoclonal immunoglobulins (M component) often occur in the serum, or as monoclonal immunoglobulin light chain in urine >10 g/24 h, and a few cases appear to contain biclonal or triclonal immunoglobulins. In this case, as immunofixation electrophoresis for urine detection showed no IgG, IgA, IgM, or light chain κ and light chain λ monoclonal components, the patient was not diagnosed as plasma cell myeloma before surgery.
LCH is a rare disease caused by cytopathic hyperplasia and aggregation of Langerhans cells in various organs. Due to the wide range of LCH lesions and clinical manifestations, there has been a diversity of approaches to its diagnosis and treatment (17). Chest or back pain is the most common symptom of LCH, and even some patients didn’t describe any pain or discomfort, perhaps because the mass was small and didn’t invade in adjacent tissues or intercostal nerve. As MRI and PET-CT offer a detection rate of only 50–60% (18), once LCH is considered as a possibility, pathological results are indispensable in confirming its diagnosis. Langerhans cell morphology is characterized by different sizes, gray-blue or gray-purple color, a kidney-shaped or oval nucleus, with different nuclei and folds, dendritic processes, inconspicuous nucleoli, and abundant cytoplasm, commonly with fine particles and vacuoles (19). The Langerhans Cell Histiocytosis Evaluation and Treatment Guidelines issued in 2009 (20) point out that typical LCH cells are seen under light microscopy with positive for protein S100, CD1a, and CD207 (Langerin) in immunohistochemical staining (21). In this case, postoperative immunohistochemistry results showed S-100 and CD1a were positive, which could confirm the diagnosis of LCH.
As the treatment of LCH is still controversial and the effect is still under investigation, comprehensive and systematic assessment should be made before treatment (22). LCH in the rib can be treated by surgery, radiotherapy, and typical application of glucocorticoids, and the 5-year local control rate can reach over 95% (23). However, given the rarity of the condition and the relatively good prognosis, treatment has not been standardized (24). Different approaches such as observation only, surgical resection, and chemotherapy have been implemented in our review, and the results show VATS can achieve the same outcome as traditional open thoracic surgery with less pain. While all patients obtained a good prognosis without deaths or recurrence, the long-term efficacy and prognosis require further follow-up observation (25).
In summary, LCH of the rib is a rare disease with complex and non-specific clinical manifestations, which is easy to miss or misdiagnose. Pathological typical Langerhans cells and positive protein S100, CD1a, and CD207 are the key evidence for its presence, and surgical resection of the lesion is an effective therapy with a good prognosis.
Acknowledgments
The authors would like to acknowledge the patient and his family for providing their information and giving consent to its publication.
Funding: The study was supported by grants from the National Natural Science Foundation of Tianjin (No. 21JCYBJC00260) and Tianjin Key Medical Discipline (Thoracic Surgery) Construction Project (No. TJYXZDXK-018A).
Footnote
Reporting Checklist: The authors have completed the CARE reporting checklist. Available at https://atm.amegroups.com/article/view/10.21037/atm-22-3601/rc
Conflicts of Interest: All authors have completed the ICMJE uniform disclosure form (available at https://atm.amegroups.com/article/view/10.21037/atm-22-3601/coif). The authors have no conflicts of interest to declare.
Ethical Statement: The authors are accountable for all aspects of the work in ensuring that questions related to the accuracy or integrity of any part of the work are appropriately investigated and resolved. All procedures performed in this study were in accordance with the ethical standards of the institutional and/or national research committee(s) and with the Declaration of Helsinki (as revised in 2013). Written informed consent was obtained from the patient for publication of this case report and accompanying images. A copy of the written consent is available for review by the editorial office of this journal.
Open Access Statement: This is an Open Access article distributed in accordance with the Creative Commons Attribution-NonCommercial-NoDerivs 4.0 International License (CC BY-NC-ND 4.0), which permits the non-commercial replication and distribution of the article with the strict proviso that no changes or edits are made and the original work is properly cited (including links to both the formal publication through the relevant DOI and the license). See: https://creativecommons.org/licenses/by-nc-nd/4.0/.
References
- Bakry OA, Samaka RM, Kandil MA, et al. Indeterminate cell histiocytosis with naïve cells. Rare Tumors 2013;5:e13. [Crossref] [PubMed]
- Kim SH, Choi MY. Langerhans Cell Histiocytosis of the Rib in an Adult: A Case Report. Case Rep Oncol 2016;9:83-8. [Crossref] [PubMed]
- Zhang XR, Tang WW, Gao XC, Bian CP. Imaging diagnosis of osseous langerhans cell histiocytosis in children. Chinese Computed Medical Imaging 2009;15:473-80.
- Ng-Cheng-Hin B, O'Hanlon-Brown C, Alifrangis C, et al. Langerhans cell histiocytosis: old disease new treatment. QJM 2011;104:89-96. [Crossref] [PubMed]
- Horibe K, Saito AM, Takimoto T, et al. Incidence and survival rates of hematological malignancies in Japanese children and adolescents (2006-2010): based on registry data from the Japanese Society of Pediatric Hematology. Int J Hematol 2013;98:74-88. [Crossref] [PubMed]
- Ong HY, Goh LC, Santhi K, et al. Concurrent Mastoid Cellulitis and Langerhans Cells Histiocytosis: A Challenging Diagnosis. Oman Med J 2018;33:167-70. [Crossref] [PubMed]
- Zhou Y, Liu QL. Progress on langerhans cell histiocytosis: pathogenesis, diagnosis and treatment. Chinese Journal of Disaster Medicine 2017;5:106-10.
- Hashimoto K, Nishimura S, Sakata N, et al. Treatment Outcomes of Langerhans Cell Histiocytosis: A Retrospective Study. Medicina (Kaunas) 2021;57:356. [Crossref] [PubMed]
- Yolcu A, Tulay CM, Temiz P, et al. Langerhans cell histiocytosis: A rare cause of pathological rib fracture. Turk Gogus Kalp Damar Cerrahisi Derg 2021;29:126-8. [Crossref] [PubMed]
- Zuo T, Jiang P, Yu J, et al. Langerhans cell histiocytosis of the rib presenting with pathological fracture: a case report. J Cardiothorac Surg 2020;15:332. [Crossref] [PubMed]
- Wu Y, Guan J, Zhang K, et al. Rare chondroblastoma of the 6th left rib, video-assisted thoracoscopy resected: one case report and literature review. J Cardiothorac Surg 2021;16:192. [Crossref] [PubMed]
- Ozkan D, Demiroz ŞM, Sayan M, et al. Metachronous Eosinophilic Granuloma of Rib in an Adult Patient. Cureus 2021;13:e20670. [Crossref] [PubMed]
- Ai L, Li J, Wang W, et al. Chest pain caused by isolated rib Langerhans cell histiocytosis in an adult. Asian J Surg 2022;45:1601-2. [Crossref] [PubMed]
- Shimoyama T, Kimura B, Nakamura K, et al. Langerhans cell histiocytosis of the rib in adult male. Kyobu Geka 2011;64:135-8. [PubMed]
- Wang Q, Yang S, Tang W, et al. Solitary Adult Rib Langerhans Cell Histiocytosis Evaluated by 18F-FDG PET/CT. Clin Nucl Med 2021;46:756-8. [Crossref] [PubMed]
- Zhang J, Li P, Song JF, An QJ. Signal pathways, biomechanics and treatment progress of multiple myeloma bone disease. World Latest Medicine Information 2018;18:79-81.
- Gkrouzman E, Cuadra RH, Jacob J. Langerhans Cell Histiocytosis of the Bone Presenting as Back Pain: An Unusual Diagnosis for a Common Complaint. Conn Med 2015;79:409-14. [PubMed]
- Kim JR, Yoon HM, Jung AY, et al. Comparison of whole-body MRI, bone scan, and radiographic skeletal survey for lesion detection and risk stratification of Langerhans Cell Histiocytosis. Sci Rep 2019;9:317. [Crossref] [PubMed]
- Fletcher CD, Lazar AJ. WHO classification of tumors of soft tissue and bone. In Soft Tissue and Bone Tumours, 5th ed. Lyon, France: IARC Publications, 2020; 492-4.
- Wu SH. Introduction of guidelines on evaluation and treatment of Langerhans cell histiocytosis. Zhonghua Er Ke Za Zhi 2012;50:155-8. [PubMed]
- Nakamine H, Yamakawa M, Yoshino T, et al. Langerhans Cell Histiocytosis and Langerhans Cell Sarcoma: Current Understanding and Differential Diagnosis. J Clin Exp Hematop 2016;56:109-18. [Crossref] [PubMed]
- Minkov M. Multisystem Langerhans cell histiocytosis in children: current treatment and future directions. Paediatr Drugs 2011;13:75-86. [Crossref] [PubMed]
- Ioannidis O, Sekouli A, Paraskevas G, et al. Long term follow up of eosinophilic granuloma of the rib. Klin Onkol 2011;24:460-4. [PubMed]
- Song MG, Nam DC, Lee JS, et al. Langerhans cell histiocytosis in the adult clavicle: A case report. Int J Surg Case Rep 2020;75:286-91. [Crossref] [PubMed]
- Suzuki T, Izutsu K, Kako S, et al. A case of adult Langerhans cell histiocytosis showing successfully regenerated osseous tissue of the skull after chemotherapy. Int J Hematol 2008;87:284-8. [Crossref] [PubMed]
(English Language Editor: B. Draper)



